A 60-year-old man presented with lower limb claudication and a painful mass on his left buttock. Physical examination revealed a firm round mass, fixed to deep planes. A biopsy was performed and revealed a chordoma.
Oncology (Williston Park). 30(2):180–186.

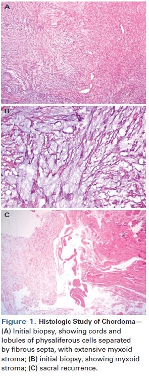
Figure 1. Histologic Study of Chordoma

Figure 2. Magnetic Resonance Imaging of Sacral Chordoma

Figure 3. Radiographic and Clinical Images of Metastatic Chordoma

Table. Potential Targets in Chordoma

Figure 4.

A 60-year-old man presented with lower limb claudication and a painful mass on his left buttock. Physical examination revealed a firm round mass, fixed to deep planes. A biopsy was performed and revealed a chordoma (cytokeratin+, EMA+, S100+, actin−; Figure 1A & 1B). He was treated with radiation therapy to the sacral region (60 Gy) and achieved a partial response.
He was lost to follow-up. Six years later, he presented with a 2-cm mass in his left buttock; magnetic resonance imaging (MRI) showed progressive disease of the sacral lesion (Figure 2). He underwent a radical sacrectomy. The pathology revealed a 12 × 7-cm chordoma with infiltration to the sacrum and positive surgical margins (Figure 1C). He received a second course of radiation therapy. Two years later, he had an acute spinal cord compression (at T6–T8, with sensory loss). MRI showed a metastatic lesion on the spinal process and pedicle of the T4 vertebra (Figure 3A). He received palliative radiation to the thoracic spine and laminectomy of T3–T4, with T5 nerve root resection. The pathology examination confirmed the presence of metastatic chordoma.
One year later, the patient presented with the chief complaint of pain on his left thigh. MRI showed a localized 25-cm tumor on the vastus lateralis muscle (Figure 3B). He was treated with surgical resection and adjuvant radiation therapy. Later that year, he experienced disease progression. It was decided to order immunohistochemistry studies to clarify his treatment options.
A. Platelet-derived growth factor receptor β (PDGFRβ)
B. Epidermal growth factor receptor (EGFR)
C. Phosphatase and tensin homolog (PTEN)
D. Mammalian target of rapamycin (mTOR)
Chordomas are rare neoplasms with an overall incidence of 0.08 per 100,000. They originate from remnants of the embryonic notochord and present almost exclusively in the axial skeleton.[1,2] Chordomas tend to occur more frequently in the sacrum (50% to 60% of cases), followed by the base of the skull region (25% to 35%), the cervical vertebrae (10%), and the thoracolumbar spine (5%).[3] They are locally destructive tumors with a slow growth rate and are characterized by multiple recurrences and late onset of metastatic disease. Metastatic disease is seen on presentation in 5% of patients, but during follow-up it can appear in up to 65%.[4-6] Sites of metastases include the lungs, lymph nodes, liver, bone, skin, brain, skeletal muscle, spleen, and peritoneum.[7] Median survival at 5 years is 70%. However, after the development of metastases, the median survival is less than 12 months.[8]
Surgery is the cornerstone of treatment. Local control is best achieved via en bloc resection of the tumor with safe margins. However, this may require extensive nerve root and ligamentous excision, leading to neurologic impairment, sexual dysfunction, and bowel and urinary incontinence. The expected local failure rate after complete resection is greater than 50%.[4] Radiation as primary treatment can be considered in patients with nonresectable disease or who are unfit for surgery.
There is no standard treatment for metastatic chordoma. As in sarcomas, reports of long-term survival achieved after successful resection of oligometastases has provided support for the practice of considering metastasectomy in patients with limited disease.[9,10] Chemotherapy plays no role in the treatment of these tumors because they are considered chemoresistant.[11,12] Chordomas are relatively radioresistant, requiring high doses of radiation to achieve control. High-dose radiotherapy may be indicated for recurrent disease, although responses are typically poor; thus, radiotherapy is generally used only postoperatively after incomplete surgical resection, as adjuvant treatment, or for pain palliation.[8,13,14]
Because of chordoma’s chemoresistance, systemic treatment has focused on other strategies, such as molecular targeted therapy. Potential targets in the treatment of advanced chordoma are summarized in the Table. Protein tyrosine kinases (TKs) mediate phosphorylation of tyrosine residues and play a crucial role in cancer development; mutations in the related genes and overexpression of some of these TKs (eg, PDGFRβ, EGFR, c-MET, human epidermal growth factor receptor 2 [HER2]) are attractive targets for therapeutic intervention.
