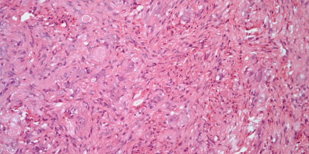
A 34-year-old woman presents with abdominal pain, and a duodenal biopsy is obtained. Based on the image shown, what is your diagnosis?
A 34-year-old woman presents with abdominal pain, and a duodenal biopsy is obtained.

Based on the image shown, what is your diagnosis?