Extraovarian primary peritoneal carcinoma (EOPPC), a relatively newly defined disease that develops only in women, accounts for approximately 10% of cases with a presumed diagnosis of ovarian cancer. Characterized by
Extraovarian primary peritoneal carcinoma (EOPPC), a relatively newly defined disease that develops only in women, accounts for approximately 10% of cases with a presumed diagnosis of ovarian cancer. Characterized by abdominal carcinomatosis, uninvolved or minimally involved ovaries, and no identifiable primary, EOPPC has been reported following bilateral oophorectomy performed for benign disease or prophylaxis. Most cases are of serous histology; however, nonserous tumors have been observed. Although EOPPC is similar to serous ovarian carcinoma with respect to clinical presentation, histologic appearance, and response to chemotherapy, molecular and epidemiologic studies have indicated that it may be a separate entity. This review explores the clinical presentation, management, prognosis, and survival of EOPPC.
Extraovarian primary peritoneal carcinoma (EOPPC) is an adenocarcinoma that develops from the peritoneum lining the pelvis and abdomen and is characterized by abdominal carcinomatosis, uninvolved or minimally involved ovaries, and no identifiable primary tumor. This relatively newly defined disease entity occurs exclusively in women and has been reported following bilateral oophorectomy performed for benign disease or prophylaxis.[1] It accounts for approximately 10% of cases with a presumed diagnosis of ovarian cancer.[2]
Although most cases of EOPPC are of serous histology, nonserous tumors have been reported.[3] Different investigators have referred to EOPPC as serous surface papillary carcinoma,[1,4,5] primary peritoneal carcinoma,[6] peritoneal mesothelioma,[7] multiple focal extraovarian serous carcinoma,[8] primary peritoneal papillary serous adenocarcinoma,[3] serous surface carcinoma of the peritoneum,[9] extraovarian peritoneal serous papillary carcinoma,[10,11] extraovarian mllerian adenocarcinoma,[12] normal-sized ovary carcinoma syndrome,[13] papillary serous carcinoma of the peritoneum,[14-16] and peritoneal papillary carcinoma.[17]
Extraovarian primary peritoneal carcinoma is similar in clinical presentation, histologic appearance, and response to serous ovarian carcinoma. However, molecular and epidemiologic studies[18,19] suggest that EOPPC may be a separate entity. This review examines the current literature on EOPPC, with an emphasis on its clinical presentation, management, prognosis, and survival.
The first case of EOPPC was reported by Swerdlow in 1959.[7] He described a 27-year-old woman experiencing pelvic pain, who, upon examination, was found to have an adnexal mass. Exploratory laparotomy revealed a friable pelvic tumor and normal fallopian tubes and ovaries. On microscopic examination, the tumor exhibited a papillary architecture and was most remarkable for large deposits of psammoma bodies.
Two years later, Rosenbloom and Foster[20] reported a case of pelvic peritoneal tumor, which they referred to as diffuse papillary mesothelioma. In 1974, Parmley and Woodruff[21] demonstrated that pelvic peritoneum had the potential to differentiate into a mllerian type of epithelium, and in 1977, Kannerstein et al[22] and Kannerstein and Churg[23] pointed out the importance of distinguishing EOPPC from peritoneal malignant mesothelioma, a condition that predominantly affects men and is associated with exposure to asbestos.
Two theories have been proposed to explain the development of EOPPC. Some authors[22] believe that embryonic germ cell rests remain along the gonadal embryonic pathway and that EOPPC develops from a malignant transformation of these cells. Other authors[21] contend that field carcinogenesis occurs, with the celomic epithelium lining the abdominal cavity (peritoneum) and the ovaries (germinal epithelium) manifesting a common response to an oncogenic stimulus.
Muto et al[18] demonstrated that four of six cases of EOPPC had different patterns of allelic loss at various anatomic sites, and one of these cases also had a p53 mutation present in some, but not all, anatomic sites. These findings are consistent with a multifocal origin for primary peritoneal carcinoma.