PDGFRβ. This receptor TK displays oncogenic properties when hyperactivated; it is able to initiate cell proliferation and growth via the phosphatidylinositol 3-kinase (PI3K)/Akt, Ras/ERK, and signal transducer and activator of transcription (STAT) pathways. Most chordomas (about 70% to 75%) overexpress PDGFRβ, although no mutations have been identified to date.[14,15] Imatinib mesylate is an inhibitor of some TKs, and was tested in patients with advanced chordoma that overexpressed PDGFRβ. Investigators have observed diverse radiologic responses to imatinib (including on computed tomography [CT]); these have included decreased cellular density, less contrast enhancement, and decreased tumor size. The best response was stable disease (SD) by Response Evaluation Criteria in Solid Tumors (RECIST) in 70% of patients, with clinical benefit in 64%. Median progression-free survival (PFS) was 9 months and median overall survival (OS) was 35 months.[3,16]
However, TK inhibitors (TKIs) provide a benefit only for a limited period of time.[17] Also, only chordomas that overexpress PDGFRβ derive a benefit from imatinib therapy-and up to one-third of patients do not express PDGFRβ. Researchers thus face the challenge of finding new targeted therapies that might be used in PDGFRβ-negative chordomas and in patients who become resistant to imatinib treatment over time.[18-20] Sorafenib was tested in patients with metastatic or locally advanced chordoma not amenable to radiotherapy or curative-intent surgery. Two-thirds of the study population had been previously treated with systemic therapy (which included imatinib, everolimus, erlotinib, chemotherapy, and/or combinations of these treatments). PDGFRβ expression was not assessed. At 12 months, the PFS rate was 73%.[21] Sunitinib is another TKI, which has been tested in nine patients (with PDGFRβ status unknown); four patients achieved SD at 16 weeks.[22]
EGFR and HER2. The search for active therapies has focused mainly on the targeting of other TKs. About 70% of chordomas express nonmutated EGFR, a receptor TK that binds a number of ligands.[7] There are some case reports of treatment with EGFR inhibitors (erlotinib, cetuximab, and gefitinib) that demonstrated significant responses.[14,23-28] Additionally, lapatinib was tested in 18 patients with advanced chordoma (all with EGFR/HER2 activated), and SD by RECIST was seen in 83% of patients, with partial response (PR) in 33% by the Choi criteria.[29]
c-MET. This receptor TK is another potential target. The c-MET gene is located on the long arm of chromosome 7, and chordomas have been reported to express genetic abnormalities on this chromosome. Overexpression of c-MET and its ligand, hepatocyte growth factor (HGF), is related to chordomas’ aggressiveness.[12] However, clinical studies of c-MET inhibitors in chordoma are lacking.[14]
PTEN and mTOR.PTEN is a tumor suppressor gene that encodes proteins regulating cell growth processes; migration; apoptosis; and various signal transduction pathways, such as PI3K, that act as negative regulators. Downstream of PI3K is mTOR, a serine/threonine kinase that is involved in cell growth, tumorigenesis, cell invasion, and drug response. This pathway receives signals from different receptor TKs.[30] Negative expression of PTEN may result in increased mTOR activity, allowing cells to undergo unrestrained growth and tumor formation.
