A 74-year-old man with a medical history of hypertension, hyperlipidemia, and type 2 diabetes mellitus was found lying on the ground by his family and was brought to the emergency department, where he was found to have left facial drooping and weakness. What is the most likely diagnosis?
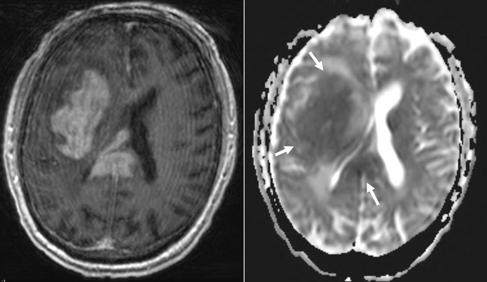
A 74-year-old, right-handed man with a medical history of hypertension, hyperlipidemia, and type 2 diabetes mellitus was found lying on the ground by his family and was brought to the emergency department, where he was found to have left facial drooping and weakness. On admission, a T1 post-contrast axial MRI and apparent diffusion coefficient diffusion-weighted imaging were performed.

Based on the images shown, what is the most likely diagnosis?