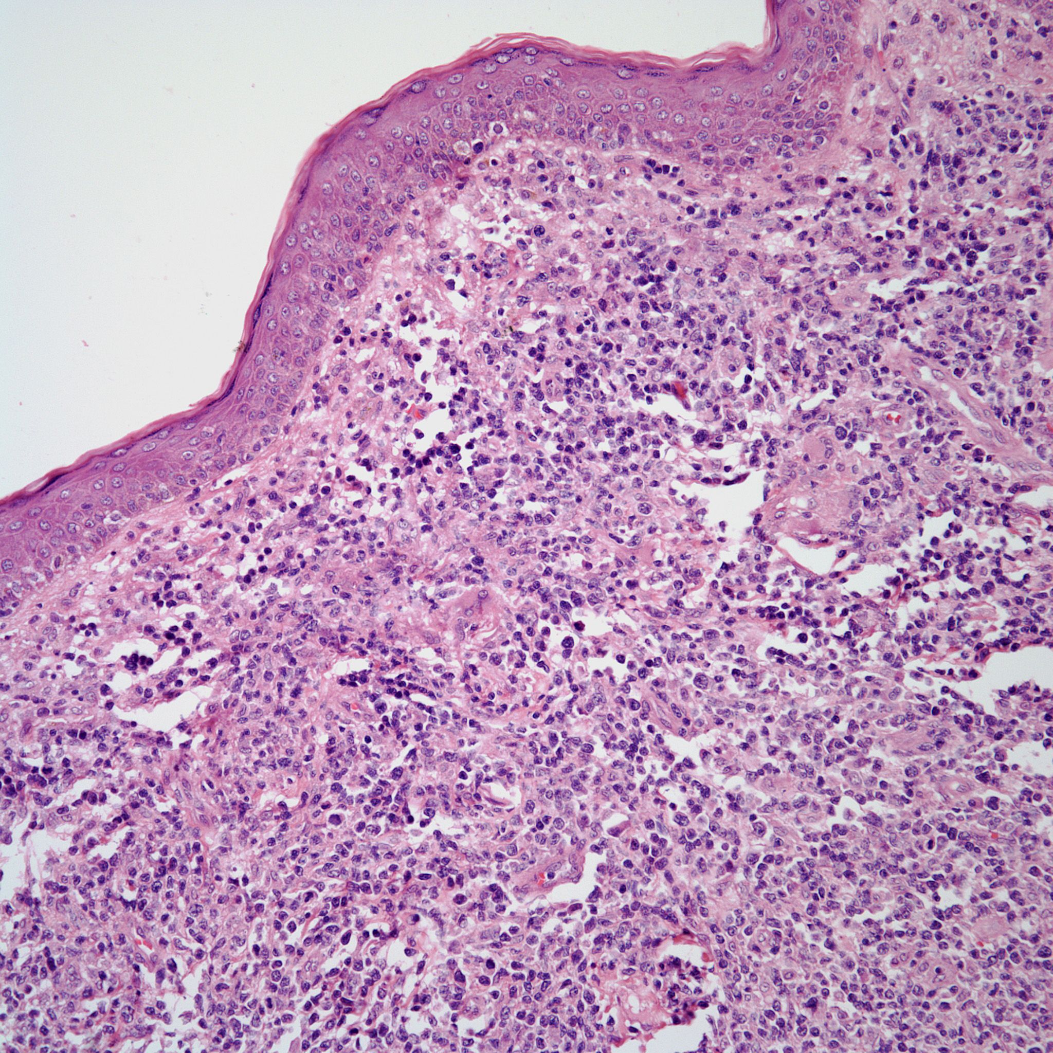
A 57-year-old man presents with a history of pruritic rashes that have persisted over the last 6 months. What is your diagnosis?
A 57-year-old man presents with a history of pruritic rashes over several areas of the body that have persisted over the last 6 months. Currently the patient has a nodule in the right side of the chest. A biopsy is obtained.

Based on the image shown, what is your diagnosis?