A 2-month-old child with a history of tuberous sclerosis presents with a cardiac lesion. After a biopsy is performed, what is your diagnosis?
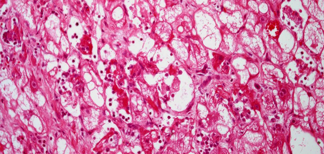
A 2-month-old child with a history of tuberous sclerosis presents with a cardiac lesion. According to the pathology slide below, what is your diagnosis?

What is your diagnosis?