Carcinomatous meningitis, specifically leptomeningeal metastases from solid tumors, has a dismal prognosis, with an overall median survival of 2 to 4 months. Lymphomatous meningitis has a better outlook, with a median survival of more than 6 months, but diagnosis may be delayed and treatment is not curative.
ABSTRACT: Carcinomatous meningitis, specifically leptomeningeal metastases from solid tumors, has a dismal prognosis, with an overall median survival of 2 to 4 months. Lymphomatous meningitis has a better outlook, with a median survival of more than 6 months, but diagnosis may be delayed and treatment is not curative. Despite these poor statistics, there are subsets of patients who do relatively well. Moreover, there are a number of new approaches to the diagnosis and treatment of leptomeningeal metastases that promise to extend life and prevent disability. These include molecular techniques of diagnosis, expanding the repertoire of drugs available for intrathecal administration, using systemic chemotherapy to treat leptomeningeal disease, and applying strategies such as gene therapy and immunotoxins to the management of leptomeningeal metastases. These novel approaches offer the hope of liberating patients from a death sentence and providing clinicians with effective weapons in the fight against a dreaded neurologic complication of systemic cancer. [ONCOLOGY 16:237-250, 2002]
Leptomeningeal metastases consist of metastatic tumor cells growing either attached to the pia mater covering the brain and spinal cord or floating unattached in the cerebrospinal fluid (CSF). In either case, the tumor cells live in the subarachnoid space, which offers a hospitable environment for the growth of metastatic tumor cells. The rich vascular supply to the meninges provides hematogenously seeded metastatic tumor cells access to the subarachnoid space, and the CSF has a high content of oxygen and glucose to support tumor cells with high metabolic activity. Leptomeningeal metastases can, therefore, escape the need for angiogenesis, which limits the growth of parenchymal metastases. Lymphoma, breast cancer, melanoma, and lung cancer (especially small-cell lung cancer) are associated with the greatest predilection to metastasize to the subarachnoid space.
TABLE 1

Neurologic Signs and Symptoms of Leptomeningeal Metastases
By spreading through the subarachnoid space, leptomeningeal metastases can produce neurologic signs and symptoms at multiple levels of the neuraxis (Table 1). Radiculopathies, cranial nerve palsies, seizures, and encephalopathy are typical. Symptoms of increased intracranial pressure, caused either by hydrocephalus or blockage of CSF absorption into the arachnoid granulations, occur frequently. Strokes may result from occlusion of arteries of the Circle of Willis or their penetrating branches.
Leptomeningeal metastases from solid tumors confer a poor overall prognosis. Mean survival from the time of diagnosis is 2 to 4 months. However, subsets of patients, specifically those with lymphoma and breast cancer, may survive for more than 1 year with a reasonably good quality of life. Based on experience with meningeal leukemia, the mainstay of treatment for leptomeningeal metastases has been intrathecal chemotherapy, supplemented by focal external-beam radiotherapy to sites of symptomatic bulk disease.
Because of the blood-brain barrier, chemotherapeutic agents delivered directly into the CSF may have greater access to tumor cells than systemically administered chemotherapy. However, for solid-tumor leptomeningeal metastases, this treatment approach is unsatisfactory, both in failing to markedly prolong survival and in failing to relieve neurologic symptoms. Therefore, better treatment and new treatment strategies are under investigation.
The clinical milieu presents a variety of opportunities for developing new methods of treating leptomeningeal metastases. For chemosensitive tumors, such as breast cancer and lymphoma, the development of more effective chemotherapy offers promise. In particular, the use of systemic chemotherapy with effective penetration into the CSF has not been adequately explored. Systemic chemotherapy combined with techniques to disrupt the blood-brain barrier is another promising approach. For chemoresistant tumors, such as melanoma and non-small-cell lung cancer, new strategies need to be devised. The intrathecal injection of novel therapeutic agents, including vectors for gene therapy and monoclonal antibodies complexed with radioisotopes or toxins, offers the best hope for progress.
There are three anatomic patterns of tumor spread in the subarachnoid space, and more than one pattern may coexist in the same patient. First, there may be plaque-like deposits of cells in the leptomeninges with invasion of Virchow-Robin spaces and, usually, the shedding of tumor cells into the CSF. Second, there may only be a thin coating of meninges, in some cases with only a single cell layer, but also with shedding of tumor cells into the CSF. Third, there may be a pattern of nodular deposits of tumor on cranial and spinal nerve roots, frequently without tumor cells being shed into the CSF.
The first and third patterns are common in solid tumors; the second occurs most frequently with leukemia and lymphoma. The nodular pattern of solid tumor metastases may be one mechanism of resistance to intrathecal chemotherapy, since most chemotherapeutic agents, when administered into the CSF, only penetrate a few millimeters into adjacent tissues.
Leptomeningeal metastases can produce a wide variety of signs and symptoms (Table 1). Although the textbook picture of leptomeningeal metastases involves the presence of signs and symptoms at multiple levels of the neuraxis,[1-3] the goal should be to diagnose the condition and begin treatment at an earlier stage, before disseminated fixed neurologic deficits have developed.
In the supratentorial compartment, leptomeningeal metastases can produce encephalopathy associated with widespread depression of cortical metabolism. Patients have decreased attentiveness, cognitive deficits, and, eventually, somnolence. Seizures can occur either from the simultaneous presence of parenchymal metastases or from invasion of the cerebral cortex by extension of leptomeningeal tumor along the perivascular spaces.
Patients may also present with symptoms of increased intracranial pressure, such as headache, nausea, and "false localizing" cranial nerve palsies with diplopia or vertigo. Increased intracranial pressure develops from three mechanisms of obstruction of CSF flow:
FIGURE 1

Vasculitis vs Metastasis
(1) A block of CSF outflow from the ventricles leading to noncommunicating hydrocephalus,
(2) A block of CSF flow at the incisura or over the convexities, producing communicating hydrocephalus, or
(3) A block of CSF absorption in the arachnoid granulations, producing increased intracranial pressure without hydrocephalus, a condition similar to pseudotumor cerebri (benign intracranial hypertension).
Tumor metastases to the subarachnoid space tend to localize to cranial and spinal nerve roots, leading to cranial neuropathy and spinal radiculopathy. In lymphoma patients, this may be difficult to distinguish from multiple mononeuropathy produced either by immune mechanisms or by lymphoma infiltration into peripheral nerves. An electromyogram may be helpful in this circumstance, by distinguishing radiculopathy from peripheral neuropathy.
Leptomeningeal metastases frequently coexist with intraparenchymal brain metastases. The signs and symptoms of the intraparenchymal metastases, including seizures, hemiparesis, and aphasias, may add to the symptoms and signs of leptomeningeal disease and present a confusing picture. In addition, leptomeningeal metastases may narrow pial arteries and lead to stroke or focal hemispheric or brain stem deficits on a vascular basis. Leptomeningeal metastases may produce clinical and arteriographic findings similar to central nervous system (CNS) vasculitis (Figure 1).
A 47-year-old woman was diagnosed with bilateral invasive lobular carcinoma of the breast in February 1997. She had ovarian and bone marrow metastases. She underwent a bilateral mastectomy followed by chemotherapy with doxorubicin and cyclophosphamide (Cytoxan, Neosar) but failed to respond. Bony metastases developed subsequently.
In May 1998, the patient underwent chemotherapy with high-dose cyclophosphamide, carboplatin (Paraplatin), and thiotepa (Thioplex), accompanied by autologous peripheral stem cell rescue, and was started on tamoxifen (Nolvadex). She presented with neurologic symptoms in March 1999, with attacks of headache, nausea, and vertigo. The attacks could begin spontaneously or be precipitated by changes in position; the vertigo would last 3 to 5 minutes, but the headache would persist for about 30 minutes. Some attacks were accompanied by diplopia or graying out of vision. At this point, the presence of bone and bone marrow metastases had been established.
The woman’s CSF examination revealed an opening pressure of 390 mm H2O, protein of 67 mg/dL, glucose of 40 mg/dL, and no white blood cells but a positive cytology for adenocarcinoma cells consistent with a primary breast tumor. Magnetic resonance imaging (MRI) of the brain and spine were initially normal. She received a ventriculo-peritoneal shunt with an on-off valve. This relieved her headaches and vertigo. She was initially treated with intrathecal methotrexate at 12 mg weekly; she could tolerate having the shunt valve turned off for only 60 to 90 minutes. Immediately after her fourth dose of intrathecal methotrexate, she developed acute headache, nausea, and fever. These symptoms cleared over 24 hours, and she was subsequently treated with thiotepa at 10 mg weekly.
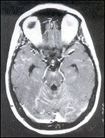
FIGURE 2

MRI of Leptomeningeal Metastases
Her ventricular CSF contained normal protein and glucose concentrations but was never free of malignant cells. She did well clinically, however, continuing to work and travel. Her neurologic examination was normal aside from distal sensory loss in the lower extremities consistent with a mild peripheral neuropathy. However, in September 1999, she developed persistent diarrhea, nausea, and vomiting and was found to have an obstructed bile duct caused by peritoneal seeding of her carcinoma. Her brain MRI now demonstrated diffuse and nodular leptomeningeal contrast enhancement (Figure 2). She was lost to follow-up and presumably died shortly thereafter.
• Discussion-This case illustrates several points. First, it demonstrates the presentation of leptomeningeal metastases with symptoms of increased intracranial pressure, without focal neurologic signs or hydrocephalus. Her attacks of headache, nausea, and vertigo presumably represented plateau waves of high CSF pressure. These symptoms were relieved entirely by a ventriculo-peritoneal shunt. Second, it is unclear whether the patient achieved any benefit from intrathecal chemotherapy, as her CSF cytology was persistently positive and imaging studies showed disease progression. Third, she developed peritoneal seeding, presumably as a result of shunting cells from her subarachnoid space to her peritoneal cavity. Nevertheless, aggressive management of her disease achieved 6 months of productive life.
A 74-year-old man was diagnosed with folliculotrophic cutaneous T-cell lymphoma and leukemia in March 2000. He was treated with interferon alfa-2b (Intron A) and achieved only a partial response. In August 2000, he presented to the neurology service with the recent onset of headache and diplopia. He had a right cranial nerve VI palsy and gait imbalance, but otherwise had a normal neurologic examination. Neuroimaging studies, including MRI of the brain with and without gadolinium, were normal. His CSF contained normal protein and glucose concentrations but an elevated white blood cell count of 58 × 106/L with 37% eosinophils and abnormal lymphocytes, consistent with lymphoma.
He had an Ommaya reservoir implanted and has begun treatment with intrathecal methotrexate at 12 mg weekly. Systemic treatment with denileukin diftitox (Ontak), a monoclonal antibody to the CD25 antigen, is planned. His subjective diplopia and gait imbalance have improved, but his nerve VI palsy persists.
• Discussion-This case illustrates the point that early in the course of leptomeningeal metastases, patients have only isolated neurologic signs and symptoms-in this case, a single cranial nerve palsy. Moreover, neuroimaging studies may be normal. One must have a high index of suspicion to make the diagnosis in this circumstance. The other point is that CSF eosinophilia, without another cause (such as treatment with nonsteroidal anti-inflammatory drugs), is highly suggestive of leptomeningeal lymphoma.
A 72-year-old man was admitted to the neurology service in December 1998, with progressive polyradiculopathy of 4 months’ duration. His neurologic symptoms began with asymmetric weakness of the lower extremities, followed by left facial nerve palsy and left-sided tinnitus. His presentation was complicated by a history of Lyme disease. Initial CSF assay showed 1 × 106 lymphocytes/L, protein of 80 mg/dL, glucose of 44 mg/dL, and a negative cytology.
Two subsequent CSF examinations were nondiagnostic, and the patient’s weakness progressed. An MRI of the lumbosacral spine found enhancing lesions of the filum terminale and left L4 nerve root. A biopsy performed in March 1999 revealed diffuse large B-cell lymphoma involving the nerve root. He subsequently developed axillary adenopathy and lung lesions.
The plan was to treat him with intrathecal methotrexate, but an Ommaya reservoir became infected and had to be removed. He was therefore treated with M-BACOP (high-dose systemic methotrexate, bleomycin [Blenoxane], doxorubicin [Adriamycin], cyclophosphamide, vincristine [Oncovin], prednisone), with response of his peripheral lymphoma and stabilization of his neurologic disease. Although neurologically disabled, he has survived almost 2 years since presentation.
• Discussion-This case illustrates the difficulty of diagnosing leptomeningeal metastases when the CSF is nondiagnostic. In this man’s case, there were too few lymphocytes in the CSF to perform reliable flow cytometric analysis. Polymerase chain reaction (PCR) analysis looking for clonal immunoglobin gene rearrangement might have been useful but was not performed. Despite the problems with diagnosis and treatment, he has survived for 2 years with reasonably good quality of life.
The diagnosis of leptomeningeal metastases generally depends on examination of the CSF, but the diagnosis can also be made in the appropriate clinical context by neuroimaging alone. The diagnostic CSF profile of leptomeningeal metastases includes a normal or high opening pressure, high protein, low glucose, lymphocytic pleocytosis, and positive cytology. However, in an individual case, any of these measures can be normal, and multiple CSF examinations may be needed to establish the diagnosis. A positive CSF cytology is generally required before treatment is instituted.[4]
The number of white blood cells is highly variable, and it may be difficult to distinguish an inflammatory CSF caused by chronic infection from leptomeningeal lymphoma. The presence of eosinophils in the CSF without other causes is highly suggestive of meningeal lymphoma. The use of flow cytometric or PCR methods to look for clonal lymphocyte populations may be helpful.
When the a priori level of suspicion is high, at least three CSF examinations are performed before abandoning the diagnosis. A completely normal lumbar CSF examination, including normal opening pressure, normal protein and glucose, fewer than 5 white blood cells per mm³, and a negative cytology, virtually excludes the diagnosis. However, ventricular CSF obtained through an Ommaya reservoir is frequently normal when lumbar CSF is abnormal.[5] Cerebrospinal fluid obtained from a cisternal tap may be diagnostic when lumbar CSF is not.
Even without a positive CSF cytology, leptomeningeal metastases can often be diagnosed by neuroimaging studies, primarily MRI. For maximum sensitivity, it is crucial that the MRI (including the spinal MRI) be performed with and without gadolinium. The MRI may demonstrate either diffuse leptomeningeal contrast enhancement and thickening or nodular enhancing tumor deposits in the subarachnoid space. Hydrocephalus may also be seen.
The radionuclide cisternogram can be used to evaluate the patency of CSF flow prior to therapy with intrathecal injections of chemotherapy.[6,7] This is especially important in leptomeningeal metastases from solid tumors whenever an MRI of the total neuraxis cannot be performed.
Considerable effort has been expended in finding specific and sensitive CSF biochemical markers of leptomeningeal metastases. Both enzyme assays (lactate dehydrogenase [LDH], beta-glucuronidase) and immunoassays (carcinoembryonic antigen, CA-125, beta-2-microglobulin) have proved disappointing, mainly in having inadequate specificity. One study found that an elevated vascular endothelial growth factor (VEGF) level was a reliable marker for leptomeningeal metastases, but that finding requires independent confirmation.[8] The use of PCR methods to identify markers of specific tumor cell types in the CSF appears promising. The major issue will be specificity: What will the false-positive rate be in the presence of systemic or intraparenchymal brain metastases or widespread systemic metastases?
Glucocorticoids are used to reduce nervous system edema and inflammation. They may be useful in treating acute nerve root compression resulting from leptomeningeal metastases, but definitive therapy-either radiation or chemotherapy-is required to achieve long-term relief of symptoms. Nausea and vomiting associated with leptomeningeal metastases may respond to steroids.
One of the most frequent symptoms of leptomeningeal metastases is pain. Compression of spinal roots or somatosensory cranial nerves (V or IX) can produce neuropathic pain. As a rule, this radiculopathic pain responds well to focal irradiation of the symptomatic area. Pharmacologic treatment includes antidepressants (either tricyclics, such as amitriptyline, or serotonin-reuptake inhibitors such as fluoxetine [Prozac]), anticonvulsants (gabapentin [Neurontin], carbamazepine), or narcotic analgesics.
Patients with symptomatic hydrocephalus or raised intracranial pressure caused by blockage of CSF absorption require ventriculo-peritoneal shunting. Because they will also require administration of intrathecal chemotherapy, special shunt valves are used to permit the shunt to be turned off and on and to provide a convenient reservoir into which chemotherapy can be injected. To administer chemotherapy, the shunt valve is turned off, and the chemotherapeutic agent is injected into the reservoir. The shunt valve is kept off for the maximum length of time that a patient can tolerate before becoming symptomatic from elevated intracranial pressure, and the valve is then reopened. One risk associated with the use of a ventriculo-peritoneal shunt is seeding of the peritoneum with tumor cells.
