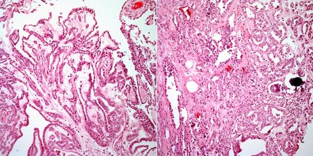
A 48-year-old woman presents with history of hematuria and abdominal pain spanning several days. The patient does not have any previous tumor history. Radiological evaluation revealed the presence of a large mass in the upper pole of the right kidney. Right nephrectomy was performed.

What is your diagnosis?