We present a case of intracystic papillary carcinoma of the breast associated with low-grade ductal carcinoma in situ in a young woman. This is a distinct subtype of intraductal carcinoma that typically presents in postmenopausal women with a favorable prognosis.
SECOND OPINION
Multidisciplinary Consultations on Challenging Cases
The University of Colorado Health Sciences Center holds weekly second opinion conferences focusing on cancer cases that represent most major cancer sites. Patients seen for second opinions are evaluated by an oncologist. Their history, pathology, and radiographs are reviewed during the multidisciplinary conference, and then specific recommendations are made. These cases are usually challenging, and these conferences provide an outstanding educational opportunity for staff, fellows, and residents in training.
The second opinion conferences include actual cases from genitourinary, lung, melanoma, breast, neurosurgery, and medical oncology. On an occasional basis, ONCOLOGY will publish the more interesting case discussions and the resultant recommendations. We would appreciate your feedback; please contact us at second.opinion@uchsc.edu.
E. David Crawford, MD
Al Barqawi, MD
Guest Editors
University of Colorado Health Sciences Center
Univeristy of Colorado Cancer Center Denver, Colorado
In this installment of Second Opinion we present a case of intracystic papillary carcinoma of the breast associated with low-grade ductal carcinoma in situ in a young woman. This is a distinct subtype of intraductal carcinoma that typically presents in postmenopausal women with a favorable prognosis. The differential diagnosis, diagnostic modalities and treatment implications are discussed.
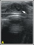
FIGURE 1A

Intracystic Papillary Carcinoma of the Breast-
Appearance of hypoechoic mass on ultrasound
(A)
. Fine-needle aspiration of intracystic papillary carcinoma (IPC) at 20x.FIGURE 1B

Intracystic Papillary Carcinoma of the Breast-
Appearance of hypoechoic mass on ultrasound
(B).
Fine-needle aspiration of intracystic papillary carcinoma (IPC) at 40x.
A 33-year-old premenopausal, nulliparous woman presented to Dr. Christina Finlayson (Surgery) in the breast clinic for evaluation of a palpable left breast mass. On physical exam, the breasts were noted to be symmetric with no obvious skin or nipple abnormalities. On palpation, a 1.5-cm irregular, mobile mass was detected at the 4-to-6 o'clock position in the left breast. On mammographic studies the left breast was found to be extremely dense with no evidence of malignancy. A recommendation for an ultrasound was made in order to evaluate the clinically palpable mass. The patient was subsequently referred for an ultrasound evaluation by Dr. Lara Hardesty (Radiology). The ultrasound demonstrated a hypoechoic area with a thin capsule and smooth border consistent with a solid mass measuring 1.9 X 1.3 X 0.9 cm (Figure 1A). Based on these results, the patient was referred to Dr. Meenakshi Singh (Pathology) for a fine-needle aspiration procedure (FNA) and to Dr. Finlayson for subsequent surgical excision.
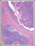
FIGURE 1C

Intracystic Papillary Carcinoma of the Breast-
Appearance of hypoechoic mass on ultrasound
(C).
Subgross appearance of the well circumscribed IPC on hematoxylin-and-eosin–stained slide.FIGURE 1D

Intracystic Papillary Carcinoma of the Breast-
Appearance of hypoechoic mass on ultrasound
(D).
IPC with fibrosed cyst wall and adjacent low-grade ductal carcinoma in situ at 20x.FIGURE 1E

Intracystic Papillary Carcinoma of the Breast-
Appearance of hypoechoic mass on ultrasound
(E).
Displaying low-grade monomorphic nuclei at 40x.
Dr. Mugler: What were the FNA findings?
Dr. Singh: On clinical exam, the mass was 1.5 cm and mobile with irregular contours. The aspirate smears were very cellular, with sheets and papillary configurations of overlapping epithelial cells and many detached single cells (Figure 1B), some with nuclear atypia, and many with intact cytoplasm. (Figure 1C). There were many macrophages in the background, suggesting a cystic component. Malignancy could not be excluded based on these findings, and an excisional biopsy was recommended.
Dr. Mugler: What were the gross findings of the excisional specimen?
Dr. Singh: A 2.3 X 1.3 X 1.2 cm ovoid piece of breast tissue was received that on serial sections showed a firm discrete, white surface. A cyst cavity was not appreciated.
Dr. Mugler: What were the histologic findings in the resection specimen?
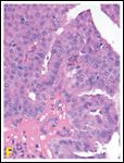
Dr. Singh: The hematoxylin-and-eosin stained sections showed a well circumscribed, 1.2-cm lesion (Figure 1D). This was composed of a dilated duct surrounded by a fibrosed wall (Figure 1E). Within this space was a solid type of a papillary neoplasm with fibrovascular cores devoid of a myoepithelial cell layer. These cores were lined by sheets of round to oval cells with distinct cell borders and monotonous, low-grade nuclei (Figures 1E, 1F). Mitoses were infrequent.
The cystic nature of the tumor was appreciated in multiple sections at the periphery of the lesion (Figure 1E). The lesion was diagnosed as an intracystic papillary carcinoma (IPC). In the fibrotic cyst wall, there were a few entrapped histologically normal glands (Figure 1G). This presented a pseudoinvasive picture, but no true invasion was identified. The surrounding ducts, however, were expanded by low-grade ductal carcinoma in situ (DCIS), as shown in Figure 1E. The IPC focally extended to the surgical margin, but the surrounding low-grade DCIS did not.
Dr. Mugler: What is intracystic papillary carcinoma?
FIGURE 1F

Intracystic Papillary Carcinoma of the Breast-
Appearance of hypoechoic mass on ultrasound
(F).
Entrapped benign glands within the fibrosed cyst wall of the IPC simulating invasion.FIGURE 1G

Intracystic Papillary Carcinoma of the Breast-
Appearance of hypoechoic mass on ultrasound
(G).
Fine-needle aspiration of a fibroadenoma at 40x (inset at 20x).
Dr. Singh: Papillary lesions in the breast encompass a spectrum of lesions that include benign papilloma, papillary variants of DCIS, and invasive papillary carcinoma.[1] IPC is a more recently recognized subtype of DCIS that has the structure of a papilloma with epithelium characterized by features sufficient for a diagnosis of carcinoma in situ.[1-4] It is essentially a localized form of intraductal papillary carcinoma that exists in a cystically dilated duct.[5] It may exist as an isolated focus, be associated with DCIS in the surrounding ducts in 40% of cases,[2,5] or show true invasion.
When invasive carcinoma arises in an encysted papillary carcinoma, it is almost always detected at the periphery of the tumor. This can have various growth patterns and is rarely papillary in architecture.[6-9] It is important, however, to note the difference between true invasion and pseudoinvasion. The latter finding is common and results from benign glandular tissue becoming entrapped in the fibrosis surrounding the cystically dilated duct, as was seen in this case.
On FNA, the aspirates are typically highly cellular with complex papillae and single-columnar cells.[1,10] Macrophages tend to be a constant feature.[10] Nuclear hyperchromasia, stratification, and background cell characteristics such as the lack of apocrine metaplasia and the presence of foamy macrophages may provide additional diagnostic clues that the lesion represents IPC. Some, however, believe that it is difficult, if not impossible, to distinguish between benign and malignant papillary lesions of the breast on FNA, as there are no reliable and consistent features that help distinguish between them.[10] Indeed, IPC often requires an excisional biopsy before a definite diagnosis can be rendered.[11-12]
Dr. Mugler: What is the differential diagnosis for a tumor with this appearance on FNA?
FIGURE 1H

Intracystic Papillary Carcinoma of the Breast-
Appearance of hypoechoic mass on ultrasound
(H).
Benign intraductal papilloma at 40x.
Dr. Singh: A fibroadenoma is in the differential diagnosis based on the cytology, clinical exam, and age of the patient. FNAs of fibroadenomas can also be very cellular but should show two distinct cell populations with both epithelial and myoepithelial cells, the former arranged in a classic "staghorn" configuration (Figure 1H). Naked oval nuclei are seen in the background. Fibroadenomas, although benign, can be problematic to diagnose on FNA specimens because of their abundant cellularity. In a review of 2,197 FNA specimens from the breast, fibroadenomas constituted the largest single cause of equivocal diagnoses.[12] In the same series, other lesions in the differential diagnosis of fibroadenomas included intracystic papillary carcinoma, solitary intraductal papillomas, and atypical ductal hyperplasia (ADH).[12]
In this case, the finding of detached single cells with intact cytoplasm was the most worrisome feature. The papillary configuration of cell clusters also raises the differential of a benign papilloma vs a malignant papillary lesion. Both can share features of high cellularity, discohesiveness, isolated epithelial cells with intact cytoplasm, columnar appearance of cells, relative absence of anisonucleosis, foamy macrophages, and a granular background.[12] Complicating this picture is the fact that intraductal papillomas may also harbor areas of atypical hyperplasia and DCIS,[8,9,13] and this distinction cannot be made on an FNA specimen.
FIGURE 1I

