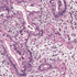
A 41-year-old male carrying the diagnosis of Peutz-Jeghers syndrome complains of upper abdominal pain radiating to the back and a 15-pound weight loss. Laboratory studies and imaging prompt surgery. Tissue obtained from the surgery reveals the slide above:
Click here to see the whole slide image.
Click here for the comparative pathology.

Your diagnosis is: