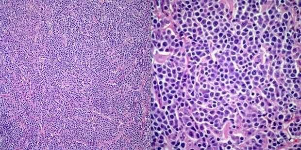
A 53-year-old woman presented with pain in the abdomen. Physical examination and radiographic imaging shows the presence of an abdominal mass. Biopsy of the mass was performed. What is your diagnosis?
A 53-year-old woman presented with pain in the abdomen. Physical examination and radiographic imaging shows the presence of an abdominal mass. Biopsy of the mass was performed.

What is your diagnosis?