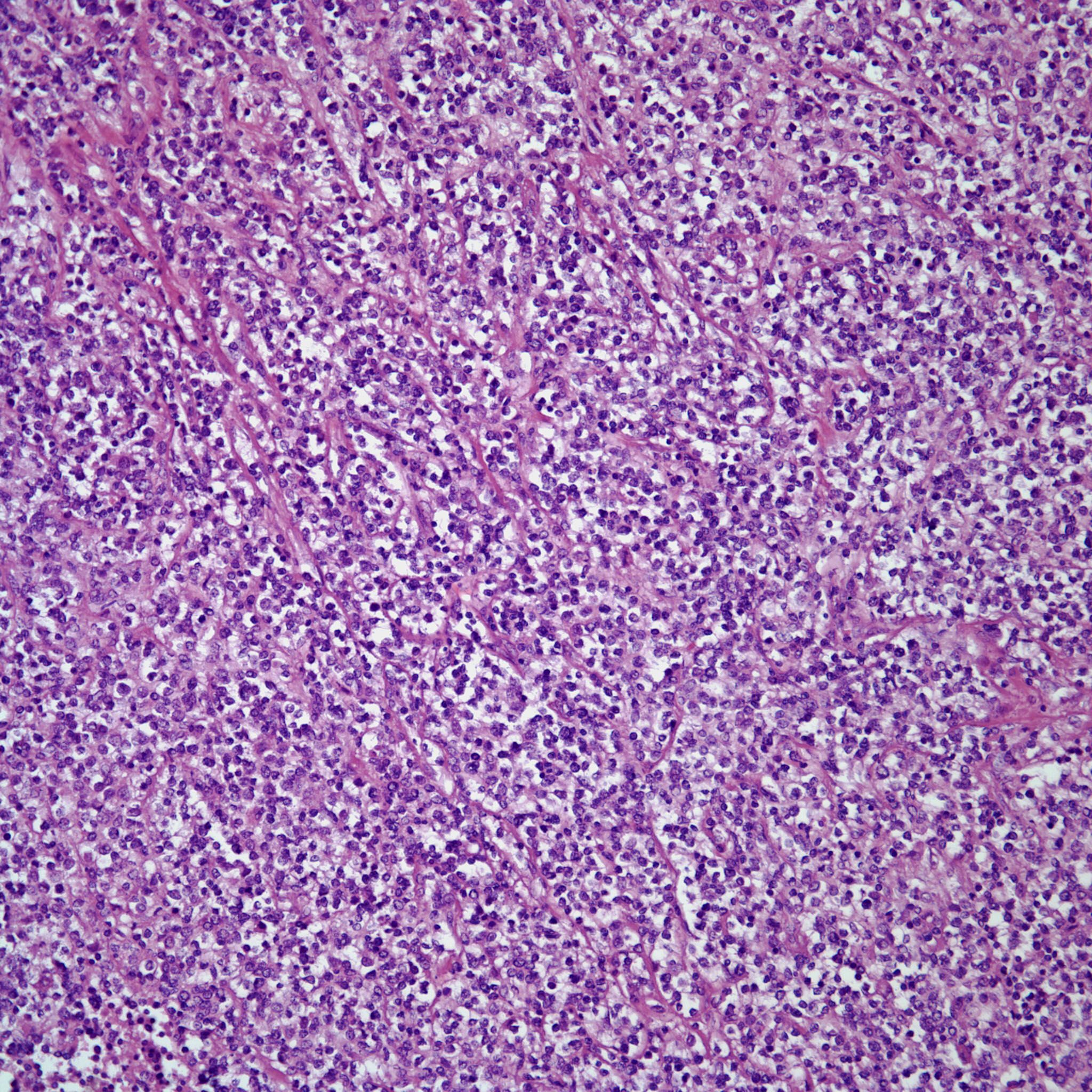
A 27-year-old woman presents with chest pain, cough, and general malaise. Imaging reveals an anterior mediastinal mass. What is your diagnosis?
A 27-year-old woman presents with symptoms of chest pain, cough, and general malaise. The patient does not have any other pertinent medical history. Diagnostic imaging reveals an anterior mediastinal mass. Surgical biopsy is performed.

Based on the image shown, what is your diagnosis?