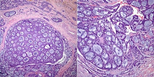
A 46-year-old man presented with a history of dyspnea and pain of several days duration. The patient does not disclose any pertinent history and has been well otherwise. Radiographic evaluation revealed the presence of a laryngeal mass. Surgical resection was performed.

What is your diagnosis?