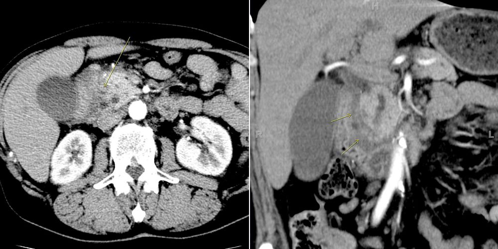
A 52-year-old man with a history of heavy alcohol use and chronic abdominal pain presents with the following CT scan. What is your diagnosis?
A 52-year-old man with a history of heavy alcohol use and chronic abdominal pain presents with the following CT scan.

What is your diagnosis?