A 47-year-old woman undergoes a hysterectomy and a section of the endometrium is sent for analysis. What is your diagnosis?
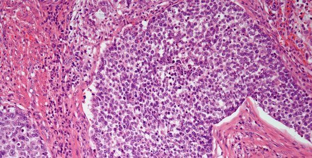
A 47-year-old woman undergoes a hysterectomy and a section of the endometrium is sent for analysis. According to the histopathology image below, what is your diagnosis?
.JPG?fit=crop&auto=format)
What is your diagnosis?