The same authors[24] had previously shown that, in advanced-stage epithelial ovarian cancer, the pattern of allelic loss, X chromosome inactivation, and p53 mutation was consistent with a unifocal origin. Contrary to Muto et al,[18] Kupryjanczyk et al,[25] using p53 mutation analysis, identified identical mutations in tumors obtained from different sites in two patients with primary peritoneal carcinoma. Again, these findings are consistent with a unifocal origin.
Mutations of the tumor-suppressor gene BRCA1 have been implicated in the development of familial ovarian and breast cancer.[26,27] The role of BRCA1 gene mutations in the development of EOPPC is uncertain. In the only molecular study reported to date, BRCA1 germ-line mutations were identified in 3 (17.6%) of 17 EOPPC patients.[28] If these findings are confirmed by further studies, EOPPC should be considered a malignancy expressed in the familial breast-ovarian cancer syndrome.
To date, ~500 cases of EOPPC have been reported in the literature. The relatively small number of reported cases is due to the facts that (1) EOPPC is a relatively newly defined disease entity and (2) most EOPPC cases are misdiagnosed as epithelial ovarian cancer.
Some authors[10] believe that the incidence of EOPPC is increasing. Centers that document the relative frequency of EOPPC and epithelial ovarian cancer report a ratio of approximately 1:10.[17,19,29] An autopsy study by Rothacker et al[2] demonstrated that EOPPC accounts for 8% of all autopsies with the final diagnosis of serous ovarian cancer. These authors[2] estimated an incidence of 1 case per 150,000 women per year in their geographic area.
The risk factors for EOPPC are unknown. Unlike peritoneal mesothelioma, EOPPC has no association with exposure to asbestos.[2]
An epidemiologic study[19] that compared EOPPC patients with patients with epithelial ovarian cancer discovered some similarities and differences between the two groups. Compared with women with epithelial ovarian cancer, those with EOPPC were significantly older, had later menarche, and were less likely to have used perineal talc powder. On the other hand, there were no significant differences between the two groups with regard to race; education; income; marital status; smoking; history of the use of birth control pills or hormone replacement; history of tubal ligation or infertility; family history of ovarian, colorectal, or endometrial cancers; and personal history of breast or uterine cancers.
The clinical presentation of EOPPC is indistinguishable from that of advanced-stage epithelial ovarian cancer.[9-11,14-17] Most reported cases of EOPPC have been in white women, with a median age of 57 to 66 years.
The most common presenting symptoms include abdominal distention, pain, and gastrointestinal symptoms (nausea, vomiting, dyspepsia, or change in bowel habits). The most common presenting finding on physical examination is ascites, reported in approximately 85% of cases.
On exploratory laparotomy, a widespread intraperitoneal malignancy has been found, which usually involves the omentum and upper abdomen with minimal or no ovarian involvement. The operative findings of EOPPC are similar to those of advanced-stage epithelial ovarian cancer or peritoneal carcinomatosis from metastatic gastrointestinal cancers, except that the ovaries show minimal or no involvement and no primary can be found in the gastrointestinal tract or other organs. Because the ovaries look normal, EOPPC has sometimes been referred to as normal-sized ovary carcinoma syndrome.[13]
Approximately 3.2% to 21.2% of EOPPC patients have a history of bilateral oophorectomy for benign disease or prophylaxis.[10,14,30] Extraovarian primary peritoneal carcinoma spreads mainly transperitoneally; however, lymphatic and blood-borne metastases have been suggested.[10,14,31] Metastasis to different groups of lymph nodes,[10,14] the liver parenchyma,[14] and the brain[31] have been reported.
