A 53-year-old man presents with a large hepatic mass. After further evaluation, a biopsy is performed. What is your diagnosis?
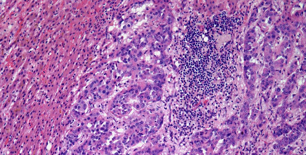
A 53-year-old man presents with a large hepatic mass. According to the histopathology image below, what is your diagnosis?
.PNG?fit=crop&auto=format)
What is your diagnosis?