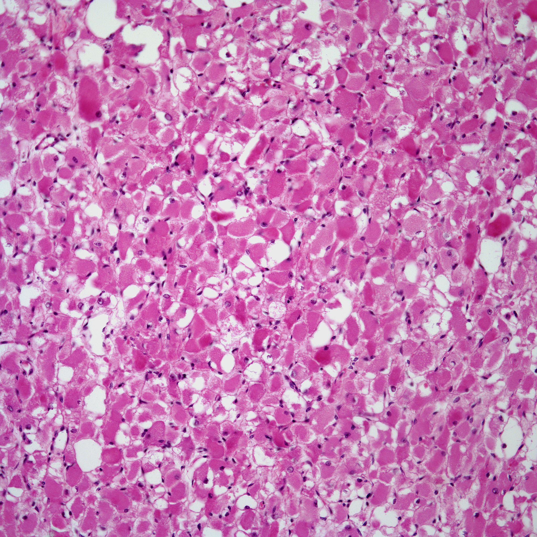
A 65-year-old man presents with a mildly painful mass in the right side of his neck. He reports that it has been growing during the past few weeks. A biopsy of the mass is obtained. What is your diagnosis?
A 65-year-old man presents with a mildly painful mass in the right side of his neck. He reports that it has been growing during the past few weeks. A biopsy of the mass is obtained.

Based on the image shown, what is your diagnosis?