Levels of the tumor marker CA 125 were elevated (> 35 U/mL) in most of the EOPPC patients in whom preoperative CA 125 values were known.[3,15,32] Some authors[3] have found that CA 125 levels correlate with the clinical status of the disease and response to therapy. In a group of 29 EOPPC patients, mean CA 125 values were similar to those of a group of 27 women with epithelial ovarian cancer matched for age, stage, and grade.[15]
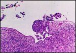
FIGURE 1

Primary Peritoneal Serous CarcinomaFIGURE 2

Primary Peritoneal Tumor With Seromucinous Differentiation
There is no separate staging system for EOPPC. Most investigators have used the International Federation of Obstetrics and Gynecology (FIGO) staging system for ovarian cancer[33] in EOPPC patients. Most cases reported in the literature have been stage III or IV.[3,10,17,30,32]
The histology of EOPPC is indistinguishable from that of papillary serous ovarian carcinoma but is distinct from that of papillary mesothelioma.[9,34,35] Figures 1 and 2 show two examples of EOPPC. The tumor is characterized by a predominantly papillary pattern. The papillae are irregular in size and shape and usually contain psammoma bodies, which are abundant in some cases. The number of mitoses is usually > 20 per 10 high-power fields, and most cases are grade 2 or 3.[10,14] Ultrastructurally, EOPPC shows epithelial differentiation, including cytoplasmic mucin, short and straight microvilli, cell junctions, and occasional cilia.[9]
The microscopic, histochemical, immunohistochemical, and ultrastructural features of EOPPC are similar to those of serous ovarian carcinoma.[9,34,35] Occasionally, it is difficult to differentiate this disease from papillary peritoneal mesothelioma on microscopic examination alone. In such cases, the panel of special stains listed in Table 1 may be helpful.
TABLE 1

Immunohistochemical Marker Profiles of Peritoneal Mesothelioma vs Peritoneal Adenocarcinoma
August et al[8] compared the gross, light microscopic, and ultrastructural features of EOPPC with those of serous ovarian carcinoma and malignant mesothelioma. They concluded that EOPPC probably arises from mesothelial cells modified by various mllerian influences and should be classified separately from the other two entities.
Most cases of EOPPC reported in the literature have been of serous histology.[3,10,14] However, other histologic variants of the mllerian system have been reported; specifically, endometrioid,[36] clear cell,[3,37] mucinous,[38] Brenner tumor,[39] and mixed mllerian tumors.[40] Clinical experience with nonserous primary peritoneal carcinomas is limited. However, nonserous and serous tumors appear to be similar with regard to prognosis and response to therapy.[3]
A few studies[6,12,18] have reported molecular changes associated with EOPPC. Using immunohistochemical techniques, Moll et al[6] found p53 overexpression in 83% of 29 EOPPC patients. These authors speculated that p53 inactivation is a critical early step in the development of this tumor, but not necessarily the first step. They also identified two cases of discordance for p53 immunopositivity among eight immunopositive tumors sampled that had at least two distinct anatomic sites. According to Moll et al, these two cases support the concept of a multifocal origin of EOPPC.
Kowalski et al[12] investigated overexpression of the tumor-suppressor gene p53, the oncogene HER-2/neu, and DNA content measured by flow cytometry in 44 EOPPC patients and a matched control group of 44 epithelial ovarian cancer patients. The rate of p53 overexpression and the incidence of aneuploidy were similar in the two groups (48% vs 59% and 65% vs 63%, respectively). However, EOPPC tumors demonstrated almost twice the rate of HER-2/neu overexpression as did epithelial ovarian cancers (59% vs 36%; P = .05). These authors suggested that the genetic events responsible for malignant transformation in EOPPC may be distinct from those responsible for epithelial ovarian cancer.
To achieve uniform reporting and improve understanding of the results of therapy in EOPPC patients, the Gynecologic Oncology Group has described the following diagnostic criteria[11]:
• Both ovaries must be physiologically normal in size (< 4.0 cm in largest diameter) or enlarged by a benign process.
• Tumor involvement at the extraovarian sites must be greater than that on the surface of either ovary.
• Microscopically, the ovarian component must be: (1) nonexistent, (2) confined to ovarian surface epithelium with no evidence of cortical invasion; (3) involve ovarian surface epithelium and underlying cortical stroma but with any given tumor size less than 5 ´ 5 mm; and (4) tumor less than 5 ´ 5 mm within ovarian stroma with or without associated surface disease.
• Histologic and cytologic characteristics of the tumor must be predominantly of the serous type that is similar or identical to any grade of ovarian serous papillary adenocarcinoma.
The management of patients with EOPPC is similar to that of patients with epithelial ovarian cancer, and consists of cytoreductive surgery followed by multiagent cisplatin (Platinol)-based chemotherapy.
Many authors[3,11,14,15] have reported more limited success with primary cytoreductive surgery in patients with EOPPC than in those with epithelial ovarian cancer. The widespread nature of EOPPC, specifically in the upper abdomen, may account for this limited success. Optimal cytoreductive surgery (largest residual tumor mass < 2.0 cm) has been reported in 33% to 69% of EOPPC patients.[3,10,11, 14-17]
Most[11,14,16,17], but not all, authors have found that patients with EOPPC have a similar response to chemotherapeutic agents as those with epithelial ovarian cancer. Cisplatin-based regimens have been the most common first-line chemotherapeutic regimens used in patients who have EOPPC.[3,10,11,14-17,30]
TABLE 2

Response of Extraovarian Primary Peritoneal Carcinoma to First-Line Chemotherapy
Table 2 summarizes the literature on the different chemotherapeutic regimens described to date. Dalrymple et al[10] reported a relatively low overall response rate of 33.3% to the combination of chlorambucil (Leukeran) and cisplatin (N = 25) or chlorambucil alone (N = 5). Fromm et al[14] cited an overall response rate of 63.6% to different regimens of chemotherapy, half of which included cisplatin, alone or in combination with other drugs. Of 33 patients who underwent second-look laparotomy, 27.3% demonstrated a complete surgical response and 21.2%, a partial surgical response.
These authors[14] demonstrated that patients who receive cisplatin-based regimens have a significantly longer survival than patients who do not, and that patients given combination chemotherapy survive longer than those treated with single-agent regimens. On the other hand, White et al[29] reported median survival times of 15 and 16 months for single- and multiple-agent regimens, respectively, in a small group of 11 EOPPC patients.
Researchers at the Roswell Park Cancer Institute[17] reported an overall response rate of 65% in a group of 23 EOPPC patients treated primarily with cisplatin-based regimens following cytoreductive surgery. This response rate was comparable to that achieved by the authors with similar combinations in patients with ovarian carcinomas. Tumor grade did not influence response to chemotherapy. These authors[17] suggested that EOPPC patients should be treated in a similar fashion as those with ovarian adenocarcinoma.
Ransom et al[16] made similar recommendations based on the treatment results of 33 EOPPC patients. In a study of five EOPPC patients treated with cisplatin, doxorubicin, and cyclophosphamide (Cytoxan, Neosar) and two patients treated with cisplatin and cyclophosphamide, Altras et al[3] recorded complete responses in four patients and partial responses in three.
In a case-control study of 33 EOPPC patients and 33 patients with papillary serous ovarian carcinoma, Bloss et al[11] found no significant differences between the cases and controls with regard to tumor response to therapy, disease-free interval, and actuarial survival. In this study, 29 patients received the combination of cisplatin, doxorubicin, and cyclophosphamide and 4 patients received cisplatin plus cyclophosphamide. Complete surgical responses occurred in 6 (18.0%) patients and partial responses in 15 (45%).
In contrast, in another case-control study comparing EOPPC and papillary serous ovarian carcinoma, Killackey and Davis[15] asserted that EOPPC patients have a poorer response to treatment with cisplatin-based regimens. However, these authors did not give details about response rates in the two treatment groups.
Paclitaxel-Cisplatin Combinations--In the first published report on the combination of paclitaxel (135mg/m2) and cisplatin (50 to 75 mg/m2), given for six cycles in four EOPPC patients, Menzin et al[41] described a complete surgical response in one patient and partial surgical responses in three patients.
Piver et al[30] reported the results of two sequential studies in which 46 patients with EOPPC received induction therapy with weekly cisplatin followed by either Platinol-Adriamycin-Cyclophosphamide (PAC; N = 25) or Taxol-Platinol (TP; N = 21). Surgical assessment of response was performed in 15 (60.0%) patients in the PAC trial and 13 (61.9%) in the TP trial. These authors found no statistically significant differences in overall response, surgical response, and complete surgical response rates between the PAC- and TP-treated patients (62.5% vs 70.0%, 73.3% vs 76.9%, and 13.3% vs 23.1%, respectively). Rates of nausea and vomiting and peripheral neuropathy were significantly higher among patients who received TP.
Second-Line/Salvage Chemotherapy--Experience with second-line or salvage chemotherapy in EOPPC patients who demonstrate tumor recurrence or progression is limited. Bloss et al[11] utilized such agents as cisplatin, carboplatin (Paraplatin), doxorubicin, methotrexate, paclitaxel, and fluorouracil (5-FU) in 14 patients with recurrent or persistent EOPPC. Salvage chemotherapy was unsuccessful in achieving a durable complete response in these patients.
Dalrymple et al[10] reported partial responses to second-line therapy in three patients, two of whom received cisplatin alone and one of whom, cisplatin and etoposide.
Earlier studies[4,32,41] of EOPPC described poor survival in the majority of patients. The 10 patients described by Mills et al[32] died within 52 months of diagnosis, and the longest survivor reported by Foyle et al[42] died 1.5 years after her initial symptoms.
Chen and Flam[43] were the first to report long-term survival. They described three patients who survived without evidence of disease for more than 5 years after treatment with surgery followed by the combination of cisplatin and doxorubicin with or without cyclophosphamide. In general, more recent studies on EOPPC have described better overall survival than earlier ones.
TABLE 3

Reported Survival of Patients With Extraovarian Primary Peritoneal Carcinoma
Reported median survival durations and 5-year survival rates among EOPPC patients are shown in Table 3. Median survival times vary between 7.0 and 27.8 months, while 5-year survival rates range from 0% to 26.5%.
Table 4 compares the survival of EOPPC patients with that of epithelial ovarian cancer patients. Gooneratne et al[4] reported a poorer survival in EOPPC patients than patients with epithelial ovarian cancer, but did not give full details. Dalrymple et al[10] cited a median survival of 11.3 months for patients with EOPPC, which is similar to the 13.5-month median survival for patients with ovarian carcinoma. None of their patients survived for 5 years.
Fromm et al[14] reported an overall median survival of 24.0 months. In their study, median survival for patients treated with melphalan (Alkeran) was 8.6 months, as compared with 34.5 months for those given cisplatin and cyclophosphamide (P = .008). Overall, the 5-year survival rate for their patients was approximately 22% .
TABLE 4

Comparison of Survival of Patients With Extraovarian Primary Peritoneal Carcinoma (EOPPC) and Patients With Epithelial Ovarian Cancer
Bloss et al[11] described a median survival of 20.0 months for EOPPC patients and 27.8 months for patients with papillary serous ovarian carcinoma matched for the extent of tumor before and following cytoreductive surgery, tumor grade, patient age, and treatment. The 5-year survival rate was approximately 15%.
In a study by Ransom et al,[16] median survival in a group of 33 EOPPC patients was 17 months. The 5-year survival rate reported by these authors was approximately 20%.
Killackey and Davis[15] reported a 10% survival rate at 5 years for EOPPC patients, as compared with a 37% rate for a matched group with papillary serous ovarian cancer. They found that mean disease-free survival was significantly shorter in EOPPC patients than in those with ovarian cancer (3.4 vs 11.7 months; P = .005).
Eltabbakh et al[44] described a median survival of 23.5 months for a group of 75 EOPPC patients and a 26.5% 5-year survival rate. In a study by Mulhollan et al,[5] the 2-year survival rate for a group of 33 patients with EOPPC was 39%. The 4-year survival rate for these patients was significantly longer than that for patients with serous carcinoma of the ovary (28% vs 9%; P = .03). Kowalski et al[12] reported a median survival of 27.8 months and a 5-year survival rate of ~15%. Patients with serous psammocarcinoma, a specific type of EOPPC characterized by massive psammoma body formation and low-grade cytologic features, have excellent survival following surgery alone.[45]
Knowledge about prognostic factors in EOPPC patients is limited. Fromm et al[14] demonstrated that patients whose tumors exhibited no mitosis survived significantly longer than those whose tumors showed mitosis. Survival also was longer in those who received multiple-agent chemotherapy, as compared with those treated with single-agent chemotherapy, and in those who received cisplatin-based regimens, as compared with those given non-cisplatin-containing regimens. On the other hand, these authors did not find age or residual tumor mass following primary cytoreductive surgery to be of prognostic significance.
Mulhollan et al[5] demonstrated that size of ovarian involvement and depth of ovarian stromal invasion by tumor was not predictive of survival. In the study by Ransom et al,[16] the only three long-term survivors had optimal cytoreductive surgery followed by cisplatin-based multiagent chemotherapy.
Piver et al[30] demonstrated that patients who underwent optimal cytoreductive surgery (largest residual tumor £1 cm) had a significantly higher response rate to chemotherapy and longer survival than patients in whom optimal cytoreductive surgery was not achievable. In 46 patients who received cis-platin-based multiagent chemotherapy, median survival was 29.4 months in patients who underwent optimal cytoreductive surgery vs 18.6 months in those who had suboptimal surgery (P = .008).
These findings were confirmed by a larger study[44] involving 75 EOPPC patients treated in the same institution. Eltabbakh et al[44] demonstrated that patient age, stage, performance status, and size of residual tumor following primary cytoreductive surgery were significant prognostic factors on univariate analysis. On multivariate analysis, only performance status and residual tumor were independent prognostic factors. Tumor grade, histology, depth of ovarian involvement, preoperative CA 125 values, p53 overexpression, and estrogen- and progesterone-receptor status did not affect survival significantly.[44] However, ability to achieve optimal cytoreduction may be related to preoperative tumor volume and tumor biology. Patients with smaller preoperative tumor volume and those with biologically less aggressive tumors are more likely to have optimal cytoreduction.
In a study that involved three molecular markers, Kowalski et al[12] demonstrated that p53 and HER-2/neu overexpression and DNA content evaluated by flow cytometry had no prognostic significance.
Recognition of EOPPC seems to be increasing. Patients with EOPPC should be reported separately from those with ovarian carcinoma but should be treated in a similar fashion.
Recent reports[30,44] of the prognostic significance of residual tumor mandate that surgeons should make every effort to achieve maximal tumor debulking when faced with the occasional patient who has abdominal carcinomatosis, normal-sized ovaries, and no identifiable primary tumor.
1. Tobacman JK, Tucker MA, Kase R: Intraabdominal carcinomatosis after prophylactic oophorectomy in ovarian cancer prone families. Lancet 2:795-797, 1982.
2. Rothacker D, Mobius G: Varieties of serous surface papillary carcinoma of the peritoneum in Northern Germany: A thirty-year autopsy study. Int J Gynecol Pathol 14:310-318, 1995.
3. Altras MM, Aviram R, Cohen I, et al: Primary peritoneal papillary serous adenocarcinoma: Clinical and management aspects. Gynecol Oncol 40:230-236, 1991.
4. Gooneratne S, Sassone M, Blaustein A, et al: Serous surface papillary carcinoma of the ovary: A clinicopathologic study of 16 cases. Int J Gynecol Pathol 1:241-249, 1981.
5. Mulhollan TJ, Silva EG, Tornos C, et al: Ovarian involvement by serous surface papillary carcinoma. Int J Gynecol Pathol 13:120-126, 1994.
