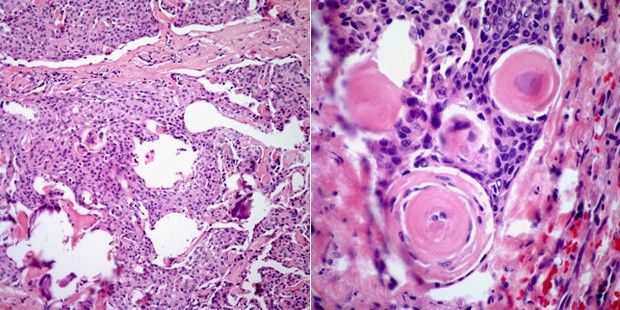
A 52-year-old woman presents with symptoms of neck pain and headache. Radiographic imaging showed the presence of an intracranial mass.
A 52-year-old woman presents with symptoms of neck pain and headache. Radiographic imaging showed the presence of an intracranial mass.

Your diagnosis is: