A 71-year-old woman with a past medical history of rectal cancer presents with complaints of her “eyes not working.” Physical exam is notable for incongruent bitemporal visual field defects. An MRI of the brain with gadolinium contrast was obtained. What is the diagnosis?
A 71-year-old woman with a past medical history notable for stage IIIB rectal cancer (diagnosed and treated 3 years earlier) presents with complaints of her “eyes not working.” When asked for clarification, she reports experiencing “cloudy vision” for several years but denies any significant changes in the months prior to this evaluation.
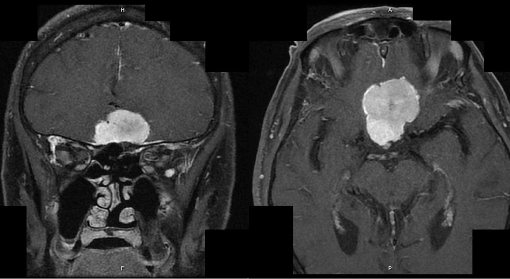
Physical exam is notable for incongruent bitemporal visual field defects. The remainder of her exam is unremarkable. A recently obtained carcinoembryonic antigen test is negative (1.0 ng/mL; normal range, < 3.0 ng/mL). All of her other lab values are also within normal limits. Chest CT from 1 month prior re-demonstrated stable pulmonary nodules but was otherwise unremarkable.
An MRI of the brain with gadolinium contrast was obtained and the results are shown here.

What is the diagnosis?