6. Moll UM, Valea F, Chumas J: Role of p53 alteration in primary peritoneal carcinoma. Int J Gynecol Pathol 16:156-162, 1997.
7. Swerdlow M: Mesothelioma of the pelvic peritoneum resembling papillary cystadenocarcinoma of the ovary: Case report. Am J Obstet Gynecol 77:200, 1959.
8. August CZ, Murad TM, Newton M: Multiple focal extraovarian serous carcinoma. Int J Gynecol Pathol 4:11-23, 1985.
9. Truong LD, Maccato ML, Awalt H, et al: Serous surface carcinoma of the peritoneum: A clinicopathologic study of 22 cases. Hum Pathol 21:99-110, 1990.
10. Dalrymple JC, Bannatyne P, Russell P, et al: Extraovarian peritoneal serous papillary carcinoma: A clinicopathologic study of 31 cases. Cancer 64:110-115, 1989.
11. Bloss JD, Liao SY, Buller RE, et al: Extraovarian peritoneal serous papillary carcinoma: A case-control retrospective comparison to papillary adenocarcinoma of the ovary. Gynecol Oncol 50:347-351, 1993.
12. Kowalski LD, Kanbour AI, Price FV, et al: A case-matched comparison of extraovarian vs primary ovarian adenocarcinoma. Cancer 79:1587-1594, 1997.
13. Feuer GA, Shevchuk M, Calanog A: Normal-sized ovary carcinoma syndrome. Obstet Gynecol 73:786-792, 1989.
14. Fromm GL, Gershenson DM, Silva EG: Papillary serous carcinoma of the peritoneum. Obstet Gynecol 75:75-89, 1990.
15. Killackey MA, Davis AR: Papillary serous carcinoma of the peritoneal surface: Matched-case comparison with papillary serous ovarian carcinoma. Gynecol Oncol 51:171-174, 1993.
16. Ransom DT, Shreyaskmar RP, Keeney GL, et al: Papillary serous adenocarcinoma of the peritoneum. Cancer 66:1091-1094, 1990.
17. Lele SB, Piver MS, Matharu J, et al: Peritoneal papillary carcinoma. Gynecol Oncol 31:315-320, 1988.
18. Muto MG, Welch WR, Mok SCH, et al: Evidence for a multifocal origin of papillary serous carcinoma of the peritoneum. Cancer Res 55:490-492, 1995.
19. Eltabbakh GH, Piver MS, Natarajan N, et al: Epidemiological differences between women with extra-ovarian primary peritoneal carcinoma and women with epithelial ovarian cancer. Obstet Gynecol 91:254-259, 1998.
20. Rosenbloom MA, Foster RB: Probable pelvic mesothelioma: Report of a case and review of literature. Obstet Gynecol 18:213-222, 1961.
21. Parmley TH, Woodruff JD: The ovarian mesothelioma. Am J Obstet Gynecol 120:234-241, 1974.
22. Kannerstein M, Churg J, McCaughey WTE, et al: Papillary tumors of the peritoneum in women: Mesothelioma or papillary carcinoma. Am J Obstet Gynecol 127:306-314, 1977.
23. Kannerstein M, Churg J: Peritoneal mesothelioma. Hum Pathol 8:83-84, 1977.
24. Tsao SW, Mok SCH, Knapp RC, et al: Molecular genetic evidence of a unifocal origin for human serous ovarian carcinomas. Gynecol Oncol 48:5-10, 1993.
25. Kupryjanczyk J, Thor AD, Beauchamp R, et al: Ovarian, peritoneal, and endometrial serous carcinoma: Clonal origin of multifocal disease. Mod Pathol 9:166-173, 1996.
26. Miki Y, Swensen J, Shattuck-Eidens D, et al: A strong candidate for the breast and ovarian cancer susceptibility gene BRCA1. Science 266:66-71, 1994.
