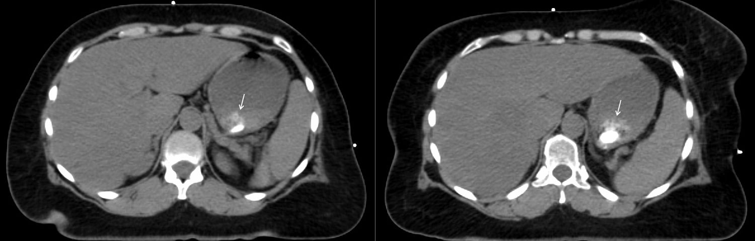
A 57-year-old woman with a history of stage IIB breast cancer (ypT2N1M0) status post neoadjuvant chemotherapy and left partial mastectomy presents to the radiation oncology clinic for CT simulation in preparation for breast radiotherapy. Noncontrast CT scan incidentally found the abnormality depicted with arrows below. What is your diagnosis?
A 57-year-old woman with a history of stage IIB breast cancer (ypT2N1M0) status post neoadjuvant chemotherapy and left partial mastectomy presents to the radiation oncology clinic for CT simulation in preparation for breast radiotherapy. Noncontrast CT scan incidentally found the abnormality depicted with arrows below.

Based on the images shown, what is your diagnosis?