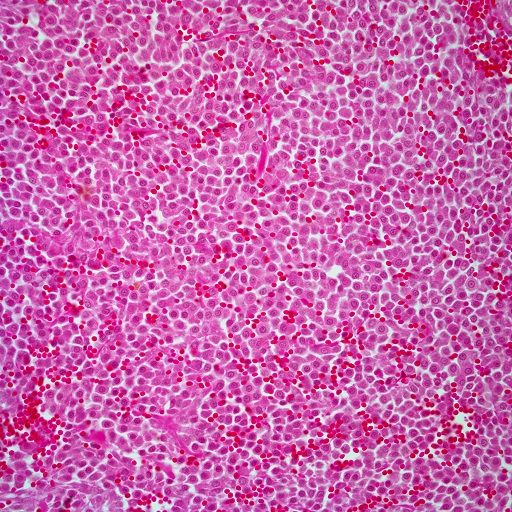
A 57-year-old man presents with vague gastrointestinal symptoms, general malaise, and fatigue. Physical exam reveals the presence of enlarged lymph nodes. What is your diagnosis?
A 57-year-old man presents with vague gastrointestinal symptoms, general malaise, and fatigue. Physical exam reveals the presence of enlarged lymph nodes, and a biopsy is performed.

Based on the image shown, what is your diagnosis?