27. Shattuck-Eidens D, McClure M, Simrad J, et al: A collaborative survey of 80 mutations in the BRCA1 breast and ovarian cancer susceptibility gene. JAMA 273:535-541, 1995.
28. Bandera CA, Muto MG, Berkowitz RS, et al: Germline BRCA1 mutations in women with papillary serous carcinoma of the peritoneum (abstract). Gynecol Oncol 64:297, 1997.
29. White PF, Merino MJ, Barwick KW: Serous surface papillary carcinoma of the ovary: A clinical, pathological, ultrastructural and immunohistochemical study of 11 cases. Pathol Annu 20:403-418, 1995.
30. Piver MS, Eltabbakh GH. Hempling RE, et al: Two sequential studies for primary peritoneal carcinoma: Induction with weekly cisplatin followed by either cisplatin-doxorubicin-cyclophosphamide or paclitaxel-cisplatin. Gynecol Oncol 67:141-147, 1997.
31. Eltabbakh GH, Piver MS, Werness BA: Primary peritoneal adenocarcinoma metastatic to the brain. Gynecol Oncol 66:160-163, 1997.
32. Mills SE, Andersen WA, Fechner RE, et al: Serous surface papillary carcinoma: A clinicopathologic study of 10 cases and comparison with stage III-IV ovarian serous carcinoma. Am J Surg Pathol 12:827-834, 1988.
33. Cancer Committee of the International Federation of Gynecology and Obstetrics: Staging Announcement, FIGO Cancer Committee. Gynecol Oncol 25:383-385, 1986.
34. Resta L, Maiorano E, Zito FA, et al: Multifocal extraovarian serous carcinoma: A histochemical and immunohistochemical study. Eur J Gynecol Oncol 9:474-478, 1988.
35. Raju U, Fine G, Greenwald KA, et al: Primary papillary serous neoplasia of the peritoneum: A clinico-pathologic and ultrastructural study of eight cases. Hum Pathol 20:426-436, 1989.
36. Clark JE, Wood H, Jaffurs WJ, Fabro S: Endometrioid-type cystadenocarcinoma arising in the mesosalpinx. Obstet Gynecol 54:656-658, 1979.
37. Lee KR, Verma U, Belinson JL: Primary clear cell carcinoma of the peritoneum. Gynecol Oncol 41:259-262, 1991.
38. Banerjee R, Gough F: Cystic mucinous tumors of the mesentery and retroperitoneum: Report of three cases. Histopathology 12:527-532, 1988.
39. Hampton HL, Hufman HT, Meeks GR: Extraovarian Brenner tumors. Obstet Gynecol 79:844-846, 1992.
40. Mirc JL, Fenoglio-Preiser CM, Husseinzadeh N: Malignant mixed mullerian tumor of extraovarian secondary mullerian system: Report of two cases and review of the literature. Arch Pathol Lab Med 119:1044-1049, 1995.
41. Menzin AW, Aikins JK, Wheeler JE, et al: Surgically documented responses to paclitaxel and cisplatin in patients with primary peritoneal carcinoma. Gynecol Oncol 62:55-58, 1996.
42. Foyle A, Al Jabi M, McCaughey WTE: Papillary peritoneal tumors in women. Am J Surg Pathol 5:241-249, 1981.
43. Chen KTK, Flam MS: Peritoneal papillary serous carcinoma with long-term survival. Cancer 58:1371-1373, 1986.
44. Eltabbakh GH, Werness BA, Piver MS, et al: Prognostic factors in extra-ovarian primary peritoneal carcinoma (abstract). Gynecol Oncol 68:112, 1998.
45. Gilks CB, Bell DA, Scully RE: Serous psammocarcinoma of the ovary and peritoneum. Int J Gynecol Pathol 9:110-121, 1990.
Late Hepatic Recurrence From Granulosa Cell Tumor: A Case Report
Granulosa cell tumors exhibit late recurrence and rare hepatic metastasis, emphasizing the need for lifelong surveillance in affected patients.