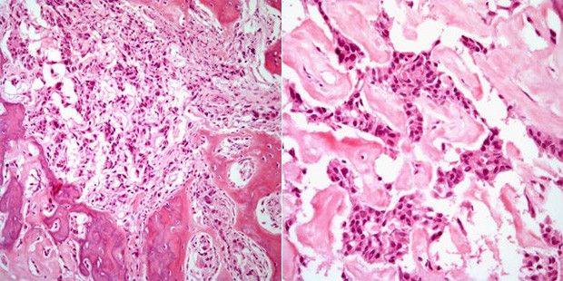
An 18-year-old man presented with symptoms of pain in his right leg just above the knee. The patient does not have any history of trauma or any other medical condition. The patient states that the pain has been increasing in intensity. Radiographic examination shows the presence of a destructive mass involving the right femur. A biopsy was obtained.

What is your diagnosis?