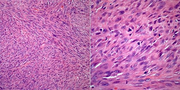
A 48-year-old man presented with symptoms of abdominal pain and fullness. At physical examination an abdominal mass was palpated. Radiologically, the mass appeared to be in the retroperitoneum. Resection of the mass was performed.

What is your diagnosis?