Intracystic Papillary Carcinoma of the Breast-
Appearance of hypoechoic mass on ultrasound
(I).
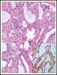
A p63 immunostain delineates myoepithelial cells (inset at 40x).
Features that may suggest a diagnosis of papillary carcinoma include a monomorphic cell population, mild to moderate pleomorphism, increased mitotic activity, and increased number of single cells with intact cytoplasm.[9,12] It has been suggested by some that the cytologic characteristics of papillomas and papillary carcinomas are indeed distinctive.[1] It has also been suggested that a needle core biopsy is a better diagnostic tool and can reliably distinguish between benign and malignant papillary lesions of the breast.[14] However, both these assertions have been questioned by others[9,10,12] on the basis of potential for sampling error in these sometimes heterogeneous lesions.
On histologic sections, benign intraductal papillomas are easily identified by the presence of benign epithelium covering fibrovascular stalks with an intervening myoepithelial layer (Figure 1I).[9,15] The myoepithelial layer is also usually retained in benign papillomas with partial involvement by ADH or DCIS.[9] In IPC and invasive carcinoma, however, the myoepithelial layer should not be present, and its absence can be confirmed with immunostains such as muscle-specific actin, p63, and calponin.[4] Since papillary carcinomas are usually low-grade carcinomas, cytologic atypia alone may not be a useful criteria to distinguish between papilloma and carcinoma (Figures 1I vs 1F).
Dr. Mugler: Are there size criteria or cytologic criteria that help distinguish atypical hyperplasia in a papilloma vs an intraductal carcinoma involving a papilloma? Why is this important?
Dr. Singh: Page et al report that atypical hyperplasia and DCIS within an intraductal papilloma cannot be distinguished by cytology examination, as they would be similar.[8] In their study, any area of uniform histology and cytology consistent with noncomedo DCIS extending more than 3 mm was considered to be DCIS, and any such lesion less than or equal to 3 mm was designated as atypical hyperplasia.[8] This distinction is important in terms of treatment and how the patients are followed.
Dr. Mugler: Are there any specific molecular findings in IPC that can aid in the diagnosis?
Dr. Singh: There is nothing pathognomonic known at the present time, but a recent study suggested that there are chromosome 16 mutations in the early steps of breast papillary tumorigenesis.[16] Di Cristofano et al recently looked at TP53 deletion and loss of heterozygosity at 16q23 as progression factors associated with malignant transformation of breast papillomas.[16]
Dr. Mugler: What are the clinical features and epidemiology of IPC?
Dr. Finlayson: IPCs tend to present as a larger tumor (average size: 5 cm) in older women (average age: 65.4 years).[5,10] They are palpable lesions and are not associated with pain but may present with nipple discharge-a symptom that is also common to benign, centrally located papillomas. In this case, the age of the patient is unusually young.
Dr. Mugler: What are the radiologic findings?
Dr. Hardesty: On mammography, IPC tends to present as a sharply circumscribed mass with an irregular and sometimes nodular contour, except in cases where the tumor invades the parenchyma and may display fuzzy borders.[17] In this case, mammography did not delineate the lesion, as the patient was young and had obscuring, dense breast tissue. Therefore, we recommended an ultrasound evaluation for this palpable mass.
The radiologic differential diagnosis of a large, circumscribed mass includes benign entities such as a cyst, fibroadenoma, papilloma, hematoma, infection, and abscess, as well as lesions that are potentially malignant such as a phyllodes tumors or malignant tumors such as invasive ductal carcinoma, medullary carcinoma, mucinous/colloid carcinoma, invasive and in situ papillary carcinoma, or metastatic disease.[6] In this case, biopsy was recommended based on the radiologic findings.
Dr. Marshall: What are the treatment options for patients diagnosed with intracystic papillary carcinoma of the breast?
