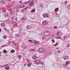
A 15-year-old male, who carries the diagnosis of von Hipple-Lindau syndrome, has been followed routinely with CT scans. A mass was subsequently found in the left kidney and the following image was viewed. (Click here to see the whole slide image.)

You would predict this mass to show which genetic abnormality: