A breast biopsy is performed on a 45-year-old woman with microcalcifications detected from a mammogram. What is your diagnosis?
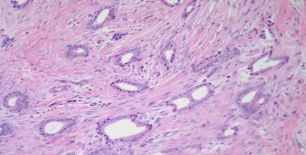
A breast biopsy is performed on a 45-year-old woman with microcalcifications detected from a mammogram. According to the histopathology image below, what is your diagnosis?
.JPG?fit=crop&auto=format)
What is your diagnosis?