CT images from a 58-year-old female who underwent surgery for pancreatic cancer show a previously unseen structure. What is your diagnosis?
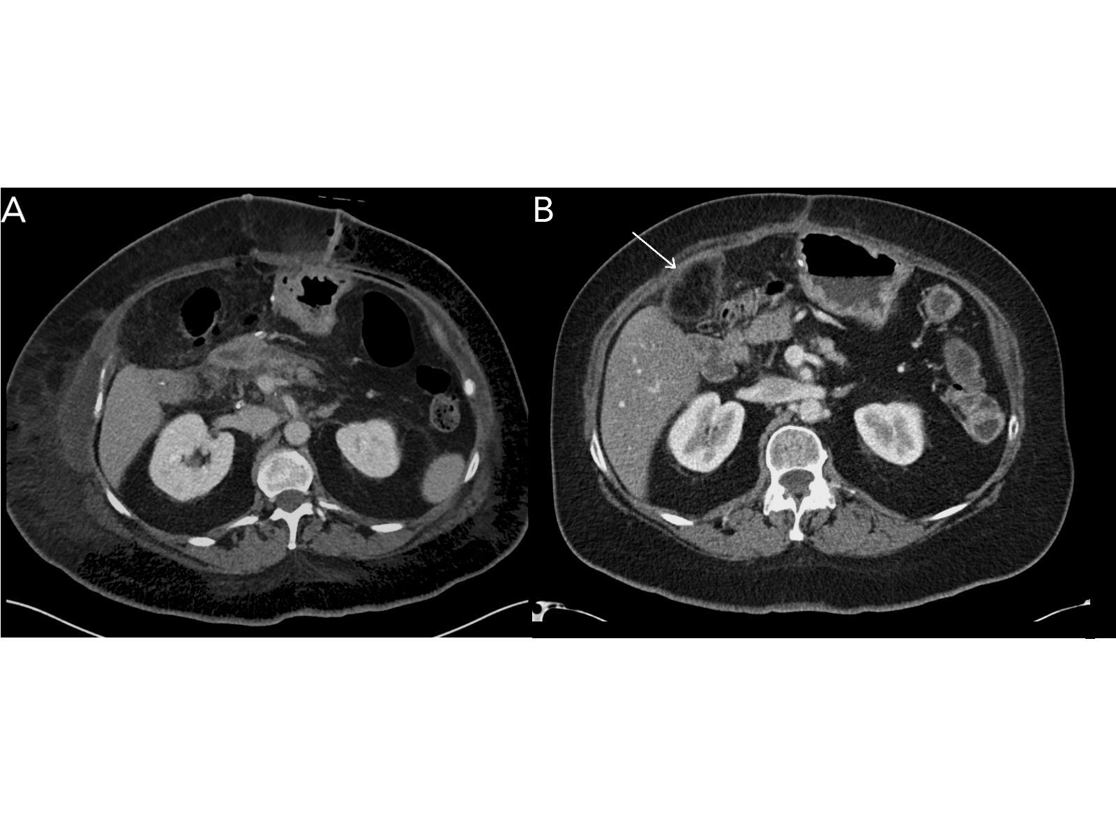
CT images from a 58-year-old female who underwent surgery for pancreatic cancer are seen below. Image A is a contrast-enhanced CT scan obtained in the immediate postoperative period. Image B is from a contrast-enhanced CT scan performed 4 months post-op. A new structure in the right upper quadrant on the postoperative CT scan is indicated by the arrow.

Based on the images shown, what is your diagnosis?