A 35-year-old woman was found to have a 4 cm nodule in the liver. After a biopsy is performed, what is your diagnosis?
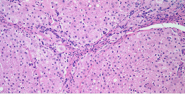
A 35-year-old woman was found to have a 4 cm nodule in the liver. According to the histology slide below, what is your diagnosis?
.PNG?fit=crop&auto=format)
What is your diagnosis?