A 35-year-old African-American man was referred to our urology clinic by his primary care physician for consultation about a large left scrotal mass. The patient reported a 3-month history of left scrotal swelling that had progressively increased in size and was associated with mild left scrotal pain.
Oncology (Williston Park). 31(9):676–679.

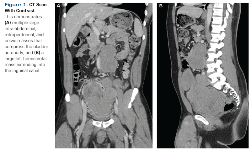
Figure 1. CT Scan With Contrast

Figure 2. Histopathologic Evaluation

A 35-year-old African-American man was referred to our urology clinic by his primary care physician for consultation about a large left scrotal mass. The patient reported a 3-month history of left scrotal swelling that had progressively increased in size and was associated with mild left scrotal pain. He also had complaints of mild constipation, with hard stools every other day. He denied any urinary complaints. On physical examination, a hard paratesticular mass could be palpated in the left hemiscrotum extending into the left groin, separate from the left testicle, and measuring approximately 10 × 7 cm in size. A hard, lower abdominal mass in the suprapubic region could also be palpated in the midline. The patient was admitted urgently to the hospital for further evaluation with cross-sectional imaging and blood work.
Laboratory results, including results of a complete blood cell count with differential, liver function tests, coagulation panel, and basic chemistry panel, were unremarkable except for a serum creatinine level of 2.6 mg/dL. Typical markers for a testicular germ cell tumor were within normal limits: the beta–human chorionic gonadotropin level was less than 1 mIU/mL and the alpha fetoprotein level was less than 2.8 ng/mL. A CT scan of the chest, abdomen, and pelvis with intravenous contrast was obtained, and it showed large multifocal intra-abdominal, retroperitoneal, and pelvic masses (Figure 1). On cross-sectional imaging, a 7.8-cm para-aortic mass was visualized compressing the proximal portion of the left ureter, creating moderate left hydroureteronephrosis. Additionally, three separate pelvic masses were present in the retrovesical space, each measuring approximately 5 to 10 cm at their largest diameter; these displaced the bladder anteriorly and the rectum posteriorly.
The patient underwent ultrasound-guided needle biopsy of one of the pelvic masses on hospital day 3 for definitive diagnosis. Microscopic examination of the tissue by our pathologist revealed cellular islands with oval to elongated, irregular, and hyperchromatic nuclei; scant cytoplasm; and invading fibrous tissue-as well as three mitoses per high-powered field (Figure 2). Immunohistochemical staining demonstrated strong positivity for cytokeratin AE1/AE3, vimentin, and desmin. Further mutational analysis of the cells detected the presence of an EWS-WT1 fusion transcript consistent with a diagnosis of desmoplastic small round cell tumor.
Which of the following treatment strategies has demonstrated the best chance for both optimal progression-free survival and optimal overall survival?
A. Surgical resection alone
B. Surgical resection with chemotherapy and radiation
C. Chemotherapy alone
D. Chemotherapy and radiation alone
E. Radiation alone
Desmoplastic small round cell tumor is a rare malignancy first described and characterized by Gerald and Rosai in 1989.[1] Desmoplastic small round cell tumor is diagnosed by the finding on genetic analysis of a translocation between chromosomes 11 and 22, termed “t(11;22)(p13;q12),” which encodes for the EWS-WT1 active fusion protein that is pathognomonic for desmoplastic small round cell tumor, distinguishing it from other small round cell tumors.[1] It is hypothesized that this chimeric protein may play a role in the oncogenesis and pathogenesis of desmoplastic small round cell tumor.[2,3]
Given that this is a rare disorder, the differential diagnosis, based on the patient’s clinical presentation, would also include metastatic testicular germ cell tumor, lymphoma, other types of sarcoma, and metastasis from another malignancy (eg, prostate, bladder, lung, etc). Percutaneous or surgical biopsy is necessary for definitive diagnosis. Risk of possible tumor seeding or tumor tracking with percutaneous or open biopsy has never been reported, and, therefore, is considered extremely unlikely.[4] Histopathologic examination of these tumors reveals sheets of small blue cells with minimal cytoplasm nested within intervening bands of fibrous stroma.[3] On immunohistochemical staining, this soft-tissue sarcoma is generally positive for epithelial, muscle, and neural biomarkers such as cytokeratin, desmin, vimentin, epithelial membrane antigen, and S100.[3,4] Another classic characteristic of desmoplastic small round cell tumor is the dot-like configuration of desmin staining within the cytoplasm of tumor cells, which corresponds to eosinophilic inclusion bodies.[3,5]
