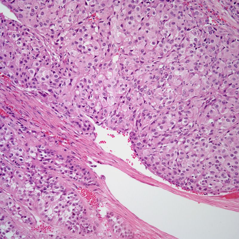
A 38-year-old man presents with sweating and nausea. Imaging shows a mass in the adrenal gland, and a biopsy is performed. What is your diagnosis?
A 38-year-old man presents with sweating and nausea. Imaging shows a mass in the adrenal gland, and a biopsy is performed.

Based on the image shown, what is your diagnosis?