Initial treatment with FOLFOXIRI plus bevacizumab in metastatic colorectal cancer patients improved survival over FOLFIRI and bevacizumab by more than 4 months.
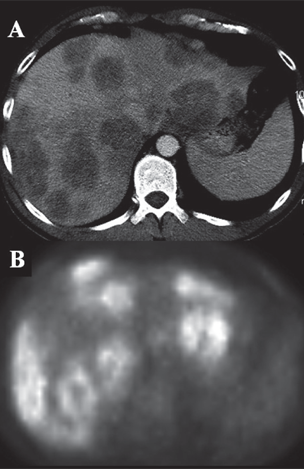
Patient with extensive hepatic colorectal metastases on CT (A) and FDG-PET (B)

Frontline treatment with FOLFOXIRI chemotherapy plus bevacizumab (Avastin) in patients with metastatic colorectal cancer improved survival over FOLFIRI chemotherapy with bevacizumab by 4 months. Median overall survival was 29.8 months in the FOLFOXIRI arm compared with 25.8 months in the FOLFIRI treatment group (P = .030).
The more intensive chemotherapy regimen also doubled the 5-year overall survival rate from 12.4% in the FOLFIRI treatment arm to 24.9% in the FOLFOXIRI treatment arm.
These updated results from the 508-patient phase III trial (TRIBE) were presented (abstract #657) at a pre-meeting press conference of the upcoming American Society of Clinical Oncology (ASCO) 2015 Gastrointestinal Cancers Symposium, to be held January 15–17 in San Francisco.
The benefit of the combination therapy increases with time, as shown by the 5-year overall survival rate, said study author Chiara Cremolini, MD, a medical oncologist at the Tuscan Tumor Institute in Pisa, Italy at the press conference. “The benefit was consistent for all subgroups analyzed.”
This study clearly demonstrates that FOLFOXIRI plus bevacizumab is a good option for those patients that can tolerate the regimen, said Smitha S. Krishnamurthi, MD, moderator of the press conference. “This is one of the most active regimens with an impressive 24.9% 5-year survival rate,” Krishnamurthi added.
A prior smaller phase III study, the Gruppo Oncologico Nord Ovest (GONO) trial showed that FOLFOXIRI alone improved overall survival compared with the less aggressive FOLFIRI chemotherapy regimen in the frontline metastatic colorectal cancer setting. The current trial confirms the improved efficacy of the FOLFOXIRI chemotherapy regimen compared with FOLFIRI.
The FOLFOXIRI regimen consists of folinic acid, fluorouracil, irinotecan, and oxaliplatin while the FOLFORI regimen consists of folinic acid, fluorouracil, and irinotecan.
The study randomized patients to 6 months of induction therapy for up to 12 cycles with either FOLFIRI plus bevacizumab or FOLFOXIRI plus bevacizumab. Patients then received maintenance bevacizumab with fluorouracil, a less intensive chemotherapy, until disease progression. Median follow-up time was 48.1 months.
Fifteen percent and 12% of patients underwent surgery after induction therapy in the FOLFOXIRI and FOLFIRI treatment arms, respectively.
The FOLFOXIRI regimen increased the risk of diarrhea as well as low blood cell count compared with the FOLFIRI regimen. But there were not a greater number of serious adverse events in the experimental treatment arm. According to the study authors, FOLFOXIRI is an intense chemotherapy regimen and should not be administered to those patients older than 75 or those between the ages of 70 and 75 who are not in good overall health.
The preliminary findings from the TRIBE trial, published in the New England Journal of Medicine after a 32.2-month median follow-up, showed that FOLFOXIRI plus bevacizumab significantly improved progression-free survival compared with the control arm.
A follow-up Italian phase III trial, TRIBE-2, will compare first-line FOLFOXIRI plus bevacizumab followed by re-induction with FOLFOXIRI plus bevacizumab at disease progression, or FOLFOX plus bevacizumab followed by FOLFIRI plus bevacizumab at disease progression. Other phase II trials are testing whether decreasing the length of chemotherapy from 6 to 4 months will influence efficacy outcomes.
The TRIBE trial was sponsored by the GONO and the ARCO Foundation with a research grant provided by Roche, the Switzerland-based pharmaceutical company.