A 62-year-old man trips on a curb and hits his head. He presents to the emergency department after a concussion, and a non-contrast CT of the head is obtained. What is the most likely diagnosis?
A 62-year-old man trips on a curb and hits his head. He presents to the emergency department after a concussion, and a non-contrast CT of the head is obtained. He denies any neurologic symptoms or visual or speech disturbances.
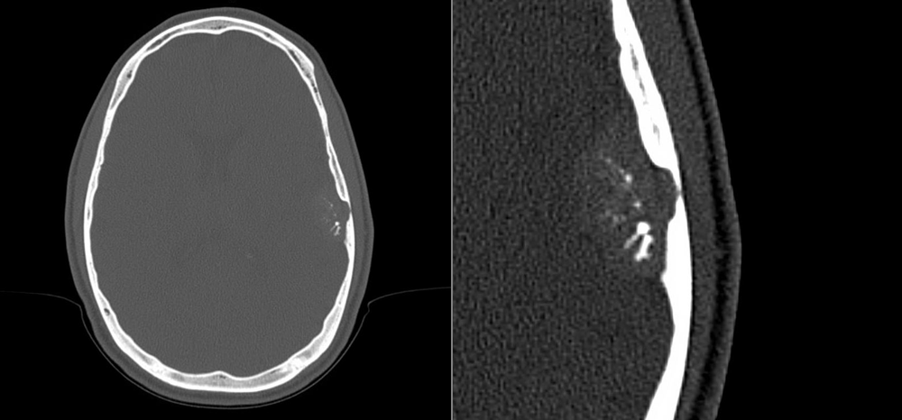
The axial non-contrast CT of the head (left) and detail (right) are shown here. The radiologist describes a “spoke wheel” pattern of calcification in an extra-axial mass.

What is the most likely diagnosis?