Modern head and neck imaging has led to advances in both the diagnosis and treatment of head and neck cancers. Both computed tomography (CT) and magnetic resonance imaging (MRI) studies provide important information
ABSTRACT: Modern head and neck imaging has led to advances in both the diagnosis and treatment of head and neck cancers. Both computed tomography (CT) and magnetic resonance imaging (MRI) studies provide important information about the location and extent of neoplasm, particularly with respect to the interface of tumor with bone, fat, muscles and other soft tissues, air, blood vessels, dura, and brain. Conventional angiography can be used to assess tumor blood supply and vascularity and to perform therapeutic embolization. Magnetic resonance angiography (MRA) and CT angiography (CTA) are new tools for the noninvasive evaluation of blood vessels. Positron emission tomography (PET) shows promise for differentiating tumor from scar, edema, and other nonneoplastic soft tissues. [ONCOLOGY 13(5):697-709, 1999]
FIGURE 1

Arteriogram of the common carotid
Modern head and neck imaging has advanced both the diagnosis and treatment of head and neck neoplasms. Computed tomography (CT) and magnetic resonance imaging (MRI) studies assess the interface of tumor with bone, fat, muscles and other soft tissues, air, blood vessels, dura, and brain. Conventional catheter angiography provides an assessment of tumor blood supply and vascularity, and at angiography, therapeutic embolization can also be performed. Magnetic resonance angio- graphy (MRA) and the newer CT angiography (CTA) provide tools for the noninvasive evaluation of blood vessels. Positron emission tomography (PET) scanning is just beginning to make contributions to the field of head and neck tumor imaging.
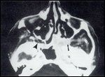
FIGURE 2A

Computed tomography shows dense, chronically obstructed secretions in the left sphenoid air cell (S). The enhancing tumor in the nasal cavity (open arrow) is only slightly more dense than the obstructed secretions, making it difficult to know where tumor ends and dense obstructed secretions begin. The contents of the right sphenoid air cell have a lower density (R), suggesting more watery secretions.
FIGURE 2B

T1-weighted MRI shows hyperintense proteinaceous secretions of the left sphenoid air cell (black arrow); the appearance was the same before gadolinium administration. The right air cell contents (white arrow) are hypointense, which indicates that the protein content is lower and water content is greater than that of the left air cell. The tumor (t) in the nasal cavity enhances intensely.
On CT without intravenous contrast, tumor is usually of intermediate density.[1,2] Tumor, blood vessels, muscles, and lymph nodes may all have the same density.
After the intravenous (IV) administration of iodinated contrast medium, tumors enhance to varying degrees: Paragangliomas, being very vascular, enhance intensely, whereas squamous cell carcinomas, being more cellular, may enhance intensely, or little or not at all. Foci of necrosis or prior hemorrhage are dark (hypodense) on CT. Lacking a blood supply, necrotic foci do not enhance after contrast administration.
On MRI, tumor signal is quite variable. Many head and neck neoplasms are isointense to (ie, have the same signal as) soft tissues (brain, muscle) on nonenhanced T1-weighted images, are isointense to hyperintense (have the same or brighter signal) on T2-weighted images, and enhance at least somewhat after IV gadolinium.[1] Very cellular or fibrous neoplasms that contain little free water may be hypointense (dark) on T2-weighted image.[1,3] Necrosis produces a fluid signal on MRI; this is hypointense on T1-weighted images and hyperintense on T2-weighted images. As on CT, necrotic foci do not enhance on MRI images after contrast administration.
Some tumors have a distinctive appearance that allows a histologic diagnosis to be made (or suggested) on the basis of the preoperative imaging studies. This is usually based on a combination of factors, such as location, enhancement, and effect on adjacent structures. For example, a carotid body tumor arises at the carotid bifurcation (Figure 1) and enhances intensely on CT and MR studies. An esthesioneuroblastoma (olfactory neuroblastoma) involves the upper nasal cavity, anterior cranial fossa, and adjacent sphenoid and ethmoid sinuses (Figure 2a and Figure 2b).
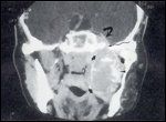
FIGURE 3

Calcifications
Calcifications within a tumor are white on CT (Figure 3) and usually a signal void (black) on MRI. These may represent residual normal bone or tumor matrix. Calcified tumor matrix suggests a bone- or cartilage-forming tumor, such as a chondrosarcoma.
Most often, however, the importance of imaging is the accurate delineation of the extent of the tumor. This includes identifying structures that are spared by the tumor, as well as structures that are affected.
Tumor and muscle (sclera, mucosa) may have similar appearances on both CT and MRI studies (Figure 4). Tumor usually enhances more than any structures, except mucosa and the extraocular muscles. These muscles, unlike other skeletal muscles, enhance intensely on MRI studies (Figure 5). Interestingly, the enhancement is not apparent on CT images.
FIGURE 4

Tumor vs Muscle on CT FIGURE 5

Tumor vs Muscle on MRI
Scar tissue has a variety of appearances, depending on its age. Granulation tissue enhances intensely; fibrous tissue usually enhances less but cannot always be differentiated from tumor on CT or MRI.[1,3]
Consecutive studies are extremely helpful: With time, tumor grows (or occasionally remains stable), but scar tissue tends to contract and, thus, decrease in size. In the absence of prior studies for comparison, a CT- or MRI-guided biopsy of the abnormal soft tissue may provide the diagnosis (Figure 6).
FIGURE 6

CT-Guided Biopsy FIGURE 7

Coronal CT (bone algorithm)
Tumor has a very different density (on CT) and signal intensity (on MRI) than cortical bone.[3,4] Cortical bone is a dense white line on CT (Figure 7). Its density is much greater than that of tumor, making CT an ideal modality for the evaluation of erosion of bone.
Bone algorithms can be created from the initial CT scan data to emphasize bone detail. Even subtle erosion of thin cortical bone, such as tegmen tympani (Figure 7), cribriform plate, and lamina papyracea, is easily detected on CT bone algorithms.
On MRI, cortical bone is a signal void. This is a very different signal intensity from tumor, but subtle erosion of a signal void is difficult to detect, making MRI less useful than CT for evaluating cortical bone erosion by tumor.
In contrast, MRI is an excellent imaging modality for the evaluation of medullary bone and bone marrow.[5] In adults, marrow signal in the head and neck is mostly attributable to fat. Recruitment of fatty or yellow marrow for hematopoiesis, as well as fibrosis of marrow, alters this signal.[6] When hypointense tumor invades marrow, the different signals are easily seen on nonenhanced T1-weighted images. Because some tumors enhance intensely after IV gadolinium contrast administration, tumor may become isointense to marrow after gadolinium. Fat-suppression pulse sequences are special image acquisitions that decrease the high signal of fat without altering the high signal of enhancing tumor. Nasopharyngeal squamous cell carcinoma invading the clivus and oral cavity squamous cell carcinoma invading the mandible are two settings in which the extent of tumor invasion of the marrow can determine the extent of resection, or determine whether it is possible at all.[4]
The appearance of the cartilage of the normal adult larynx is quite variable.[5] Cartilage may mineralize and even ossify. Mineralized laryngeal cartilage is dense (white) on CT and hypointense on MRI. Ossified laryngeal cartilage has a cortex and marrow-containing medullary cavity (Figure 8a and Figure 8b).
FIGURE 8A

Computed tomography (soft-tissue algorithm) shows an abnormally bulky right false vocal cord containing tumor (T); compare to the normal left side (large arrowheads). The thyroid cartilage adjacent to the tumor is ossified but discontinuous (small arrowheads); it is impossible to determine whether the discontinuity is a normal variant or represents tumor erosion. FIGURE 8B

Magnetic resonance imaging (T1-weighted, gadolinium-enhanced, fat-suppressed) shows a left true vocal cord tumor (long arrow). The thyroid cartilage is ossified, and the marrow on the left enhances (open short arrow), indicating tumor or edema from a nearby tumor. The signal intensity of marrow in the right thyroid also is normal (closed short arrow).
Ideally, CT would be able to detect a squamous cell carcinoma of the true or false vocal cord that erodes the cortex of the ossified thyroid or cricoid cartilage. However, the normal laryngeal cartilage ossifies irregularly and discontinuously; consequently, on CT images, it may be impossible to determine whether a defect in the cartilage is erosion by tumor or a normal discontinuity (Figure 8a). Only if a laryngeal tumor extends to the extralaryngeal surface of the cartilage, invading or displacing strap muscles, can the discontinuity be presumed to be erosion. Magnetic resonance imaging, by contrast, is an ideal imaging modality for evaluating ossified laryngeal cartilage, as even small foci of marrow invasion by tumor are easily seen (Figure 8b).
Marrow edema secondary to tumor may have a similar or identical imaging appearance as the tumor itself. Although this is a potential limitation of imaging, in fact, marrow edema usually reflects tumor invasion nearby.
Tumor and fat have very different appearances on both CT and MRI studies and are readily distinguished.[1,3,4] On CT, fat is lucent (hypodense, dark) with respect to tumor (Figure 4). In general, only air is more lucent than fat. On T1-weighted MRI sequences, fat is hyperintense (white).
To differentiate tumor from fat on MRI, nonenhanced T1-weighted images are useful. After gadolinium administration, the white of enhancing tumor may blend with the white of normal orbital fat. Fat-suppression techniques darken the high signal of fat without altering the high signal of enhancing tumor (Figure 5), just as with marrow imaging. Both nonenhanced T2-weighted images and fat-suppressed enhanced images are essential to the evaluation of neoplasms that abut fat.
When it is impossible to differentiate tumor from extraocular muscle in the orbit, fat becomes a useful landmark: Identification of an intact fat plane between enhancing tumor and enhancing muscle on all images strongly suggests that the muscle is spared. Effacement of the fat may indicate frank invasion of muscle by tumor, or only tumor compression of fat (Figure 5).
FIGURE 9A

Axial CT (soft-tissue algorithm, contrast-enhanced) shows tumor infiltrating the left pterygopalatine fossa (black arrow). Tumor replaces fat, which normally fills the fossa, as on the normal right side (black arrowhead).
As with marrow fat, edema at the periphery of a tumor may infiltrate fat and have an identical appearance to tumor in the fat. Edema secondary to radiation therapy is usually identified more easily as a reticular infiltrate in deep and subcutaneous fat planes.[7] After radiation therapy, this is usually accompanied by thickening of the platysma muscle, intense enhancement of the major salivary glands (eg, the parotids), and low-density thickening (edema) of the aryepiglottic folds.[7]
Cranial nerves exit the skull base surrounded by fat.[8-11] Replacement of this fat, on CT or MRI, by soft tissue strongly suggests perineural extension of tumor along cranial nerves. This is most easily appreciated just beneath the skull base at the neural foramina: stylomastoid foramen for the facial nerve (parotid tumors) and foramen ovale for the mandibular division and fora-men rotundum for the maxillary division of the trigeminal nerve (oral cavity tumors).[11]
On CT (Figure 3 and Figure 9a), perineural tumor causes enlargement and erosion of the skull base foramina and canals that transmit the affected cranial nerves.[8-10] On MRI (Figure 9b), the corresponding abnormalities are intense enhancement and enlargement of the nerves.[11] Magnetic resonance imaging does not show erosion of neural foramina very well. It is likely that MRI shows enhancement earlier than CT shows enlargement or erosion of the bone; therefore, MRI is a more sensitive test for the detection of perineural tumor growth.
Adenoid cystic carcinoma from major and minor salivary glands, squamous cell carcinoma, lymphoma, and melanoma all have a predilection for perineural tumor spread. In patients with these tumors, it is especially important to inspect the path that cranial nerves take to and from the tumor.[11]
FIGURE 9B

Coronal MRI (T1-weighted, gadolinium-enhanced, fat-suppressed) shows enlargement and intense enhancement of the mandibular division of the left trigeminal nerve as it passes through the foramen ovale (large arrow). Normal cerebrospinal fluid in Meckel's cave is seen on the right (arrowhead), whereas there is tumor in Meckel's cave and the cavernous sinus on the left (open arrow). Normal flow voids of the cavernous carotid arteries (a) are seen.
Enhancement of dura is often evidence of intracranial extension of tumors arising in the paranasal sinuses, nasal cavity, skull base, nasopharynx, and temporal bone. Subtle dural enhancement is not detected on CT
FIGURE 10A

Computed tomography (soft-tissue algorithm) shows an aggressive mass that has destroyed much of the sphenoid bone (open arrow). Tumor and brain are of different densities, but it is impossible to determine whether dura is invaded (small arrow). The cavernous sinuses (arrowheads) are opacified on this enhanced study, which is normal. However, it is impossible to determine whether tumor invades the cavernous sinus. FIGURE 10B

Magnetic resonance imaging (T1-weighted, fat-suppressed) more clearly shows the bulky enhancing tumor (large arrows), the interface between tumor and brain, and the abnormally enhancing, thickened aura (small arrows). This could reflect tumor invasion of dura or inflammation in response to adjacent tumor. The signal void of rapidly flowing blood in the left cavernous carotid artery (open arrow) is surrounded by opacified, more slowly flowing blood in the cavernous sinus (curved arrow), making it difficult to determine whether tumor invades the left cavernous sinus. On the right, bulky tumor (small arrows) invades the cavernous sinus.
(Figure 10a) but is more easily identified on MRI (Figure 10b). Dural enhancement may indicate tumor invasion or dural inflammation secondary to adjacent tumor or prior surgery.[12] Prior imaging studies are extremely helpful in making this distinction. In the absence of prior studies, it may be necessary to obtain frozen sections in the operating room to determine the appropriate surgical margins.
Imaging perpendicular to the plane of the affected dura facilitates visualization of the enhancement.[4] Coronal images often provide important information about dura along the floor of the anterior and middle cranial fossae and the roof of the temporal bone.
Coronal MR images are far more easily obtained than are coronal CT scans, as the latter require the patient to hyperextend the neck (lying either prone or supine) and the scanning gantry to be tilted. Limitations of patient flexibility and scanner geometry sometimes result in “coronal” CT images that are just slightly oblique axial images. With MRI, however, any scan plane is easily obtainable with software manipulations only. The patient lies in the same supine position throughout the study, whether coronal, axial, sagittal, or oblique images are being acquired.
Vasogenic edema spreading through white matter of the brain may be the initial evidence of tumor invasion. Both CT and MRI (especially T2-weighted pulse sequences) show white matter edema; MRI is superior for the detection of subtle edema. Frank enhancement of brain parenchyma may indicate direct extension of tumor or metastatic disease.[1,3]
On nonenhanced CT studies, blood vessels are isodense to other soft tissues, including lymph nodes, muscle, and tumor; consequently, blood vessels may be confused with all of these tissues. After IV iodinated contrast administration, however, blood vessels become hyperdense (white) and can be easily differentiated from other soft tissues. The exception to this is intensely enhancing tumor. For example, it may be impossible to distinguish the carotid artery as a structure separate from an intensely enhancing glomus tumor.[13]
FIGURE 11

Tumor Invading a Blood Vessel
Tumor invading a blood vessel is usually a different density from the opacified blood in the remaining vessel lumen (Figure 11). On spin echo pulse MRI sequences (T1- and T2-weighted images, for example), rapidly flowing blood generates a signal void (black). This appearance does not change significantly after IV gadolinium administration; rapidly flowing blood is a signal void whether or not it contains gadolinium (Figure 10b).
More slowly flowing blood vessels, such as smaller veins and arteries and the cavernous sinus (Figure 10b), are an important exception; these vessels may enhance after contrast administration.[13] The carotid arteries (Figure 10b), jugular veins, and large dural venous sinuses are all black. More slowly flowing blood yields a signal that may create great confusion. The jugular fossa is one such location; blood flow in the jugular fossa is often slow, creating a bright (hyperintense) signal that can mimic tumor. In this setting, flow-sensitive images tailored to the expected flow velocity may be helpful.
FIGURE 12

Magnetic resonance angiogram
Magnetic resonance angiography (MRA; Figure 12) uses the signal characteristics of flowing blood to generate images of arteries and large veins, such as the internal jugular vein and dural venous sinuses.[14] This imaging study may be obtained without IV contrast, making it a noninvasive procedure that is very different from catheter angiography. Other MRA pulse sequences provide finer detail of blood vessels after administration of IV gadolinium.
Magnetic resonance angiography provides little or no additional information beyond that provided by the axial “base images.” The main difference is that, on MRA, the background structures are subtracted by the computer software, and the same software “stacks” the images into a “three-dimensional”–type image that can be rotated and viewed from any angle. However, the tumor itself is not seen on MRA (Figure 12). Unlike conventional catheter angiography (Figure 1), small tumor vessels are usually below the level of resolution of the MRA scan, and the only evidence of the tumor may be either displacement of the affected vessel by the (unseen) tumor or narrowing, indicating encasement by tumor.
In addition, unlike catheter angiography, MRA does not offer the option of therapeutic embolization or intra-arterial instillation of chemotherapeutic agents. Finally, MRA is subject to artifacts that can mimic occlusion or narrowing of a vessel.
New computer software has led recently to the development of CTangiography (CTA). This technique requires a scanner able to do helical scanning, which acquires, in rapid sequence, many thin axial slices (1 to 10 mm thick) with little or no interslice gap. Rapid bolus administration of contrast must be coordinated with scanning so that the area of interest is scanned during maximum opacification of the vessels of interest. Computed tomographic arteriograms and venograms can be obtained by adjusting the timing of scanning with respect to contrast administration; in both cases, contrast is given intravenously.
As with MRA, the CTA software program subtracts background structures and “stacks” the axial data to generate images that closely resemble conventional angiograms. Also, like MRA, the reformatted CTA images contain no information that is not present on the many axial images. Compared with MRA, CTA seems to be subject to fewer scanning artifacts, although atherosclerotic calcified plaque that severely narrows a vessel lumen can mimic a patent vessel if the “scout” images (ie, those obtained before contrast administration) are not reviewed.
Tumor extending through the skull base into the cavernous sinus may be difficult to identify, even on enhanced CT studies, as the enhancing tumor and the enhanced blood in the cavernous sinus are isodense.[13] Abnormal lateral convexity of the cavernous sinus may suggest the presence of tumor, but an ectatic cavernous carotid artery can similarly distort the cavernous sinus contour. In this setting, MRI is extremely helpful, as the rapidly flowing blood in the cavernous carotid artery is black (on spin echo sequences), whereas enhancing tumor is white (on T2-weighted sequences and on gadolinium-enhanced T1-weighted sequences).
Both CT and MRI can show tumor effacement of the normal fat plane around blood vessels. Only at surgery is it possible to determine whether there is frank invasion of the adventitia.
If preoperative studies diagnose or raise the concern of tumor invasion of a carotid artery, preoperative evaluation may include a balloon test-occlusion, to determine whether the artery may be sacrificed.[1,15] The angiographer advances a balloon-tipped catheter into the involved carotid artery. Inflation of the balloon reversibly mimics sacrifice of the artery.
With the balloon inflated, clinical neurologic testing in the angiography suite is the initial evaluation. If no significant neurologic deficits develop, the balloon is deflated but the catheter remains in place. The patient is transferred to the CT scanner, where he or she inhales stable (nonradioactive) xenon gas. The gas diffuses across the alveoli walls into the bloodstream. With xenon in the blood, normally-perfused brain parenchyma is faintly more radiopaque than brain parenchyma that is not as fully perfused. The density of brain parenchyma, therefore, is compared while the balloon is inflated and deflated. If the change in density is less than a predetermined amount, this suggests that the artery can be resected with few or no clinical sequelae.[1,15]
Both CT and MR can differentiate tumor from air in a normally clear paranasal sinus. Air is black on CT (Figure 2a) and on all MR pulse sequences (Figure 2b). Dense tumor calcifications are black (signal voids) on MRI, but calcified foci are usually scattered within the soft tissue mass of a tumor, and not liable to be confused with a clear, normal sinus. As shown in Figure 3, this would not be a problem with CT, as calcifications on CT are dense (white).
When tumor obstructs a paranasal sinus, obstructed secretions fill the sinus and can mimic tumor in the sinus lumen. On contrast-enhanced CT, tumor is more dense than low-density (watery) secretions (Figure 2a). Chronically obstructed secretions become less watery, more proteinaceous, and more dense on CT. These may be isodense to tumor.
On MRI, the signal intensity of retained secretions depends on the concentration of protein and whether there was any prior bleeding into the sinus.[1,3] As shown in Figure 2b, watery secretions are dark (hypointense) on T1-weighted sequences and bright (white) on T2-weighted images [16]; the appearance is similar to that of other watery secretions, such as cerebrospinal fluid and vitreous humor.
Desiccated secretions may be hyperintense on T1-weighted images (Figure 2a and figure 2b), [16] but very desiccated secretions may have no mobile hydrogen protons to generate an MR signal and, therefore, may yield a signal void indistinguishable from an aerated sinus.[16] This is an important pitfall to keep in mind when using MRI to evaluate the paranasal sinuses.
Inflamed, nonneoplastic sinus mucosa enhances. This is better seen on MRI than on CT studies. The thin, white line of enhancing mucosa is not likely to be mistaken for tumor. The availability of T1- and T2-weighted pulse sequences and IV gadolinium make MRI superior to CT for differentiating tumor from obstructed secretions.
FIGURE 13

Enhancement of Lymph Nodes
Imaging studies have contributed to the identification of metastatic cervical lymphadenopathy. A clinically N0 neck may contain metastatic disease that can be identified only by CT or MRI.
Normal lymph nodes are the same CT density as muscle and are isointense to muscle on T1-weighted MR images. Normal nodes are usually slightly hyperintense (white) on T2-weighted images and enhance slightly and homogeneously after contrast administration.
Imaging criteria for normal and pathologic lymph nodes vary. The goal is to maximize sensitivity, so that nodes that contain tumor are not overlooked as normal and histologically normal nodes are not misidentified as pathologic.[17]
Many authors accept as normal the criterion of 1 cm in greatest axial diameter for cervical lymph nodes. Some authors extend this to 1.5 cm for jugulodigastric (zone II) nodes that drain much of the upper aerodigestive tract. Homogeneous density or signal, an oval shape, and intact surrounding fat are also normal.
FIGURE 14

Lymph Node Necrosis
A heterogeneous appearance, enhancement (Figure 13), and/or frank central necrosis (Figure 14) strongly suggest the presence of metastatic tumor in the appropriate clinical context. (Infectious lymphadenitis may have the same appearance, however.) Even small lymph nodes (£ 5 mm) with a necrotic center are abnormal. These are often not clinically palpable, and their identification on imaging studies may alter the clinical stage of the tumor.
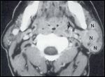
FIGURE 15

Abnormal Number of Lymph Nodes
It is important not to mistake the normal hilar fat in a node for central necrosis. This is only an issue on CT, as fat and necrosis have different signals on MRI.
Normal lymph nodes are oval, whereas round nodes often contain tumor. It is important to make sure that the scan is oriented along the long axis of the node before identifying a node as round. An increased number of nodes may also be abnormal (Figure 15).
Imaging studies are especially important for detecting clinically nonpalpable nodes.[17] These are not just small nodes. Retropharyngeal lymph nodes (nodes of Rouviere) are difficult or impossible to appreciate clinically but are easily identified on imaging studies (Figure 14). This important information may alter surgical planning or treatment options.
FIGURE 16

Three-dimensional reconstruction
Three-dimensional–type images generated from the axial CT data facilitate visualization of the anatomy (Figure 16). These images contain no additional information, but it is sometimes easier to conceptualize the relationship of tumor to normal structures after the computer software rearranges the data.
Intraoperative localization using CT and MRI guidance is now possible.[18] New computer software programs link the axial CT or MRI data acquired preoperatively to a probe placed in the surgical field at the time of surgery.
In the operating room, the surgeon co-registers fixed surface landmarks on the patient (such as the medial canthus of the eye and tip of the nose) with a three-dimensional reformatted image made from the same patient’s axial data.[18] When the localizing probe is placed on a structure in the surgical bed, the computer displays the axial image, plus the reformatted coronal and sagittal images, all with a marker that indicates the location of the probe. Intraoperative image-guided navigation has proven to be quite useful in facilitating the surgical approach to skull base tumors.[18]
In addition to preoperative embolization of a highly vascular tumor, the angiographer can provide other forms of therapy. Therapeutic embolization of surgically unresectable bleeding tumors can be a life-saving intervention. Also, intra-arterial administration of chemotherapy allows for the delivery of a higher concentration of the drugs to the tumor, with fewer systemic side effects.
Positron emission tomography (PET) may prove to be of great value in differentiating tumor from scar, edema, and other nonneoplastic soft tissues.[19] A radioactive isotope is attached to a substance that the body metabolizes (usually fluorodeoxyglucose). Tumor accumulates and metabolizes the tracer-labeled glucose more avidly than does scar, normal muscle or lymph node, or edema.[19]
Imaging studies provide important information about the location and extent of head and neck neoplasms. This information facilitates preoperative surgical planning and can be used to evaluate response to nonsurgical therapy.
Imaging studies can also identify residual and recurrent tumor and clinically occult disease. With imaging-guided biopsy and intraoperative localization; therapeutic embolization and intra-arterial chemotherapy under angiographic guidance; and PET studies, the radiologist has assumed a more active role in the evaluation and treatment of head and neck neoplasms.
1. Weissman JL, Curtin HD: Advances in imaging. J Neuro-Oncol 20:193-211, 1994.
2. Som PM, Dillon WP, Sze G, et al: Benign and malignant sinonasal lesions with intracranial extension: Differentiation with MR imaging. Radiology 172:763-766, 1989.
3. Curtin HD, Weissman JL: Imaging of the cranial base, in Janecka IP (ed): Problems in Plastic and Reconstructive Surgery: Principles in Cranial Base Surgery, chap 3, pp 21-36, 1993.
4. Teresi LM, Lufkin RB, Vinuel F: MR imaging of the nasopharynx and floor of the middle cranial fossa: II. Malignant tumors. Radiology 164:817-821, 1987.
5. Curtin HD: Imaging of the larynx: Current concepts. Radiology 173:1-11, 1989.
6. Shigeki A, Dillon WP, Barkovich AJ, et al: Marrow conversion before pneumatization of the sphenoid sinus: Assessment with MR imaging. Radiology 172:373-375, 1989.
7. Mukherji SK, Mancuso AA, Kotzur IM, et al: Radiologic appearance of the irradiated larynx: I. Expected changes. Radiology 193:141-148, 1994.
8. Laine FJ, Braun IF, Jensen ME, et al: Perineural tumor extension through the foramen ovale: Evaluation with MR imaging. Radiology 174:65-71, 1990.
9. Curtin HD: Detection of perineural spread: Fat is a friend. Am J Neuroradiol 19:1385-1386, 1998.
10. Curtin HD, Williams R, Johnson JT: CT of the perineural tumor extension: Pterygopalatine fossa. Am J Roentgenol 144:163-169, 1985.
11. Ginsburg LE, DeMonte F: Imaging of perineural tumor spread from palatal carcinoma. Am J Neuroradiol 19:1417-1422, 1998.
12. Fukui MB, Meltzer CC, Kanal E, et al: MR imaging of the meninges: II. Neoplastic disease. Radiology 201:605-612, 1996.
13. Hirsch WL, Hryshko FG, Sekhar LN, et al: Comparison of MR imaging, CT, and angiography in the evaluation of the enlarged cavernous sinus. Am J Neuroradiol 9:907-915, 1988.
14. Atlas SW: MR angiography in neurologic disease. Radiology 193:1-16, 1994.
15. Barker DW, Jungreis CA, Horton JA, et al: Balloon test occlusion of the internal carotid artery: Change in stump pressure over 15 minutes and its correlation with xenon CT cerebral blood flow. Am J Neuroradiol 14:587-590, 1993.
16. Som PM, Dillon WP, Fullerton GD, et al: Chronically obstructed sinonasal secretions: Observations on T1 and T2 shortening. Radiology 172:515-520, 1989.
17. Som PM: Lymph nodes. in Som PM, Curtin HD (eds): Head and Neck Imaging, pp 772-793. St. Louis, Mosby, 1996.
18. Carrau RL, Snyderman CH, Curtin HD, et al: Computer-assisted intraoperative navigation during skull base surgery. Am J Otolaryngol 17:1-8, 1996.
19. Fischbein NJ, Aassarro S, Caputo GR, et al: Clinical utility of PET with 18F-deoxyglucose in detecting residual/recurrent squamous cell carcinoma of the nasopharynx. Am J Neuroradiol 19:1189-1196, 1998.
Improving Leukoplakia Follow-Up: Information Leaflets, Habit Cessation Counseling
Enhancing patient adherence to follow-up care for leukoplakia through habit cessation counseling and patient information leaflets may reduce oral cancer risks.