In this setting, radiation therapy is primarily used to treat symptomatic deposits of leptomeningeal tumor that can be visualized on neuroimaging studies. In general, one tries to irradiate the minimum volume of bone marrow possible while achieving palliation of neurologic symptoms. Radiating the entire craniospinal axis has not been shown to confer a survival advantage and is generally poorly tolerated by patients receiving systemic chemotherapy.
Studies of patients with leptomeningeal metastases from solid tumors have shown that those treated with intrathecal chemotherapy, with or without radiation, achieve a small survival advantage compared to those treated with radiation alone.[9-12] However, other investigators have questioned the conclusion that intrathecal chemotherapy confers a survival advantage.[13,14] If there is a survival advantage in solid tumors, it is small, and the major justification for using intrathecal chemotherapy in most patients is palliation of neurologic symptoms. In addition, some patients with breast cancer and lymphoma not only achieve palliation of symptoms with intrathecal chemotherapy but also clear the CSF of malignant cells and survive for many months with good quality of life.[15,16]
Three drugs-methotrexate, thiotepa, and cytarabine in two formulations-are commonly administered intrathecally. Animal studies demonstrate that cytarabine and methotrexate penetrate at least a few millimeters into surrounding tissues from the CSF.[17]
• Methotrexate-Methotrexate is the chemotherapeutic agent most commonly employed for intrathecal administration. It is used for both solid tumors and lymphoma and is usually administered weekly or twice weekly. For primary CNS lymphoma with leptomeningeal involvement, intrathecal methotrexate is frequently administered every other week, alternating with high-dose systemic methotrexate. Because the volume of CSF in adults does not vary greatly with body weight or body surface area, a fixed dose of 12 mg is standard. This dose yields cytotoxic concentrations of methotrexate in the CSF for up to 72 hours. Higher doses have been employed and are possibly more effective. The levels of methotrexate in the peripheral blood following intrathecal administration are low but detectable. Oral leucovorin at 10 mg every 12 hours for 6 doses may be administered to prevent bone marrow suppression and mucositis.
• Cytarabine-Cytarabine is used more commonly to treat lymphomatous meningitis than leptomeningeal metastases from solid tumors. Because of its relatively short half-life in the CSF-less than 4 hours-it is generally administered twice each week at a fixed dose of 50 mg or 30 mg/m².
• Thiotepa-Thiotepa is generally used as a second-line agent for patients who are intolerant of or fail to respond to either methotrexate or cytarabine. It needs to be dissolved in water rather than saline and has a CSF half-life of less than 1 hour. The standard dose is 10 mg administered once or twice each week.
• Liposomal Cytarabine-Liposomal cytarabine (DepoCyt) is a formulation of cytarabine encapsulated in lipid particles measuring 20 to 200 mm in diameter. These particles slowly dissolve in the CSF and release their content of cytarabine over about 2 weeks.[18] Following an intrathecal injection of particles containing 50 mg of cytarabine, potentially cytotoxic concentrations of cytarabine are maintained in the CSF for up to 2 weeks. The advantages of liposomal cytarabine are that the drug needs to be administered only every 2 weeks, and, in principle, by maintaining a prolonged cytotoxic concentration of cytarabine, slowly dividing cells are more likely to be exposed to the drug while in S phase. The disadvantage is that chemical meningitis appears to be a frequent side effect. Compared to treatment with free cytarabine or methotrexate for leptomeningeal metastases from both solid tumors and lymphoma, overall and progression-free survival has favored liposomal cytarabine; the differences, however, have not reached statistical significance.[19,20]
• Other Agents-Other drugs are probably safe for intrathecal administration but are not widely used.[21] Mafosfamide, topotecan (Hycamtin), and diaziquone (AZQ) appear to be safe and deserve further study.
Acute reactions to the intrathecal injection of chemotherapeutic agents can include headache, fever, nausea, vomiting, hypotension, and encephalopathy. These may occur without a cellular reaction in the CSF, in which case the mechanism is obscure.
Chemical meningitis may develop with repeated injection of intrathecal chemotherapy. The manifestations may be difficult to distinguish from those of progression of leptomeningeal metastases, posing a therapeutic dilemma. Chemical meningitis, however, typically responds to oral steroids, and there is now good evidence that adding hydrocortisone to the intrathecal agent prevents this complication. Acute transverse myelitis has been reported with injection of chemotherapeutic agents into the lumbar subarachnoid space.
Iatrogenic infection is possible with lumbar punctures or injections into Ommaya reservoirs. With careful sterile technique, however, Ommaya reservoirs rarely become infected, unless they are contaminated at initial surgical implantation.
If a patient requires radiation therapy to treat bulk leptomeningeal disease or whole-brain irradiation or stereotaxic radiation to treat concurrent intraparenchymal brain metastases, there is the possibility that the chemotherapy will potentiate delayed radiation toxicity. The survival of the majority of patients with leptomeningeal metastases is usually so short that this is not a practical problem, although it needs to be considered for patients with a life expectancy of more than a few months. In most of these cases, intrathecal chemotherapy may be deferred during radiation therapy.
Intrathecal chemotherapy may be administered by lumbar puncture or by injection into an indwelling Ommaya reservoir. The latter is more convenient for both patient and physician but entails the risk of a surgical procedure to implant the reservoir and the added risk of infection of a foreign body in the central nervous system. On balance, an Ommaya reservoir is preferred in most patients. An additional problem is that repeated lumbar punctures may either be impossible in patients with severe lumbar spinal stenosis or quite painful if there are tumor deposits on lumbar nerve roots.
Whichever route is chosen, it is essential to ensure that CSF pathways are patent, to allow the drug to reach tumor deposits and prevent excessive concentrations of drug from accumulating in isolated CSF compartments of small volume. Either MRI of the entire neuraxis or a radionuclide cisternogram may be employed to document that CSF pathways are unobstructed.[5,6] If a radionuclide cisternogram demonstrates that CSF flow is blocked, anatomic imaging by MRI or computed tomographic (CT) myelography is necessary to plan further therapy.
Because the subarachnoid space provides access to leptomeningeal tumors, the disease has attracted investigators who are developing new methods of drug delivery that require large molecules that cannot cross the blood-brain barrier. Such agents have included monoclonal antibodies complexed to either radionuclides[22] or bacterial toxins. Gene therapy using viral vectors or various preparations of DNA is also under investigation.
However, in light of the large volume of the subarachnoid space in humans-about 150 mL-and the tendency of solid-tumor leptomeningeal metastases to form thick plaques or nodules, a successful intrathecal therapy will probably not require the therapeutic agent to reach every single tumor cell. Therefore, radionuclides or gene therapy approaches that invoke the "bystander effect" or immune mechanisms offer the most promise.
Systemic therapy is also being explored in this setting. Drugs are available that, either at conventional or high doses, penetrate the CSF. High-dose systemic methotrexate and cytarabine produce cytotoxic concentrations of the drugs in the CSF, although these concentrations are lower than can be achieved with intrathecal administration. The possibility of combining systemic chemotherapy with osmotic disruption of the blood-brain barrier is, therefore, being investigated. This offers the potential advantages of exposing solid-tumor leptomeningeal metastases to drugs administered both intravascularly and into the CSF. Conventional systemic chemotherapy with drugs such as temozolomide (Temodar), which has relatively good CSF penetration, also holds promise.
Earlier diagnosis of carcinomatous meningitis will gain importance if more effective therapy can be developed. Using CSF tumor markers has proven to be disappointing because of a lack of specificity. The use of PCR and other highly sensitive detection techniques for traces of tumor cells in the CSF may emerge as important diagnostic techniques, just as highly sensitive tests for infectious organisms in the CSF (eg, cryptococcal antigen by enzyme-linked immunosorbent assay [ELISA] and viral DNA by PCR) have become the cornerstones of the management of infectious meningitis.
It is encouraging that leptomeningeal metastases, a formerly neglected field of laboratory and clinical investigation, is now attracting the attention of investigators eager to apply novel techniques of diagnosis and therapy to a common and debilitating complication of cancer. Substantial gains may be realized over the next decade, releasing patients from a death sentence and giving them the possibility of long-term survival without neurologic disability.