Desmoplastic small round cell tumor has a higher incidence in men than in women, and the average age at the time of diagnosis is 22 years, but it can be anywhere from 6 to 49 years.[3] Patients generally present with large multifocal intra-abdominal, retroperitoneal, and pelvic tumors, often with antecedent constipation, ascites, or abdominal distention, and/or palpable masses on physical examination.[1,3,5] Desmoplastic small round cell tumor has been known to involve intra-abdominal serosal surfaces, with many reports of peritoneal surfaces studded with confluent sheets of tumor implants found at the time of surgical resection or on cross-sectional imaging.[3,4] It has been hypothesized that desmoplastic small round cell tumor’s predilection for serosal surfaces may be due to its primitive nature and histogenetic relationship to mesothelium.[5,6] Thus, diffuse peritoneal metastasis is common, and there are some reports of pleural and tunica vaginalis involvement.[7-9] Liver, skeletal, splenic, and distant lymph node involvement have also been described.[10] Isolated paratesticular desmoplastic small round cell tumors involving the epididymis and paratesticular soft tissue-with solitary involvement of these sites-have also been reported.[6,7] These cases, however, remain the exception rather than the rule.
Due to the diffuse and widely disseminated disease found on presentation in most patients with desmoplastic small round cell tumor, resection alone (Answer A) is not adequate for disease control.[4] Chemotherapy alone (Answer C) often leads to temporary remission of the disease during treatment, but relapse is likely to occur shortly after completion of the chemotherapy.[4,9] Thus, multimodal therapy that includes surgical resection, chemotherapy, and radiation treatment (Answer B) has remained the mainstay of the management strategy for desmoplastic small round cell tumor.[4,10,11] Referral to tertiary care centers or centers of excellence with access to novel clinical trials is also of paramount importance to ensure the best long-term outcomes.
Kushner et al reported an improved progression-free survival using 7 courses of a high-dose, aggressive, alkylating agent–based regimen-cyclophosphamide, doxorubicin, and vincristine (HD-CAV) alternated with ifosfamide and etoposide (IE)-which they termed the “P6 protocol.”[10] The authors reported progression-free survival ranging from 9 to 38 months in patients who demonstrated a complete response to the P6 protocol, in combination with tumor resection and consolidative radiation therapy.[10] Similarly, in a study by Lal et al, multimodal therapy with the P6 protocol, resection of at least 90% of visible tumor, and abdominopelvic radiation achieved higher overall survival compared with a treatment regimen involving only one or two of the three modalities alone (Answers A, C, D, and E).[11]
Myeloablative chemotherapy with stem cell rescue using autologous bone marrow transplantation or peripheral stem cells has been used in patients with good response to chemotherapy, surgical debulking, and radiation, with a favorable and durable response.[10,11] Despite aggressive multimodal therapy, however, the prognosis of patients with desmoplastic small round cell tumor remains dismal, with the 3-year and 5-year overall survival rates reported to be 44% and 15%, respectively.[11] Patients who are unable to undergo surgical resection with debulking have, unfortunately, been reported to have a 3-year overall survival rate of 0%.[11]
After desmoplastic small round cell tumor was diagnosed, the patient underwent successful insertion of a left nephrostomy tube and antegrade stent placement, with interventional radiology for decompression of the obstructed left renal collecting system; this resulted in improvement of the patient’s creatinine level to 1.3 mg/dL, with an estimated glomerular filtration rate of 76 mL/min/1.73 m2. Medical oncology was subsequently consulted, and the patient was started on HD-CAV chemotherapy. After 4 cycles of HD-CAV, repeat cross-sectional CT imaging of the abdomen and pelvis revealed a greater than 60% decrease in the size of the pelvic tumors, while the scrotal and retroperitoneal masses were unchanged. The patient was then started on 6 cycles of IE, for a total of 10 cycles of HD-CAV/IE.
After completion of chemotherapy, repeat cross-sectional CT imaging of the abdomen and pelvis showed a further 30% reduction in the size of the retroperitoneal, left hemiscrotal, and pelvic tumors that compared with the scans obtained previously. One month after completion of chemotherapy, the patient underwent planned exploratory laparotomy; left orchiectomy with resection of a hernia sac containing tumor; excision of omental implants; and tumor debulking with resection of the retroperitoneal and pelvic tumors, with extensive dissection. After an unremarkable postoperative course, he was then treated with consolidative radiation therapy to the entire abdomen and pelvis 2 months after surgery.
Currently, at 19 months after the original diagnosis, the patient is doing well. Medical oncology may consider further myeloablative chemotherapy with stem cell rescue using autologous bone marrow transplantation if any biopsy-proven recurrence should develop on future surveillance imaging.
Financial Disclosure:The authors have no significant financial interest in or other relationship with the manufacturer of any product or provider of any service mentioned in this article.
If you have a case that you feel has particular educational value, illustrating important points in diagnosis or treatment, you may send the concept to Dr. Crawford at david.crawford@ucdenver.edu for consideration for a future installment of Clinical Quandaries.
1. Gerald WL, Rosai J. Case 2. Desmoplastic small cell tumor with divergent differentiation. Pediatr Pathol. 1989;9:177-83.
2. Ladanyi M, Gerald W. Fusion of the EWS and WT1 genes in the desmoplastic small round cell tumor. Cancer Res. 1994;54:2837-40.
3. Gerald WL, Ladanyi M, de Alava E, et al. Clinical, pathologic, and molecular spectrum of tumors associated with t(11;22)(p13;q12): desmoplastic small round-cell tumor and its variants. J Clin Oncol. 1998;16:3028-36.
4. Hayes-Jordan A, LaQuaglia MP, Modak S. Management of desmoplastic small round cell tumor. Semin Pediatr Surg. 2016;25:299-304.
5. Gerald WL, Miller HK, Battifora H, et al. Intra-abdominal desmoplastic small round-cell tumor: report of 19 cases of a distinctive type of high-grade polyphenotypic malignancy affecting young individuals. Am J Surg Pathol. 1991;15:499-513.
6. Garcia-Gonzalez J, Villanueva C, Fernandez-Acenero MJ, Paniagua P. Paratesticular desmoplastic small round cell tumor: case report. Urol Oncol. 2005;23:132-4.
7. Roganovich J, Bisogno G, Cecchetto G, et al. Paratesticular desmoplastic small round cell tumor: case report and review of the literature. J Surg Oncol. 1999;71:269-72.
8. Parkash V, Gerald WL, Parma A, et al. Desmoplastic small round cell tumor of the pleura. Am J Surg Pathol. 1995;19:659-65.
9. Layfield LJ, Lenarsky C. Desmoplastic small cell tumors of the peritoneum coexpressing mesenchymal and epithelial markers. Am J Clin Pathol. 1991;96:536-43.
10. Kushner BH, LaQuaglia MP, Wollner N, et al. Desmoplastic small round-cell tumor: prolonged progression-free survival with aggressive multimodality therapy. J Clin Oncol. 1996;14:1526-31.
11. Lal DR, Su WT, Wolden SL, et al. Results of multimodal treatment for desmoplastic small round cell tumors. J Pediatr Surg. 2005;40:251-5.
Late Hepatic Recurrence From Granulosa Cell Tumor: A Case Report
Granulosa cell tumors exhibit late recurrence and rare hepatic metastasis, emphasizing the need for lifelong surveillance in affected patients.