Dr. Finlayson: It depends on the histologic findings. If it is a case of pure IPC, complete local resection or central duct excision without axillary dissection is the treatment of choice.[18] However, this will change depending on whether DCIS exists outside the main tumor mass or an invasive component is present. Most early researchers failed to distinguish between these different patient groups, and the overall impression was that IPC had an unfavorable prognosis and should be treated with radical mastectomy. In a recent review of 40 patients with IPC, some of whom presented with DCIS and some of whom presented with invasion, the incidence of recurrence of IPC did not differ between these three groups, regardless of the type of surgery (local excision or mastectomy with or without lymph node dissection) and whether radiation was administered.[11] This could be interpreted as evidence for the support of conservative surgical therapy.
This patient's IPC was estrogen receptor-positive in 100% of cells, progesterone receptor-positive in 15% of cells, and HER2/neu-negative by immunohistochemistry (HercepTest). Most IPCs are estrogen receptor- and progesterone receptor-positive, and therefore, drugs such as tamoxifen have a theoretical benefit as adjuvant therapy. The role of such adjuvant radiotherapy remains to be further defined. High nuclear grade of the tumor cells and the presence of necrosis do indicate tumors that are more likely to behave aggressively.[11] Adequate sampling of the initial biopsy is critical to identify these characteristics in the IPC lesion, as well as to determine the presence of invasion or separate foci of ductal carcinoma in situ.
There should always be an individual discussion with the patient regarding treatment options in light of the tumor histology and the presence of any additional lesions. In this case, the patient had additional low-grade ductal carcinoma in situ outside the main lesion, and she opted for a total mastectomy.
Dr. Marshall: What did the mastectomy specimen show?
Dr. Singh: The biopsy cavity from her prior procedure was easily seen, and the area surrounding this was firm. Histologically, there were two 2-mm foci of ADH. There was no residual carcinoma in situ. No lymph nodes were sampled.
Dr. Marshall: Do intracystic papillary carcinomas metastasize to lymph nodes, and when should a sentinel node biopsy be done?
Dr. Finlayson: Just as the additional pathology findings help determine the best surgical treatment, they also affect the decision to sample lymph nodes. In a study of 14 patients with IPC, 7 had an axillary dissection and none of those patients had lymph node involvement.[18] Another study also showed no nodal involvement in 11 IPC patients who had axillary dissections.[19] It is rare even for invasive papillary carcinoma of the breast to be associated with lymph node metastases (< 1% of cases). However, tumors with a high histologic grade and large surface area are more likely to metastasize to lymph nodes or recur locally.[5,9]
The low frequency of axillary nodal involvement in IPC does not justify axillary dissection, and sentinel node dissection is an excellent alternative. Remember, however, that patients with pure low-grade IPC and no concurrent ductal carcinoma in situ or invasion can be treated with lumpectomy alone.[11] If after adequate sampling the lesion has distinctly separate areas of ductal carcinoma in situ or evidence of invasion, then it is prudent to perform a sentinel node dissection. If that shows metastatic carcinoma, an axillary node dissection may then be performed.
Dr. Marshall: What is the prognosis for these tumors, how are they followed up, and what factors influence prognosis?
Dr. Finlayson: IPC is generally a low-grade carcinoma with an overall excellent prognosis. In one study of 77 patients, the 5- and 10-year survival rates were both 100% and the 5- and 10-year disease-free survival rates were 96% and 91%, respectively.[2] There have been reports of patients developing systemic metastases 4 or 5 years after their initial surgery, and this is similar to the tendency for "late recurrences" that is seen in patients with another good-prognosis type of breast cancer-mucinous carcinoma.
