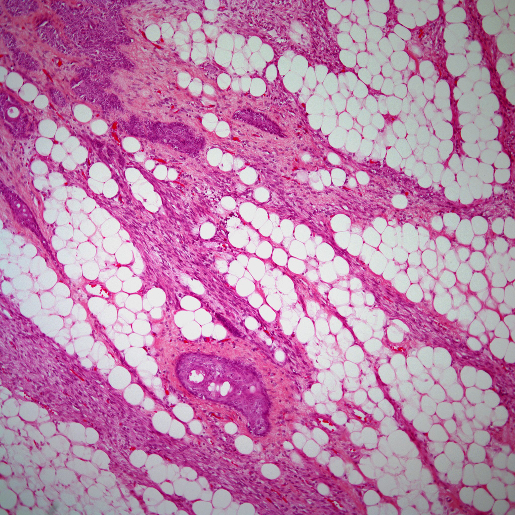
A 38-year-old man presents with a mass in the right size of the neck. The mass is not painful. What is your diagnosis?
A 38-year-old man presents with a mass in the right size of the neck. The mass is not painful.

Based on the image shown, what is your diagnosis?