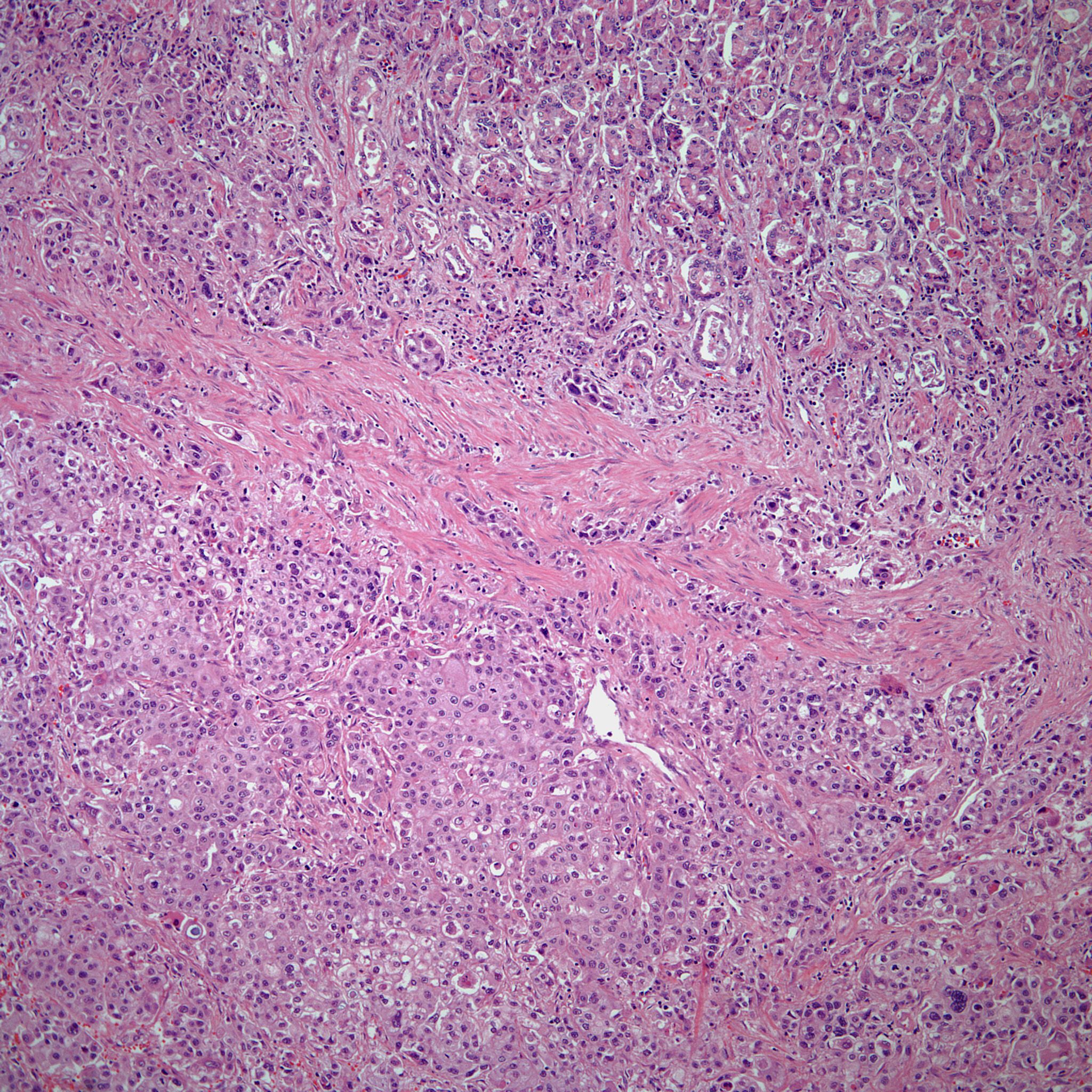
A 59-year-old man presents with abdominal pain. Diagnostic imaging reveals a gastric mass. What is your diagnosis?
A 59-year-old man presents with abdominal pain. Diagnostic imaging revealed the presence of a gastric mass.

Based on the image shown, what is your diagnosis?