In sacral chordoma, patients negative for PTEN expression have a poorer prognosis than patients positive for PTEN expression.[30] The PI3K/Akt/mTOR pathway has been targeted mainly through the inhibition of mTOR, using rapamycin and its analogs. The addition of sirolimus (a rapamycin analog) in patients with chordoma who had developed resistance to imatinib (N = 9) demonstrated clinical benefit (complete response + PR + SD ≥ 6 months by RECIST = 89%). This report highlighted the possibility that the combination of imatinib and rapamycin analogs may be effective in imatinib-resistant chordomas.[31]
Other promising targets. Research has revealed other potential targets. The brachyury gene is one of these.[32] In vitro studies have silenced the brachyury gene in chordoma cell lines (JHC7, UCH-1), and this resulted in loss of the cells’ tumorigenic capabilities.[33] Recently, National Cancer Institute researchers presented their experience using a yeast-brachyury vaccine (GI-6301) in seven patients with advanced chordoma who were highly pretreated. They reported three patients with SD, one with a PR, and three with progressive disease, with minimal adverse events (mainly injection site reactions).[34]
Other targets under investigation-although so far not tested in clinical trials-include the insulin-like growth factor 1 receptor (IGF-1R), which is phosphorylated in up to 41% of chordoma tissue samples[35]; hedgehog embryonic proteins, which participate in axial development and are overexpressed in chordoma[36]; and sphingosine kinase 1 (SPHK1), a member of the conserved lipid enzymes family that plays a key role in cell invasion, migration, and angiogenesis, and which, when overexpressed, correlates with tumor recurrence and invasion into surrounding muscle.[37,38] The STAT3 expression level may serve as a prognostic factor. Chordoma cell lines exposed to SD-1029, a novel inhibitor of STAT3 activation, have shown reduced growth rates, and blockade of the STAT3 pathway represents a potential strategy for future treatment.[14] Finally, ezrin, which plays a role in cell structure (regulating the formation and stabilization of specialized plasma membrane domains), also interacts with CD44, which has led to the assumption that it is involved in the control of tumor growth and invasion. Ezrin expression in chordoma recurrences is close to 100%; thus, it may be a viable target.[39,40]
The clinical benefit of targeted therapies is limited; in addition, the toxicity of these treatments is considerable. Up to 70% of patients treated with TKIs may require one dose interruption because of toxicity, and 48% may need dose reduction. The chief toxicities are fatigue, diarrhea, hand-foot syndrome, mucositis, hypertension, abnormal liver function tests, rash, and hematologic laboratory abnormalities (thrombocytopenia, neutropenia, and chronic anemia). Instances of tumor liquefaction that resulted in spontaneous spillage of dense fluid containing overt tumor debris have been reported with imatinib treatment.[3,16,21,22,29] Thus, adverse effects need to be weighed against the limited benefit that TKIs provide.
When the patient presented a year after completion of adjuvant radiation therapy (following resection of the tumor on his left thigh), a CT scan documented pulmonary metastases (Figure 4A). Because imatinib is the targeted therapy that has shown the most promise to date in advanced chordoma-and because only tumors positive for PDGFRβ (Answer A) have demonstrated a response to this agent-immunohistochemistry for PDGFRβ was performed. Results of the immunohistochemistry investigation for PDGFRβ in tumor tissue were negative. Therefore, he unfortunately was not considered a candidate for imatinib therapy. He subsequently developed a scalp lesion (chordoma cutis; Figure 4B & 4C) and a mass in the antecubital region of his left arm. A low-back necrotic skin ulcer appeared that also was attributed to chordoma progression; his pulmonary metastases and vertebral lesions showed progression as well. The patient’s clinical course was further complicated by vertebral osteomyelitis. Finally, he developed central nervous system metastases (Figure 4D) and was referred to palliative care and end-of-life support.
Patients with metastatic chordoma are a cancer population with unmet needs. Despite more than a decade of research efforts and a better understanding of tumor biology and molecular marker expression in this neoplasm, therapeutic alternatives remain scarce, have high toxicity, and are not cost-effective. Researchers have identified several therapeutic targets; however, most of these have only preclinical evidence of utility, and only a minority have clinical evidence of benefit. Currently, the most important target for guiding systemic therapy selection in metastatic chordoma is PDGFRβ expression, and the most commonly prescribed therapies are TKIs. Nevertheless, this strategy yields responses of short duration, and resistance inevitably develops over time. Given that chordoma is a rare entity, it is difficult to recruit patients for clinical trials; whenever possible, clinicians should try to enroll patients in such trials in order to advance the treatment of this neoplasm.
Financial Disclosure: The authors have no significant financial interest in or other relationship with the manufacturer of any product or provider of any service mentioned in this article.
Acknowledgements:The authors would like to thank the Aramont Foundation and Canales de Ayuda A.C. for their support of research activities in Urologic Oncology at Instituto Nacional de Ciencias Médicas y Nutrición Salvador Zubirán.
E. David Crawford, MD, serves as Series Editor for Clinical Quandaries. Dr. Crawford is Professor of Surgery, Urology, and Radiation Oncology, and Head of the Section of Urologic Oncology at the University of Colorado School of Medicine; Chairman of the Prostate Conditions Education Council; and a member of ONCOLOGY's Editorial Board.
If you have a case that you feel has particular educational value, illustrating important points in diagnosis or treatment, you may send the concept to Dr. Crawford at david.crawford@ucdenver.edu for consideration for a future installment of Clinical Quandaries.
1. McMaster ML, Goldstein AM, Bromley CM, et al. Chordoma: incidence and survival patterns in the United States, 1973-1995. Cancer Causes Control. 2001;12:1-11.
2. Yakkioui Y, van Overbeeke JJ, Santegoeds R, et al. Chordoma: the entity. Biochim Biophys Acta. 2014;1846:655-69.
3. Casali PG, Messina A, Stacchiotti S, et al. Imatinib mesylate in chordoma. Cancer. 2004;101:2086-97.
4. Ferraresi V, Nuzzo C, Zoccali C, et al. Chordoma: clinical characteristics, management and prognosis of a case series of 25 patients. BMC Cancer. 2010;10:22.
5. Bjornsson J, Wold LE, Ebersold MJ, Laws ER. Chordoma of the mobile spine. A clinicopathologic analysis of 40 patients. Cancer. 1993;71:735-40.
6. Chambers PW, Schwinn CP. Chordoma. A clinicopathologic study of metastasis. Am J Clin Pathol. 1979;72:765-76.
7. Launay SG, Chetaille B, Medina F, et al. Efficacy of epidermal growth factor receptor targeting in advanced chordoma: case report and literature review. BMC Cancer. 2011;11:423.
8. Baratti D, Gronchi A, Pennacchioli E, et al. Chordoma: natural history and results in 28 patients treated at a single institution. Ann Surg Oncol. 2003;10:291-6.
9. Erkmen CP, Barth RJ Jr, Raman V. Case report: Successful treatment of recurrent chordoma and bilateral pulmonary metastases following an 11-year disease-free period. Int J Surg Case Rep. 2014;5:424-7.
10. McPherson CM, Suki D, McCutcheon IE, et al. Metastatic disease from spinal chordoma: a 10-year experience. J Neurosurg Spine. 2006;5:277-80.
11. York JE, Kaczaraj A, Abi-Said D, et al. Sacral chordoma: 40-year experience at a major cancer center. Neurosurgery. 1999;44:74-9; discussion 79-80.
12. Azzarelli A, Quagliuolo V, Cerasoli S, et al. Chordoma: natural history and treatment results in 33 cases. J Surg Oncol. 1988;37:185-91.
13. Dhawale AA, Gjolaj JP, Holmes L Jr, et al. Sacrectomy and adjuvant radiotherapy for the treatment of sacral chordomas: a single-center experience over 27 years. Spine. 2014;39:E353-E359.
14. Yamada Y, Gounder M, Laufer I. Multidisciplinary management of recurrent chordomas. Curr Treat Options Oncol. 2013;14:442-53.
15. Akhavan-Sigari R, Gaab MR, Rohde V, et al. Expression of PDGFR-alpha, EGFR and c-MET in spinal chordoma: a series of 52 patients. Anticancer Res. 2014;34:623-30.
16. Stacchiotti S, Longhi A, Ferraresi V, et al. Phase II study of imatinib in advanced chordoma. J Clin Oncol. 2012;30:914-20.
17. Di Maio S, Lip S, Al Zhrani GA, et al. Novel targeted therapies in chordoma: an update. Ther Clin Risk Manag. 2015;11:873-83.
18. Yang C, Schwab JH, Schoenfeld AJ, et al. A novel target for treatment of chordoma: signal transducers and activators of transcription 3. Mol Cancer Ther. 2009;8:2597-605.
19. Stacchiotti S, Casali PG. Systemic therapy options for unresectable and metastatic chordomas. Curr Oncol Rep. 2011;13:323-30.
20. Lebellec L, Aubert S, Zairi F, et al. Molecular targeted therapies in advanced or metastatic chordoma patients: facts and hypotheses. Crit Rev Oncol Hematol. 2015;95:125-31.