Patients with papillary carcinoma have an increased 15-year survival rate compared to patients with breast carcinoma of no special type, and there have been no reports of disease-related deaths for patients with pure IPC.[4] Moreover, no increased risk of disease in the contralateral breast has been reported for patients with IPC. If there is DCIS outside the main lesion or associated invasive carcinoma, then there is an increased risk for local recurrence and metastases, but the prognosis is still very good. A study that followed 40 patients with pure IPC, IPC with DCIS, or IPC with invasion revealed disease-free survival rates of 85% and 77% at 5 and 10 years, respectively, and a disease-specific survival rate of 100%.[11]
In the current case, the patient had IPC with low-grade DCIS in the surrounding ducts. While she has little if any risk of dying from this disease, since she is young, she does have some risk for recurrence. Consequently, she will undergo regular follow-up with breast exams and mammography of her contralateral breast.
Financial Disclosure:The authors have no significant financial interest or other relationship with the manufacturers of any products or providers of any service mentioned in this article.
1. Dawson AE, Mulford DK: Benign versus malignant papillary lesions of the breast: Diagnostic clues in fine needle aspiration cytology. Acta Cytol 38:23-28, 1994.
2. Lefkowitz M, Lefkowitz W, Wargotz ES: Intraductal (intracystic) papillary carcinoma of the breast and its variants: A clinicopathologic study of 77 cases. Hum Pathol 25:802-809,1994.
3. Carter D, Orr SL, Merino MJ: Intracystic papillary carcinoma of the breast. After mastectomy, radiotherapy or excisional biopsy alone. Cancer 52:14-19, 1983.
4. Tavassoli FA, Devilee P: World Health Organization Classification of Tumours: Tumours of the Breast and Female Genital Organs, pp 78-80. Lyon, France; IARC Press; 2003.
5. Leal C, Costa I, Fonesca D, et al: Intracystic (encysted) papillary carcinoma of the breast: A clinical, pathological and immunohistochemical study. Hum Pathol 29:1097-1104, 1998.
6. Liberman L, Feng TL, Susnik B: Case 35: Intracystic papillary carcinoma with invasion. Radiology 219:781-784, 2001.
7. Zhang C, Zhang P, Hao J, et al: High nuclear grade, frequent mitotic activity, cyclin D1 and p53 overexpression are associated with stromal invasion in mammary intracystic papillary carcinoma. Breast J 11:2-8, 2005.
8. Page DL, Salhany KE, Jensen RA, et al: Subsequent breast carcinoma risk after biopsy with atypia in a breast papilloma. Cancer 78:258-266, 1996.
9. Putti TC, Pinder SE, Elston CW, et al: Breast pathology practice: Most common problems in a consultation service. Histopathology 47:445-457, 2005.
10. Jeffrey PB, Ljung BM: Benign and malignant papillary lesions of the breast: A cytomorphologic study. Am J Clin Pathol 101:500-507, 1992.
11. Solorzano CC, Middleton LP, Hunt KK, et al: Treatment and outcome of patients with intracystic papillary carcinoma of the breast. Am J Surg 184:364-368, 2002.
12. al-Kaisi N: The spectrum of the 'gray zone' in breast cytology. A review of 186 cases of atypical and suspicious cytology. Acta Cytol 38:898-908, 1994.
13. MacGrogan G, Tavassoli FA: Central atypical papillomas of the breast: A clinicopathologic study of 119 cases. Virchows Arch 443:609-617, 2003.
14. Carder PJ, Garvican J, Haigh I, et al: Needle core biopsy can reliably distinguish between benign and malignant papillary lesions of the breast. Histopathology 46:320-327, 2005.
15. Hill CB, Yeh IT: Myoepithelial cell staining patterns of papillary breast lesions. Am J Clin Pathol 123:36-44, 2005.
16. Di Cristofano C, Mrad K, Zavaglia K, et al: Papillary lesions of the breast: A molecular progression. Breast Cancer Res Treat 90:71-76, 2005.
17. Markopoulos C, Kouskos E, Gogas H, et al: Diagnosis and treatment of intracystic breast carcinomas. Am J Surg 68:783-786, 2002.
18. Harris KP, Faliakou EC, Exon DJ, et al: Treatment and outcome of intracystic papillary carcinoma of the breast. Br J Surg 86:1274-1275, 1999.
19. Rosen PP: Papillary carcinoma, in Rosen's Breast Pathology, pp 335-354. Philadelphia; Lippincott Williams & Wilkins; 1997.
Late Hepatic Recurrence From Granulosa Cell Tumor: A Case Report
Granulosa cell tumors exhibit late recurrence and rare hepatic metastasis, emphasizing the need for lifelong surveillance in affected patients.