A 52-year-old man presented to his primary care physician with several months of painless gross hematuria. The patient had recently emigrated from North Africa. He was referred to our urology clinic for further evaluation.
Oncology (Williston Park). 31(5):354-358, 380.

Figure 1. Cystoscopy Upon Patient Presentation

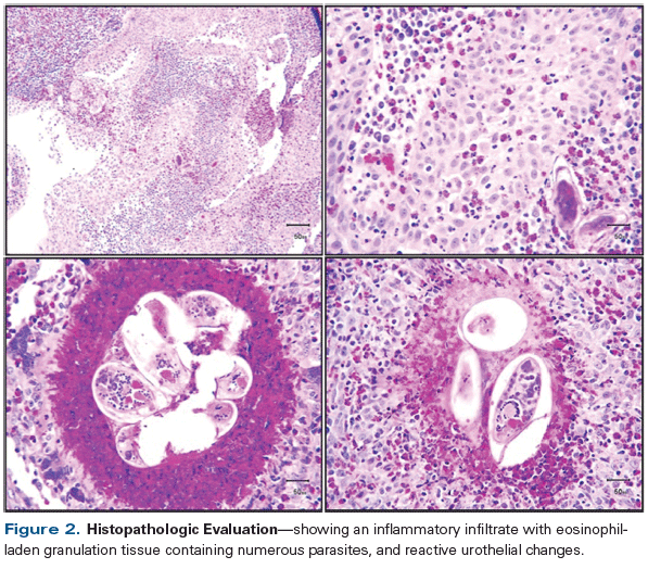
Figure 2. Histopathologic Evaluation

Figure 3. Cystoscopy Several Months After Treatment

A 52-year-old man presented to his primary care physician with several months of painless gross hematuria. The patient had recently emigrated from North Africa. He was referred to our urology clinic for further evaluation. He denied having any dysuria or lower urinary tract symptoms consistent with bladder outlet obstruction or benign prostatic hyperplasia-such as urinary frequency, urgency, hesitancy, straining, weakened urinary stream, or nocturia. Results of a physical examination were unremarkable, except for mild abdominal guarding of the hypogastria; digital rectal examination was normal. Urinalysis revealed microscopic hematuria. Renal function, as well as blood counts, were within normal limits. Upper urinary tract imaging with CT urography revealed no upper tract abnormalities in the kidneys or ureters bilaterally. Urine cytology was atypical. A flexible cystoscopy examination in the clinic showed several small ulcerative lesions and one large nodular lesion on the bladder mucosa (Figure 1).
The patient was taken to the operating room for rigid cystoscopy and transurethral resection of these suspicious bladder lesions. Several bladder resection chips were submitted for pathologic examination. Grossly, the specimens consisted of a friable, brown-black tissue. The microscopic examination by pathology showed intensely inflamed, eosinophil-laden granulation tissue heaps bearing numerous parasites with a lateral spur; reactive urothelial changes were prominent (Figure 2). The patient recovered well from his surgery after several days of Foley catheterization.
A. Observation
B. Praziquantel, 40 mg/kg bid × 1 day
C. Repeat cystoscopy and transurethral resection of the bladder
D. Intravesical Bacillus Calmette-Guérin (BCG) therapy
E. Cystectomy and urinary diversion
This is a case of Schistosoma haematobium infection mimicking urothelial carcinoma of the bladder. The differential diagnosis of nodular and/or ulcerative masses on cystoscopy, associated with gross or microscopic hematuria, includes interstitial cystitis, polypoid cystitis, cystitis cystica et glandularis, endometriosis, tuberculosis, schistosomiasis, Crohn disease or diverticulitis fistulizing to the bladder lumen, and bladder carcinoma.[1] Benign neoplastic and nonneoplastic disorders can cause either focal bladder masses or diffuse mural thickening and can mimic malignancy.[2] The mucosal lesions associated with such disorders can ulcerate and bleed within the bladder lumen.
Cross-sectional imaging of the abdomen and pelvis with CT or MRI is utilized first to investigate the possibility of tumors in the genitourinary system and then to provide appropriate pretreatment clinical staging.[3] In persons who present with hematuria, for example, renal cell carcinoma must be ruled out. Cystoscopy with visualization of the entire bladder lumen and resection of any mucosal abnormalities also remains a mainstay in the initial workup of hematuria.[3] Histologic diagnosis of any bladder lesions is essential for adequate treatment selection.
Among bladder carcinomas, about 95% of tumors are of epithelial origin, with the remainder being mesenchymal tumors.[4] Most epithelial tumors have a urothelial histology.[4] For superficial tumors, treatment consists of transurethral resection with or without adjuvant intravesical therapy; and for muscle-invasive tumors in the setting of clinically nonmetastatic disease, treatment consists of cytotoxic chemotherapy followed by radical cystectomy and urinary diversion.[5]
Schistosomiasis is a parasitic infection caused by parasitic trematode flatworms (schistosomes); when schistosomes reside in the perivesical venous plexus, they cause urinary schistosomiasis.[6] The disease is spread by direct contact with fresh water contaminated with the parasites released in a larval stage from infected freshwater snails.[6] Humans encounter the larvae of the Schistosoma parasite when they enter contaminated water while bathing, playing, swimming, washing, fishing, or simply walking through the water.[6] The disease is endemic in tropical countries in Africa, the Caribbean, eastern South America, Southeast Asia, and the Middle East; it mainly affects people living in rural agricultural and peri-urban areas.[7] In terms of socioeconomic and public health impact, schistosomiasis is second only to malaria among parasitic diseases.[8]
Schistosomiasis is also known as bilharzia or bilharziasis, after Theodor Bilharz, who first described the cause of urinary schistosomiasis in 1851.[9] It was a common cause of death among ancient Egyptians in the Greco-Roman Period.[8] The first doctor to describe the entire disease cycle was Pirajá da Silva,[9] who in 1908 documented that transmission occurs following a specific pattern: 1) infected persons release Schistosoma eggs into water via their feces or urine; 2) larvae then hatch from these eggs, and they infect a very specific type of freshwater snail; 3) within these snails, the larvae spend their time reproducing and developing; 4) the parasite then leaves the snail and enters the water source, where it can live in the water for only 48 hours without a human host; 5) once a human host has been found, the worm enters blood vessels; 6) for several weeks, the worm remains in the blood vessels, continuing its development into the adult phase; 7) when maturity is reached, mating occurs and eggs are again produced; 8) eggs enter the bladder or intestine of the human host and are excreted through the urine or feces and the process repeats itself; however, if the eggs do not get excreted, they can become enmeshed in human body tissues and cause a variety of problems, such as immune reactions and organ damage.[6]
Cases of schistosomiasis have been reported in the literature as presenting with hematuria and pseudotumoral mucosal lesions within the bladder lumen on cystoscopy.[10] Urinary tract disease is a specific trait of infection with Schistosoma haematobium, while gastrointestinal and liver disease are usually associated with Schistosoma mansoni and Schistosoma japonicum, respectively.[6] Hematuria is the first sign of established disease, appearing 10 to 12 weeks after infection.[11] Chronic disease is caused by granulomatous inflammation that occurs in response to the deposition of eggs in the tissue.[12] Dysuria and hematuria are common in both early- and late-stage disease.[12] The detection of schistosome eggs in feces or urine is diagnostic of schistosomiasis, but in some cases they are not detected.[6] Infection can also be confirmed by finding antibodies against the disease in the blood, and by the presence of eosinophiluria on microscopic histopathologic examination.[6]
Although infection with Schistosoma haematobium has been associated with development of precancerous lesions of the urinary bladder, including both papillary and nonpapillary bladder tumors,[13,14] repeat cystoscopy and transurethral resection of the bladder (Answer C) are not indicated in the setting of an acute infection with active parasites present. Schistosomiasis is also not treated like high-grade superficial urothelial carcinoma of the bladder (ie, with intravesical BCG therapy [Answer D]) or like muscle-invasive bladder cancer (ie, with cystectomy and urinary diversion [Answer E]). Untreated schistosomiasis can lead to significant patient morbidity. Long-term sequelae can include scarring of the liver, lungs, bladder, or intestines; anemia or malnutrition; learning difficulties; and seizures or inflammation in the spinal cord, resulting in paralysis.[6] Therefore, mere observation (Answer A) is not recommended.
After treatment with praziquantel, 40 mg/kg bid × 1 day, the standard dosage for first-line treatment of an acute schistosomal infection (Answer B),[15] the patient’s clinical condition improved and his hematuria resolved. Repeat cystoscopy a few months later showed complete disappearance of all bladder mucosal lesions (Figure 3).
This case suggests that in certain settings it would be wise to broaden the differential diagnoses of tumoral or ulcerative lesions within the urinary bladder. Schistosomiasis can mimic malignancy both clinically and on cystoscopy. Microscopic histopathologic examination, which often reveals eosinophiluria,[16] is fundamental to making the diagnosis and to ruling out malignancy. Urinary tract infection due to schistosomiasis is typically associated with Schistosoma haematobium, whose morphologic features are consistent with those revealed by the histopathologic examination in this case.
Financial Disclosure:The authors have no significant financial interest in or other relationship with the manufacturer of any product or provider of any service mentioned in this article.
If you have a case that you feel has particular educational value, illustrating important points in diagnosis or treatment, you may send the concept to Dr. Crawford at david.crawford@ucdenver.edu for consideration for a future installment of Clinical Quandaries.
1. Wesolowski S. A contribution to differential diagnosis of neoplasms of the bladder. J Urol. 1949;61:1034-6.
2. Wong-You-Cheong JJ, Woodward PJ, Manning MA, Davis CJ. From the archives of the AFIP: inflammatory and nonneoplastic bladder masses: radiologic-pathologic correlation. Radiographics. 2006;26:1847-68.
3. El-Hout Y, Wazzan W, Khauli RB, Houjaij A. The workup of microscopic and gross hematuria. J Med Liban. 2005;53:66-71.
4. Roy C, Merran S. [Imaging and pathology of bladder tumors]. J Radiol. 2002;83:843-59; discussion 61-2.
5. Clark PE, Spiess PE, Agarwal N, et al. NCCN Guidelines Insights: bladder cancer, version 2.2016. J Natl Compr Canc Netw. 2016;14:1213-24.
6. Ross AG, Bartley PB, Sleigh AC, et al. Schistosomiasis. N Engl J Med. 2002;346:1212-20.
7. Mangal TD, Paterson S, Fenton A. Predicting the impact of long-term temperature changes on the epidemiology and control of schistosomiasis: a mechanistic model. PLoS One. 2008;3:e1438.
8. Wright WH. A consideration of economic impact of schistosomiasis. Bull World Health Organ. 1972;47:559-65.
9. Sandbach FR. The history of schistosomiasis research and policy for its control. Med Hist. 1976;20:259-75.
10. Piarroux R, Garnier JM, Dumon H, et al. [Pseudo-tumoral form of urinary bilharziasis in a child]. Ann Pediatr (Paris). 1992;39:241-4.
11. Moudgil A, Kosut J. Urinary schistosomiasis: an uncommon cause of gross hematuria in the industrialized countries. Pediatr Nephrol. 2007;22:1225-7.
12. Samaras V, Rafailidis PI, Mourtzoukou EG, et al. Chronic bacterial and parasitic infections and cancer: a review. J Infect Dev Ctries. 2010;4:267-81.
13. Kuntz RE, Cheever AW, Bryan GT, et al. Natural history of papillary lesions of the urinary bladder in schistosomiasis. Cancer Res. 1978;38:3836-9.
14. Sabe I, Mangoud AM, Elalfy Y, et al. New concept of schistosomiasis lesions of urinary bladder versus development of bladder cancer. J Egypt Soc Parasitol. 2008;38:85-102.
15. Vale N, Gouveia MJ, Rinaldi G, et al. Praziquantel for schistosomiasis; single-drug metabolism revisited, mode of action, and resistance. Antimicrob Agents Chemother. 2017 Apr 24. [Epub ahead of print]
16. Eltoum IA, Suliaman SM, Ismail BM, et al. Evaluation of eosinophiluria in the diagnosis of schistosomiasis hematobium: a field-based study. Am J Trop Med Hyg. 1992;46:732-6.
Late Hepatic Recurrence From Granulosa Cell Tumor: A Case Report
Granulosa cell tumors exhibit late recurrence and rare hepatic metastasis, emphasizing the need for lifelong surveillance in affected patients.