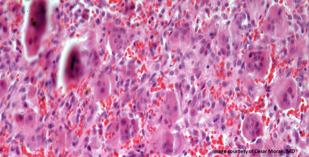
A 38-year-old woman with a history of hyperparathyroidism presents with a lesion in the left humerus bone. What is your diagnosis?
A 38-year-old woman with a history of hyperparathyroidism presents with a lesion in the left humerus bone. According to the pathology slide, what is your diagnosis?

What is your diagnosis?
How Supportive Care Methods Can Improve Oncology Outcomes
Experts discussed supportive care and why it should be integrated into standard oncology care.