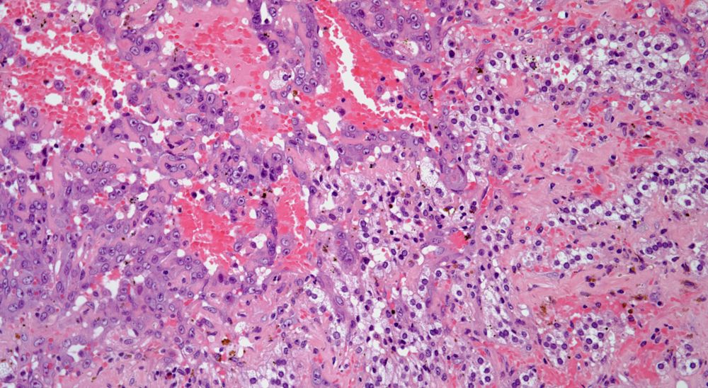
A 52-year-old man presents with a mass in his right adrenal gland, and a biopsy is performed. What is your diagnosis?
A 52-year-old man presents with a mass in his right adrenal gland, and a biopsy is performed.

Based on the image shown, what is your diagnosis?