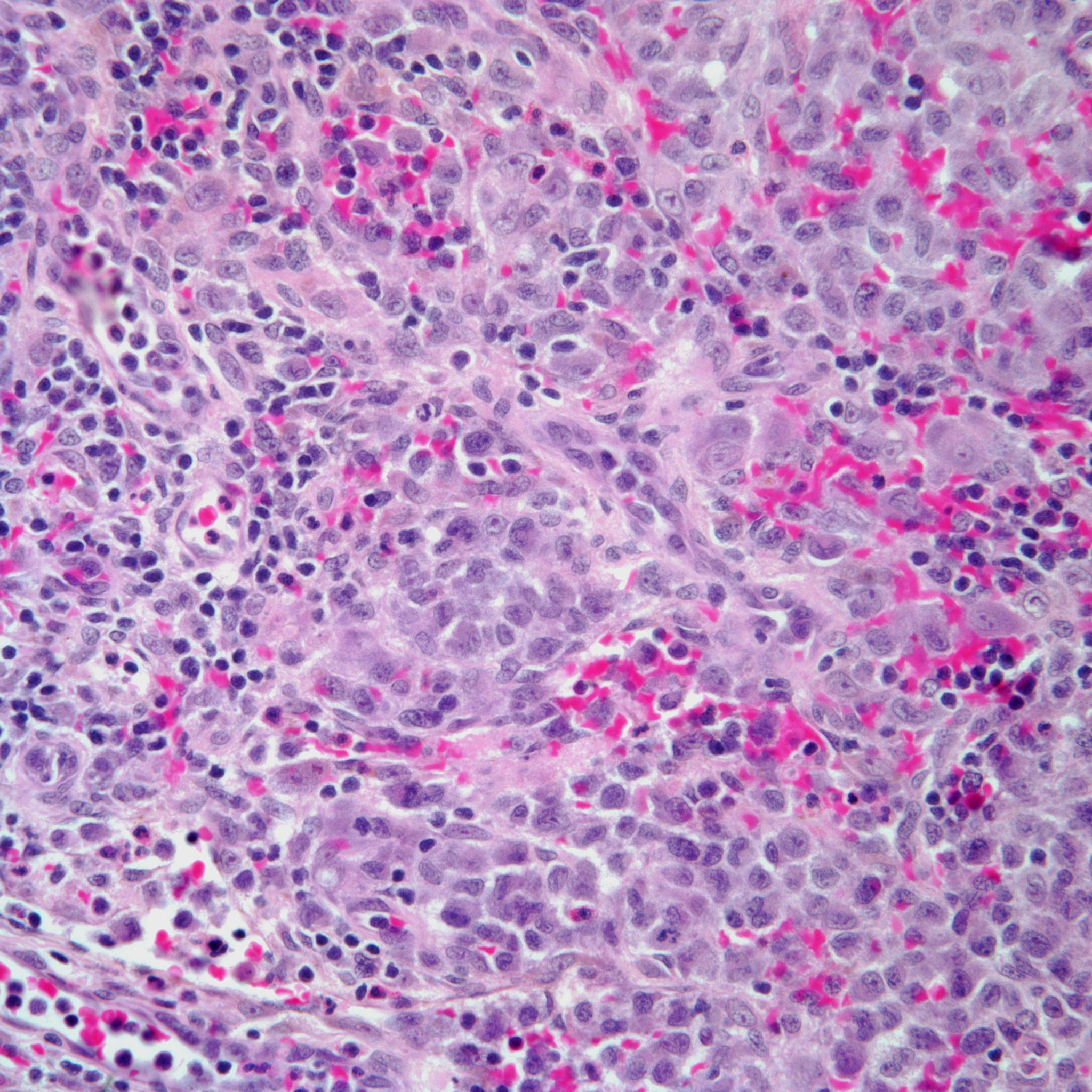
A 27-year-old woman presents with a right neck enlargement of a lymph node. She states that lately she has been fatigued, with a feeling of malaise. What is your diagnosis?
A 27-year-old woman presents with a right neck enlargement of a lymph node. She states that lately she has been fatigued, with a feeling of malaise. The lymph node is removed, and a biopsy is obtained.

Based on the image shown, what is your diagnosis?