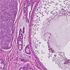
A 38-year-old female (para 3, gravida 3), complains of persistent bilateral mammary gland pain associated with a "lumpy" feeling when she does a self-examination. She carries a family history of breast cancer in both her mother and older sister. A biopsy revealed the following image. Click here to see the whole slide image.

The most likely diagnosis is: