A 36-year-old woman presents with history of previous breast implants and induration of the left breast. What is your diagnosis?
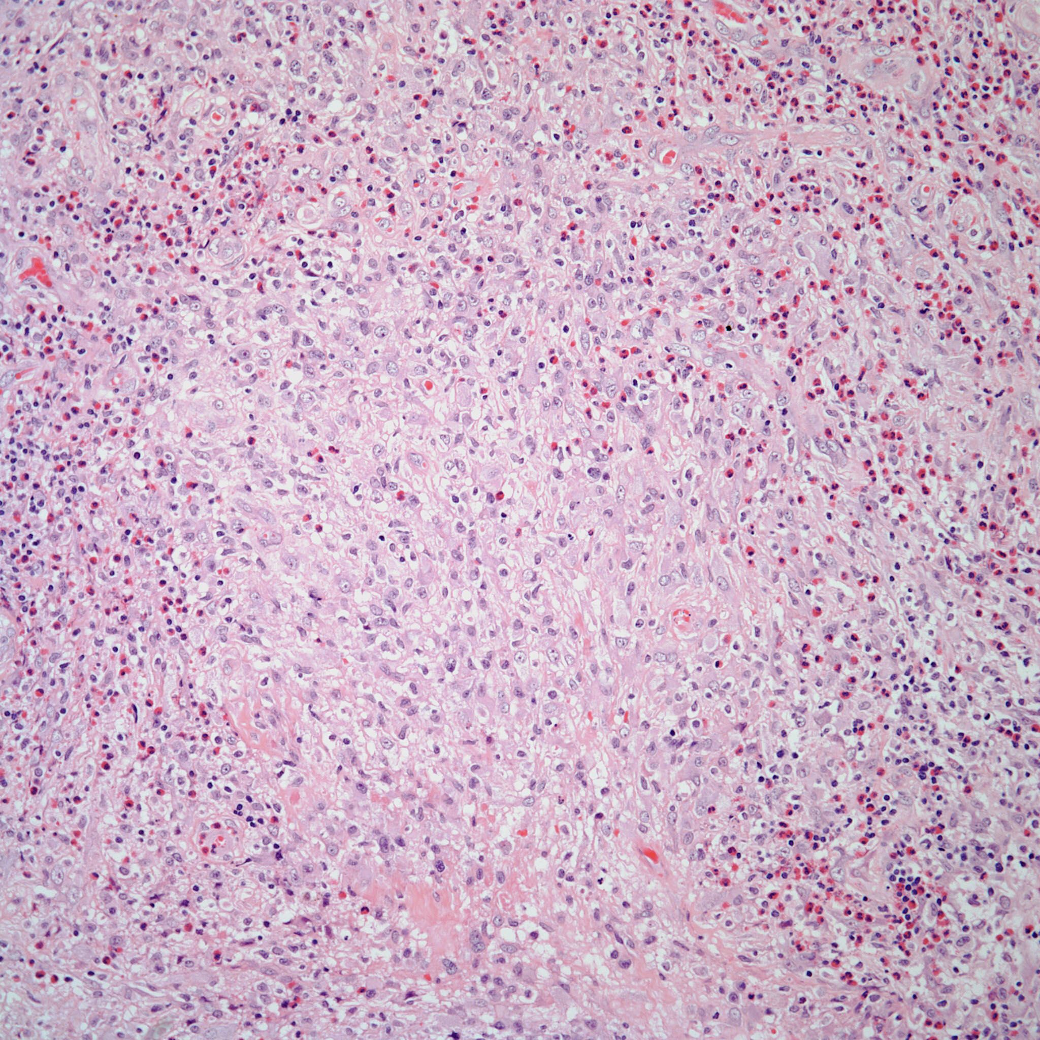
A 36-year-old woman presents with history of previous breast implants and induration of the left breast. Imaging does not show a well-defined mass. A surgical biopsy is performed. What is your diagnosis?

Based on the image shown, what is your diagnosis?