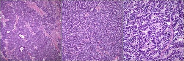
A 3-year-old child was brought to the physician's office after the mother felt a mass in the abdominal area. Imaging revealed the presence of a mass that appeared to be in the right kidney. Surgical resection of the tumor was performed.

What is your diagnosis?