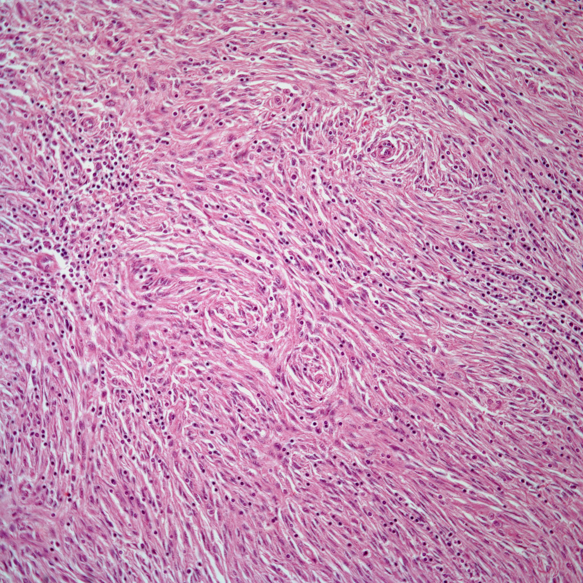
The lesion in the right side of the patient’s back does not appear to be in soft tissue without involvement of epidermis. Surgical resection is performed. What is your diagnosis?
A 45-year-old woman presents with a lesion in the right side of her back. The lesion does not appear to be in soft tissue without involvement of epidermis. Surgical resection of the mass is performed.

Based on the image shown, what is your diagnosis?