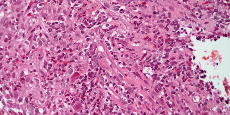
A 43-year-old man presents with abdominal pain and diarrhea, and a gastric biopsy is obtained. What is your diagnosis?
A 43-year-old man presents with abdominal pain and diarrhea, and a gastric biopsy is obtained.

Based on the image shown, what is your diagnosis?