1. Olson ME, Chernik NL, Posner JB: Infiltration of the leptomeninges bysystemic cancer. Arch Neurol 30:122-137, 1974.
2. Little JR, Dale AJD, Okasaki H: Meningeal carcinomatosis: Clinicalmanifestations. Arch Neurol 30:138-143, 1974.
3. Wasserstrom WR, Glass JP, Posner JB: Diagnosis and treatment ofleptomeningeal metastases from solid tumors: Experience with 90 patients. Cancer49:759-772, 1982.
4. Glass JP, Melamed M, Chernik NL, et al: Malignant cells in cerebrospinalfluid (CSF): The meaning of a positive CSF cytology. Neurology 29:1369-1375,1979.
5. Rogers LR, Duchesneau MD, Nunez C, et al: Comparison of cisternal andlumbar CSF examination in leptomeningeal metastases. Neurology 42:1239-1241,1992.
6. Chamberalin MC, Corey-Bloom J: Leptomeningeal metastases: 111Indium-DTPACSF flow studies. Neurology 41:1765-1769, 1991.
7. Mason WP, Yeh SDJ, DeAngelis LM: 111Indium-diethylenetriamine pentaaceticacid cerebrospinal fluid flow studies predict distribution of intrathecallyadministered chemotherapy and outcome in patients with leptomeningealmetastases. Neurology 50:438-443, 1998.
8. Stockhammer G, Poewe W, Burgstaller S, et al: Vascular endothelial growthfactor in CSF. A biological marker for carcinomatous meningitis. Neurology54:1670-1675, 2000.
9. Ongerboer de Visser BW, Somers R, Nooyen WH, et al: Intraventricularmethotrexate therapy of leptomeningeal metastases from breast carcinoma.Neurology 33:1565-1572, 1983.
10. Sause WT, Crowley J, Eyre HJ, et al: Whole brain irradiation andintrathecal methotrexate in the treatment of solid tumor leptomeningealmetastases-A Southwest Oncology Group study. J Neurooncol 6:107-112, 1988.
11. Boogerd W, Hart AAM, van der Sande J, et al: Meningeal carcinomatosis inbreast cancer. Prognostic factors and influence of treatment. Cancer67:1685-1695, 1991.
12. Grossman SA, Finkelstein DM, Ruckdeschel JC, et al: Randomizedprospective comparison of intraventricular methotrexate and thiotepa in patientswith previously untreated neoplastic meningitis. J Clin Oncol 11:561-569, 1993.
13. Siegal T, Lessos A, Pfeffer MR: Leptomeningeal metastases: Analysis of 31patients with sustained off-therapy response following combined-modalitytherapy. Neurolgy 44:1463-1469, 1994.
14. Bokstein F, Lossos A, Siegal T: Leptomeningeal metastases from solidtumors. A comparison of two prospective series treated with and withoutintra-cerebrospinal fluid chemotherapy. Cancer 82:1756-1763, 1998.
15. Fizazi K, Asselain B, Vincent-Solomon A, et al: Meningeal carcinomatosisin patients with breast carcinoma. Cancer 77:1315-1323, 1996.
16. Yap HY, Yap BS, Tashima CK, et al: Meningeal carcinomatosis in breastcancer. Cancer 42:283-286, 1978.
17. Burch PA, Grossman SA, Reinhard CS: Spinal cord penetration ofintrathecally administered cytarabine and methotrexate: A quantitativeautoradiographic study. J Natl Cancer Inst 80:1211-1216, 1988.
18. Kim S, Chatelut E, Kim JC: Extended CSF cytarabine exposure followingintrathecal administration of DepoCyt. J Clin Oncol 11:2186-2193, 1993.
19. Glantz MJ, LaFollette S, Jaeckle KA, et al: Randomized trial of aslow-release vs a standard formulation of cytarabine for the intrathecaltreatment of lymphomatous meningitis. J Clin Oncol 10:3110-3116, 1999.
20. Glantz MJ, Jaeckle KA, Chamberlain MC, et al: A randomized controlledtrial comparing intrathecal sustained-release cytarabine (DepoCyt) tointrathecal methotrexate in patients with neoplastic meningitis from solidtumors. Clin Cancer Res 5:3394-3402, 1999.
21. Blaney SM, Poplack DG: New cytotoxic drugs for intrathecaladministration. J Neurooncol 38:219-223, 1998.
22. Coakham HB, Kemshead JT: Treatment of neoplastic meningitis by targetedradiation using 131I-radiolabelled monoclonal antibodies. J Neurooncol38:225-232, 1998.