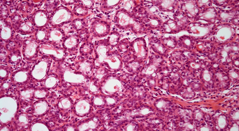
A 32-year-old woman, who had recently delivered a baby, develops a nodule in her left breast. A biopsy is obtained. What is your diagnosis?
A 32-year-old woman, who had recently delivered a baby, develops a nodule in her left breast. A biopsy is obtained.

Based on the image shown, what is your diagnosis?