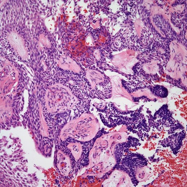
A 48-year-old man presents with pain in his right maxilla, and imaging demonstrates a mass. What is your diagnosis?
A 48-year-old man presents with pain in his right maxilla, and imaging demonstrates a mass.

Based on the image shown, what is your diagnosis?