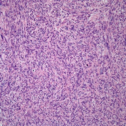
A 73-year-old man presents with a subcutaneous lesion in his right calf. Surgical resection is performed. What is your diagnosis?
A 73-year-old man presents with a subcutaneous lesion in his right calf. Surgical resection is performed.

Based on the image shown, what is your diagnosis?