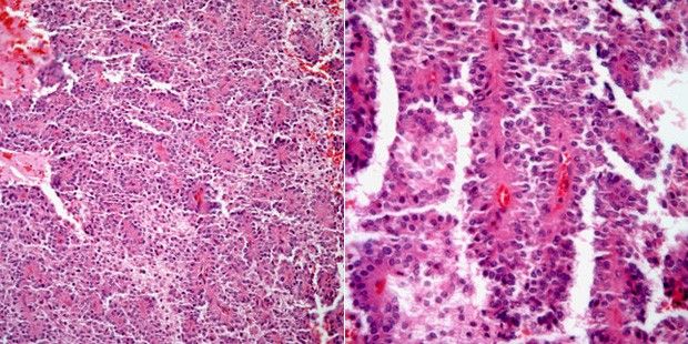
A 28-year-old woman presented with symptoms of abdominal pain, dyspepsia, and nausea. At physical examination, an abdominal mass was palpated. Radiological evaluation showed the presence of a mass in the pancreas. Resection of the mass was performed.

What is your diagnosis?