21. Bompas E, Le Cesne A, Tresch-Bruneel E, et al. Sorafenib in patients with locally advanced and metastatic chordomas: a phase II trial of the French Sarcoma Group (GSF/GETO). Ann Oncol. 2015;26:2168-73.
22. George S, Merriam P, Maki RG, et al. Multicenter phase II trial of sunitinib in the treatment of nongastrointestinal stromal tumor sarcomas. J Clin Oncol. 2009;27:3154-60.
23. Houessinon A, Boone M, Constans JM, et al. Sustained response of a clivus chordoma to erlotinib after imatinib failure. Case Rep Oncol. 2015;8:25-9.
24. Singhal N, Kotasek D, Parnis FX. Response to erlotinib in a patient with treatment refractory chordoma. Anticancer Drugs. 2009;20:953-5.
25. Asklund T, Sandstrom M, Shahidi S, et al. Durable stabilization of three chordoma cases by bevacizumab and erlotinib. Acta Oncol. 2014;53:980-4.
26. Asklund T, Danfors T, Henriksson R. PET response and tumor stabilization under erlotinib and bevacizumab treatment of an intracranial lesion non-invasively diagnosed as likely chordoma. Clin Neuropathol. 2011;30:242-6.
27. Hof H, Welzel T, Debus J. Effectiveness of cetuximab/gefitinib in the therapy of a sacral chordoma. Onkologie. 2006;29:572-4.
28. Linden O, Stenberg L, Kjellen E. Regression of cervical spinal cord compression in a patient with chordoma following treatment with cetuximab and gefitinib. Acta Oncol. 2009;48:158-9.
29. Stacchiotti S, Tamborini E, Lo Vullo S, et al. Phase II study on lapatinib in advanced EGFR-positive chordoma. Ann Oncol. 2013;24:1931-6.
30. Chen K, Mo J, Zhou M, et al. Expression of PTEN and mTOR in sacral chordoma and association with poor prognosis. Med Oncol. 2014;31:886.
31. Stacchiotti S, Marrari A, Tamborini E, et al. Response to imatinib plus sirolimus in advanced chordoma. Ann Oncol. 2009;20:1886-94.
32. Di Maio S, Kong E, Yip S, Rostomily R. Converging paths to progress for skull base chordoma: review of current therapy and future molecular targets. Surg Neurol Int. 2013;4:72.
33. Barresi V, Ieni A, Branca G, Tuccari G. Brachyury: a diagnostic marker for the differential diagnosis of chordoma and hemangioblastoma versus neoplastic histological mimickers. Dis Markers. 2014;2014:514753.
34. Heery CR, Singh BH, Rauckhorst M, et al. Phase I trial of a yeast-based therapeutic cancer vaccine (GI-6301) targeting the transcription factor brachyury. Cancer Immunol Res. 2015;3:1248-56.
35. Weroha SJ, Haluska P. IGF-1 receptor inhibitors in clinical trials-early lessons. J Mammary Gland Biol Neoplasia. 2008;13:471-83.
36. Stanton BZ, Peng LF, Maloof N, et al. A small molecule that binds Hedgehog and blocks its signaling in human cells. Nat Chem Biol. 2009;5:154-6.
37. Zhang K, Chen H, Wu G, et al. High expression of SPHK1 in sacral chordoma and association with patients’ poor prognosis. Med Oncol. 2014;31:247.
38. Shida D, Takabe K, Kapitonov D, et al. Targeting SphK1 as a new strategy against cancer. Curr Drug Targets. 2008;9:662-73.
39. Bulut G, Hong SH, Chen K, et al. Small molecule inhibitors of ezrin inhibit the invasive phenotype of osteosarcoma cells. Oncogene. 2012;31:269-81.
40. Froehlich EV, Scheipl S, Lazary A, et al. Expression of ezrin, MMP-9, and COX-2 in 50 chordoma specimens: a clinical and immunohistochemical analysis. Spine. 2012;37:E757-E767.
Late Hepatic Recurrence From Granulosa Cell Tumor: A Case Report
Granulosa cell tumors exhibit late recurrence and rare hepatic metastasis, emphasizing the need for lifelong surveillance in affected patients.