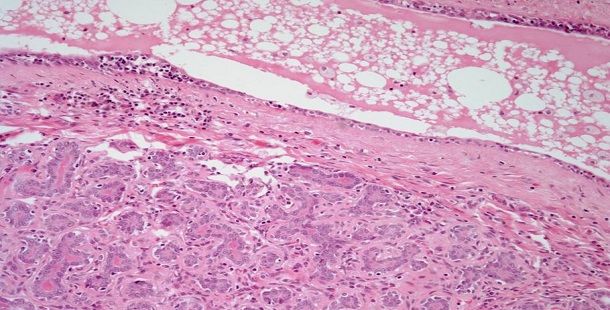
A 31-year-old woman presents with a nodule in the breast. After further evaluation, a biopsy is performed. What is your diagnosis?
A 31-year-old woman presents with a nodule in the breast. According to the histopathology image below, what is your diagnosis?

What is your diagnosis?