Researchers from the University of Rochester have identified BCL2 inhibitors as potential leukemia stem cell-targeting agents, demonstrating that two such inhibitors killed inactive and metabolically slower leukemia stem cells.
A researchers from the University of Rochester have identified BCL2 inhibitors as potential leukemia stem cell (LSC)-targeting agents-due to the role of BCL2 in promoting LSC metabolic homeostasis-demonstrating that two such inhibitors killed inactive and metabolically slower leukemia stem cells.

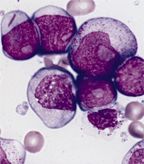
Bone marrow smear (Wright-Giemsa stain) from a patient with acute myeloblastic leukemia with maturation showing several blasts with prominent nucleoli, a promyelocyte, and a myelocyte
The research was reported online last month in Cell Stem Cell.
“Targeting metabolism of leukemia stem cells is a unique approach that we believe has the potential to be broadly applied to several forms of leukemia,” said corresponding author Craig T. Jordan, PhD, professor at the James P. Wilmot Cancer Center at the University of Rochester Medical Center. “An exciting part of our work is that because we've identified drugs that are being developed for clinical use, we hope there is significant potential to improve the care of leukemia patients relatively soon.”
This research on BCL2 inhibitors “provides a basis for clinical investigation of those drugs at disease stages where targeting residual LSCs is essential,” according to the team of researchers, led by Eleni Lagadinou, MD, PhD. “Further, by employing xenograft analysis, we demonstrate here that both ABT-737 and its orally bioavailable analog ABT-263 (Navitoclax) not only decrease bulk leukemia burden, but also target functionally defined LSCs.”
Although most forms of chemotherapy involve induction of oxidative stress, which can be effective because of the elevated oxidative state commonly seen in cancer cells, recent studies have shown that relative oxidation-reduction (redox) levels in primary tumors can be heterogeneous. This, the authors noted, suggests that regimens dependent on differential oxidative state “may not uniformly be effective.” In the present study, the investigators used primary human acute myeloid leukemia (AML) specimens and a stringent xenograft assay to investigate the oxidative state and the bioenergetic properties of LSCs.
ABT-263 reduced LSC potential in all AML specimens evaluated by this functional assay. In contrast, parallel studies performed with the standard chemotherapy agent daunorubicin showed almost no activity toward ROS-low LSC engraftment. Next the investigators tested the antileukemic effect of BCL2 inhibitors in vivo by treating mice engrafted with primary human AML cells, with ABT-737. ABT-737 “clearly reduced leukemia burden in the treated mice,” the researchers reported. Human leukemic cells isolated from mice that received treatment with ABT-737 were transplanted into secondary recipient mice and demonstrated reduced engraftment compared with leukemic cells from control mice (mean ± SEM: 43.2 ± 5.7 vs 89.2 ± 2.5, P < .05). “These findings indicate that in addition to reducing the bulk tumor, ABT-737 targets the LSC compartment,” the researchers reported.
According to the investigators, the majority of self-renewing and chemotherapy-resistant primitive leukemic populations, unlike the nontumorigenic cells, “are quiescent tumor subsets characterized by a low rate of energy metabolism and a low cellular oxidative status (ROS-low).” Surprisingly, they observed, those cells are unable to utilize glycolysis when mitochondrial respiration is inhibited, demonstrating that maintenance of mitochondrial function is essential for LSC survival.
“Finally, we demonstrate a unique role for BCL2 in ROS-low cell mitochondrial respiration, and show that small molecule BCL2 inhibitors can effectively target chemotherapy-resistant LSCs by impairing their energy generation capacity and redox control.” These findings, they said, indicate that it is “feasible to eradicate therapy-resistant LSC.”
The role of BCL2 in promoting mitochondrial bioenergetics “offers a unique opportunity for drug targeting in the LSC-specific context,” wrote the researchers in their conclusion, because LSCs express high levels of BCL2 and also have a selective dependency on oxidative respiration. “In this vein, we demonstrate that the BCL2 inhibitors ABT-737 and ABT-263 inhibit LSC oxidative respiration, which is accompanied by selective eradication of ROS-low cells.”
Commenting on the findings, Lagadinou said treatment with BCL2 inhibitors “shows promise toward a dormant leukemic stem cell subpopulation that is relatively untouched by conventional drugs. It is also important to note that normal cells were not harmed by the compounds because they can use alternative pathways to generate energy.” These findings lay the groundwork for clinical investigation of BCL2 inhibitors as consolidation therapy or maintenance treatment during remission.