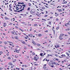
Correct histological classification of the tumor is only the first step in the modern diagnosis and treatment of the patient. Genomic pathology requires that one correlates the molecular profile with the structural phenotype. This is a case of human lobular breast cancer that is characterized by infiltration of dense connective tissue by cords of cells typically seen in single file.

The molecular profile should include (select best answer):